Loading...

Skip to main content
Call us at +1-800-604-9114 for more information about our products or contact us online Need help? +1-800-604-9114 or contact us

Filters


Clonality

Type

Reactivity

Gene Name

Isotype

Host

Application

Clone

Viewing 1500-1550 of 265194 product results


product-image-AAA31281_IHC19.jpg IHC (Immunohistochemistry) (At 1/100 staining Human prostate cancer and adjacent normal tissues by IHC-P. The sample was formaldehyde fixed and a heat mediated antigen retrieval step in citrate buffer was performed. The sample was then blocked and incubated with the primary antibody at 4 degree C overnight. An HRP conjugated anti-Rabbit antibody was used as the secondary antibody.)

PAK5/6, Polyclonal Antibody (Cat# AAA31281)

No reviews yet
Full Name
Phospho-PAK5/6 (Ser602/Ser560) Antibody
Gene Names
PAK7; PAK5
Reactivity
Human, Mouse, Rat
Applications
Immunohistochemistry, Peptide ELISA
Purity
The antibody is from purified rabbit serum by affinity purification via sequential chromatography on phospho-peptide and non-phospho-peptide affinity columns.
Pricing
product-image-AAA31317_APP10.jpg Application Data (At 25 degree C. Samples were then incubated with primary Ab(At 37 degree C. An AlexaFluor594 conjugated goat anti-rabbit IgG(H+L) Ab(Red) and an AlexaFluor488 conjugated goat anti-mouse IgG(H+L) Ab(Green) were used as the secondary antibody.The nuclear counter stain is DAPI (blue).)

JIP1, Polyclonal Antibody (Cat# AAA31317)

No reviews yet
Full Name
Phospho-JIP1 (Thr205) Antibody
Gene Names
MAPK8IP1; IB1; JIP1; JIP-1; PRKM8IP
Reactivity
Human, Mouse, Rat
Applications
Western Blot, Immunohistochemistry, Immunofluorescence, Immunocytochemistry, Peptide ELISA
Purity
The antibody is from purified rabbit serum by affinity purification via sequential chromatography on phospho-peptide and non-phospho-peptide affinity columns.
Pricing
product-image-AAA31337_APP8.jpg Application Data (At 37 degree C. The primary antibody was diluted 1/200 and incubated with the sample for 1 hour at 37 degree C. A Alexa Fluor 594 conjugated goat polyclonal to rabbit IgG (H+L), diluted 1/600 was used as secondary antibody.)

N Cadherin, Polyclonal Antibody (Cat# AAA31337)

No reviews yet
Full Name
N Cadherin Antibody
Gene Names
CDH2; CDHN; NCAD; CD325; CDw325
Reactivity
Human, Mouse, Rat
Predicted Reactivity: Pig (100%), Zebrafish (100%), Bovine (100%), Horse (100%), Sheep (100%), Rabbit (100%), Dog (100%), Chicken (100%), Xenopus (100%)
Applications
Western Blot, Immunohistochemistry, Immunofluorescence, Immunocytochemistry, Peptide ELISA, Immunohistochemistry, Immunohistochemistry
Purity
The antiserum was purified by peptide affinity chromatography using SulfoLink Coupling Resin
Pricing
product-image-AAA11826_SDS_PAGE.jpg SDS-PAGE

AIFM1, Recombinant Protein (Cat# AAA11826)

No reviews yet
Full Name
AIFM1, 98-609aa, Human, His tag, E Coli
Gene Names
AIFM1; AIF; CMT2D; CMTX4; COWCK; DFNX5; NADMR; NAMSD; PDCD8; COXPD6
Applications
SDS-PAGE
Purity
> 95% by SDS-PAGE
Pricing
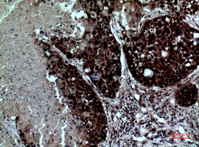
product-image-AAA14129_IHC6.jpg IHC (Immunohistchemistry) (Immunohistochemical analysis of paraffin-embedded esophageal cancer tissues using MEF2C mouse mAb with DAB staining.)

MEF2C, Monoclonal Antibody (Cat# AAA14129)

No reviews yet
Full Name
Anti-MEF2C Mouse mAb
Gene Names
MEF2C; DEL5q14.3; C5DELq14.3
Reactivity
Human, Mouse
Applications
Western Blot, Immunohistochemistry, Flow Cytometry
Pricing
product-image-AAA10749_IHC9.jpg IHC (Immunohistchemistry) (Immunohistochemistry of paraffin-embedded human kidney cancer using NFKB2 Antibody at dilution of 1:100 (40x lens).)

