Mouse NSE Monoclonal Antibody | anti-NSE antibody
NSE Monoclonal Antibody (13E2)
Gene Names
ENO2; NSE
Reactivity
Human, Mouse, Rat
Applications
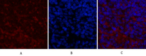
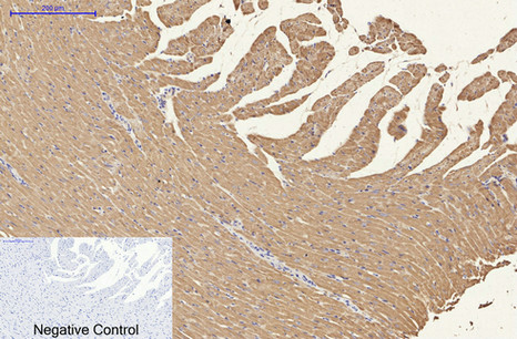
Western Blot, Immunohistochemistry, Immunofluorescence
Synonyms
NSE, Antibody; NSE Monoclonal Antibody (13E2); ENO2; Gamma-enolase; 2-phospho-D-glycerate hydro-lyase; Enolase 2; Neural enolase; Neuron-specific enolase; NSE; anti-NSE antibody
Host
Mouse
Reactivity
Human, Mouse, Rat
Clonality
Monoclonal
Clone Number
13E2
Applicable Applications for anti-NSE antibody
Western Blot (WB), Immunohistochemistry-Paraffin (IHC-P), Immunofluorescence (IF)
Preparation and Storage
Maintain refrigerated at 2-8 degree C for up to 2 weeks. For long term storage store at -20 degree C in small aliquots to prevent freeze-thaw cycles.
Related Product Information for anti-NSE antibody
Has neurotrophic and neuroprotective properties on a broad spectrum of central nervous system (CNS) neurons. Binds, in a calcium-dependent manner, to cultured neocortical neurons and promotes cell survival (By similarity).
NCBI and Uniprot Product Information
NCBI GI #
NCBI GeneID
NCBI Accession #
NCBI GenBank Nucleotide #
Molecular Weight
47,269 Da
NCBI Official Full Name
gamma-enolase
NCBI Official Synonym Full Names
enolase 2 (gamma, neuronal)
NCBI Official Symbol
ENO2
NCBI Official Synonym Symbols
NSE
NCBI Protein Information
gamma-enolase; neural enolase; neuron-specific enolase; neurone-specific enolase; neuron specific gamma enolase; 2-phospho-D-glycerate hydrolyase; 2-phospho-D-glycerate hydro-lyase
UniProt Protein Name
Gamma-enolase
UniProt Gene Name
ENO2
UniProt Synonym Gene Names
NSE
UniProt Entry Name
ENOG_HUMAN
Similar Products
Product Notes
The NSE eno2 (Catalog #AAA28868) is an Antibody produced from Mouse and is intended for research purposes only. The product is available for immediate purchase. The NSE Monoclonal Antibody (13E2) reacts with Human, Mouse, Rat and may cross-react with other species as described in the data sheet. AAA Biotech's NSE can be used in a range of immunoassay formats including, but not limited to, Western Blot (WB), Immunohistochemistry-Paraffin (IHC-P), Immunofluorescence (IF). Researchers should empirically determine the suitability of the NSE eno2 for an application not listed in the data sheet. Researchers commonly develop new applications and it is an integral, important part of the investigative research process. It is sometimes possible for the material contained within the vial of "NSE, Monoclonal Antibody" to become dispersed throughout the inside of the vial, particularly around the seal of said vial, during shipment and storage. We always suggest centrifuging these vials to consolidate all of the liquid away from the lid and to the bottom of the vial prior to opening. Please be advised that certain products may require dry ice for shipping and that, if this is the case, an additional dry ice fee may also be required.Precautions
All products in the AAA Biotech catalog are strictly for research-use only, and are absolutely not suitable for use in any sort of medical, therapeutic, prophylactic, in-vivo, or diagnostic capacity. By purchasing a product from AAA Biotech, you are explicitly certifying that said products will be properly tested and used in line with industry standard. AAA Biotech and its authorized distribution partners reserve the right to refuse to fulfill any order if we have any indication that a purchaser may be intending to use a product outside of our accepted criteria.Disclaimer
Though we do strive to guarantee the information represented in this datasheet, AAA Biotech cannot be held responsible for any oversights or imprecisions. AAA Biotech reserves the right to adjust any aspect of this datasheet at any time and without notice. It is the responsibility of the customer to inform AAA Biotech of any product performance issues observed or experienced within 30 days of receipt of said product. To see additional details on this or any of our other policies, please see our Terms & Conditions page.Item has been added to Shopping Cart
If you are ready to order, navigate to Shopping Cart and get ready to checkout.