NFKB2, Polyclonal Antibody (Cat# AAA10749)

No reviews yet
Full Name
NFKB2 Polyclonal Antibody
Gene Names
NFKB2; p52; p100; H2TF1; LYT10; CVID10; LYT-10; NF-kB2
Reactivity
Human, Mouse
Applications
Western Blot
Purity
Affinity Purification
Pricing
product-image-AAA23832_WB6.jpg WB (Western Blot) (Detection of human STAT3 by western blot. Samples: Whole cell lysate (50 ug) from RKO, NCI-H226, HEK293T, GaMG, LNCaP, HeLa, Ramos, MOLT-4, and Jurkat cells prepared using NETN lysis buffer. Antibody: Rabbit anti-STAT3 recombinant monoclonal antibody (AAA23832 lot 1) used at 1:1000. Secondary: HRP-conjugated goat anti-rabbit IgG . Detection: Chemiluminescence with an exposure time of 10 seconds. Lower Panel: Rabbit anti-Actin recombinant monoclonal antibody .)

STAT3, Monoclonal Recombinant Antibody (Cat# AAA23832)

No reviews yet
Full Name
Rabbit anti-STAT3 Recombinant Monoclonal Antibody [BLR098G]
Gene Names
STAT3; APRF; HIES
Reactivity
Human, Mouse
Applications
Western Blot, Immunoprecipitation, Immunohistochemistry, Immunocytochemistry, Flow Cytometry
Purity
Purified
Pricing
product-image-AAA22337_IHC8.jpg IHC (Immunohistochemistry) (Immunohistochemistry of paraffin-embedded mouse ovary using Recombinant beta actin Monoclonal Antibody at dilution of 1:1000.)

beta actin, Monoclonal Recombinant Antibody (Cat# AAA22337)

No reviews yet
Full Name
Recombinant beta actin Monoclonal Antibody
Gene Names
ACTB; BRWS1; PS1TP5BP1
Reactivity
Human, Mouse, Rat
Applications
Western Blot, Immunohistochemistry, Immunofluorescence
Purity
Protein A/G Purification
Pricing
product-image-AAA24147_WB7.jpg WB (Western Blot) (BATF monoclonal antibody Western Blot analysis of BATF expression in Hela NE.)

BATF, Monoclonal Antibody (Cat# AAA24147)

No reviews yet
Full Name
BATF (Basic Leucine Zipper Transcriptional Factor ATF-like, B Cell-activating Transcription Factor, SF-HT-activated Gene 2 Protein) (AP)
Gene Names
BATF; SFA2; B-ATF; BATF1; SFA-2
Reactivity
Human, Mouse, Rat
Applications
Immunoprecipitation, Western Blot
Purity
Purified by Protein A Affinity Chromatography.
Pricing
product-image-AAA25396_WB7.jpg WB (Western Blot) (FLJ23356 monoclonal antibody. Western Blot analysis of FLJ23356 expression in HeLa.)

FLJ23356, Monoclonal Antibody (Cat# AAA25396)

No reviews yet
Full Name
FLJ23356 (SGK196, Probable Inactive Protein Kinase-like Protein SgK196, Sugen Kinase 196, MGC126597) (HRP)
Gene Names
POMK; SGK196; MDDGA12; MDDGC12
Reactivity
Human
Applications
Western Blot
Purity
Purified by Protein A Affinity Chromatography.
Pricing
product-image-AAA25176_WB7.jpg WB (Western Blot) (NEK11 monoclonal antibody. Western Blot analysis of NEK11 expression in A-431.)

NEK11, Monoclonal Antibody (Cat# AAA25176)

No reviews yet
Full Name
NEK11 (Serine/Threonine-protein Kinase Nek11, Never in Mitosis A-related Kinase 11, NimA-related Protein Kinase 11, FLJ23495) (FITC)
Reactivity
Human
Applications
Immunofluorescence, Immunohistochemistry, Western Blot
Purity
Purified by Protein A Affinity Chromatography.
Pricing
product-image-AAA25914_WB6.jpg WB (Western Blot) (Western Blot analysis of TRIM28 expression in transfected 293T cell line by TRIM28 monoclonal antibody (M02), clone 1D11.Lane 1: TRIM28 transfected lysate (Predicted MW: 88.5 KDa).Lane 2: Non-transfected lysate.)

TRIM28, Monoclonal Antibody (Cat# AAA25914)

No reviews yet
Full Name
TRIM28 (Tripartite Motif-Containing 28, FLJ29029, KAP1, RNF96, TF1B, TIF1B) (AP)
Gene Names
TRIM28; KAP1; TF1B; RNF96; TIF1B; PPP1R157
Applications
Immunohistochemistry, Western Blot
Purity
Purified
Pricing
product-image-AAA27022_WB.jpg WB (Western Blot) (Western BlotPositive WB detected in Recombinant proteinAll lanes: vpx at 2.6ug/mlSecondaryGoat polyclonal to rabbit IgG at 1/50000 dilutionPredicted band size: 32 kDaObserved band size: 32 kDa)

VPX, Polyclonal Antibody (Cat# AAA27022)

No reviews yet
Full Name
VPX Antibody
Reactivity
Human immunodeficiency virus type 2 subtype A
Applications
Western Blot
Purity
>95%, Protein G purified
Pricing
product-image-AAA26451_APP6.jpg Application Data (Detection limit for recombinant GST tagged BMP7 is 10 ng/ml as a capture antibody.)

BMP7, Monoclonal Antibody (Cat# AAA26451)

No reviews yet
Full Name
BMP7 (Bone Morphogenetic Protein 7, OP-1) (HRP)
Gene Names
BMP7; OP-1
Applications
Western Blot
Purity
Purified
Pricing
product-image-AAA26718_APP7.jpg Application Data (Staining of human peripheral blood lymphocytes with MOUSE ANTI HUMAN CD3:ALEXA 647)

CD3, Monoclonal Antibody (Cat# AAA26718)

No reviews yet
Full Name
CD3 (AP)
Reactivity
Human
Applications
Immunohistochemistry
Purity
Purified by Protein G Affinity Chromatography
Pricing
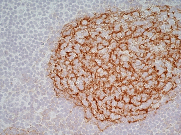
product-image-AAA29378_IHC6.jpg IHC (Immunohistchemistry) (Dilution: IHC-p 1:50-200, ELISA 1:10000-20000)

Integrin alphaE, Polyclonal Antibody (Cat# AAA29378)

No reviews yet
Full Name
Integrin alphaE Polyclonal Antibody
Gene Names
ITGAE; CD103; HUMINAE
Reactivity
Human
Applications
Immunohistochemistry
Pricing
product-image-AAA31287_APP6.jpg Application Data (At 25 degree C. Samples were then incubated with primary Ab(At 37 degree C. An AlexaFluor594 conjugated goat anti-rabbit IgG(H+L) Ab(Red) and an AlexaFluor488 conjugated goat anti-mouse IgG(H+L) Ab(Green) were used as the secondary antibody.The nuclear counter stain is DAPI (blue).)

LRRK2, Polyclonal Antibody (Cat# AAA31287)

No reviews yet
Full Name
Phospho-LRRK2 (Ser935) Antibody
Gene Names
LRRK2; PARK8; RIPK7; ROCO2; AURA17; DARDARIN
Reactivity
Human, Mouse, Rat
Applications
Western Blot, Immunohistochemistry, Immunofluorescence, Immunocytochemistry, Peptide ELISA
Purity
The antibody is from purified rabbit serum by affinity purification via sequential chromatography on phospho-peptide and non-phospho-peptide affinity columns.
Pricing
product-image-AAA31460_IHC17.jpg IHC (Immunohistochemistry) (At 1/100 staining Human mammary cancer and adjacent normal tissues by IHC-P. The sample was formaldehyde fixed and a heat mediated antigen retrieval step in citrate buffer was performed. The sample was then blocked and incubated with the primary antibody at 4 degree C overnight. An HRP conjugated anti-Rabbit antibody was used as the secondary antibody.)

MCM2, Polyclonal Antibody (Cat# AAA31460)

No reviews yet
Full Name
Phospho-MCM2 (Ser27) Antibody
Gene Names
MCM2; BM28; CCNL1; CDCL1; cdc19; D3S3194; MITOTIN
Reactivity
Human, Mouse, Rat
Predicted Reactivity: Pig (100%), Zebrafish (100%), Bovine (100%), Horse (100%), Rabbit (100%), Dog (100%), Xenopus (100%)
Applications
Western Blot, Immunohistochemistry, Peptide ELISA
Purity
The antibody is from purified rabbit serum by affinity purification via sequential chromatography on phospho-peptide and non-phospho-peptide affinity columns.
Pricing
product-image-AAA30406_FCM8.jpg FCM (Flow Cytometry) (Flow cytometric analysis of Jurkat cells with Drosha antibody at 1/100 dilution (red) compared with an unlabelled control (cells without incubation with primary antibody; black).)

DROSHA, Monoclonal Antibody (Cat# AAA30406)

No reviews yet
Full Name
DROSHA Antibody
Gene Names
DROSHA; RN3; ETOHI2; RNASEN; RANSE3L; RNASE3L; HSA242976
Reactivity
Human
Applications
Western Blot, Immunocytochemistry, Immunofluorescence, Immunohistochemistry, Flow Cytometry
Purity
ProA affinity purified
Pricing
product-image-AAA30449_FCM9.jpg FCM (Flow Cytometry) (Flow cytometric analysis of HepG2 cells with Cytochrome P450 Reductase antibody at 1/100 dilution (red) compared with an unlabelled control (cells without incubation with primary antibody; black). Alexa Fluor 488-conjugated goat anti-rabbit IgG was used as the secondary antibody.)

Cytochrome P450, Monoclonal Antibody (Cat# AAA30449)

No reviews yet
Full Name
Cytochrome P450 Reductase Antibody
Gene Names
POR; CPR; CYPOR; P450R
Reactivity
Human, Mouse, Rat
Applications
Western Blot, Immunocytochemistry, Immunofluorescence, Immunohistochemistry, Flow Cytometry
Purity
ProA affinity purified
Pricing
product-image-AAA30863_APP11.png Application Data

Iba 1, Monoclonal Antibody (Cat# AAA30863)

No reviews yet
Full Name
Iba 1 (PTR1347) Antibody
Gene Names
AIF1; IBA1; IRT1; AIF-1; IRT-1
Reactivity
Human, Mouse, Rat
Applications
Immunohistochemistry, Western Blot, Immunofluorescence
Purity
Protein G
Pricing
product-image-AAA10929_IHC6.gif IHC (Immunohistchemistry) (Immunohistochemistry of OCLN in mouse brain tissue with OCLN Antibody at 5 μg/mL.)

OCLN, Polyclonal Antibody (Cat# AAA10929)

No reviews yet
Full Name
OCLN Antibody
Reactivity
Human, Mouse, Rat
Applications
Western Blot, Immunohistochemistry, Immunofluorescence
Purity
OCLN Antibody is affinity chromatography purified via peptide column.
Pricing
product-image-AAA10610_ICC6.gif ICC (Immunocytochemistry) (Immunostaining analysis in HeLa cells. HeLa cells were fixed with 4% paraformaldehyde and permeabilized with 0.1% Triton X-100 in PBS. The cells were immunostained with anti-TPX2 mAb. Nuclear was stained with Hoechst (blue fluorescence). [Lot No. 3164C6a-1])

TPX2, Monoclonal Antibody (Cat# AAA10610)

No reviews yet
Full Name
Mouse monoclonal antibody Anti-Human TPX2
Gene Names
TPX2; DIL2; p100; DIL-2; HCTP4; FLS353; HCA519; REPP86; C20orf1; C20orf2; GD:C20orf1
Reactivity
Human
Applications
Dot Blot, Immunocytochemistry, Immunoprecipitation, Western Blot, Flow Cytometry
Pricing
product-image-AAA13669_WB.jpg WB (Western Blot) ((0.1ug/ml) staining of Human Brain lysate (35ug protein in RIPA buffer). Primary incubation was 1 hour. Detected by chemiluminescence.)

Orexin receptor 1, Polyclonal Antibody (Cat# AAA13669)

No reviews yet
Full Name
Goat anti-Orexin receptor 1 Antibody
Gene Names
HCRTR1; OX1R
Reactivity
Tested: Human; Expected from sequence similarity: Human, Mouse, Rat, Dog, Sheep
Applications
Peptide ELISA, Western Blot
Purity
Purified from goat serum by ammonium sulphate precipitation followed by antigen affinity chromatography using the immunizing peptide.
Pricing
product-image-AAA17960_WB2.jpg WB (Western Blot) (Western blot analysis of extracts from NIH/3T3 cells, treated with Etoposide (25uM, 60mins), using Caspase 9 (cleaved-Asp353) antibody.)

Caspase 9, Antibody (Cat# AAA17960)

No reviews yet
Full Name
Caspase 9 (Cleaved-Asp353) Antibody
Gene Names
CASP9; MCH6; APAF3; APAF-3; PPP1R56; ICE-LAP6
Reactivity
Mouse, Rat
Applications
Western Blot, Immunohistochemistry
Purity
Affinity-purified from rabbit antiserum by affinity-chromatography using epitope-specific immunogen.
Pricing
product-image-AAA23560_WB7.jpg WB (Western Blot) (WB Suggested Anti-LYN Antibody Titration: 0.2-1 ug/mlELISA Titer: 1:312500Positive Control: Hela cell lysateLYN is strongly supported by BioGPS gene expression data to be expressed in Human HeLa cells)

LYN, Polyclonal Antibody (Cat# AAA23560)

No reviews yet
Full Name
LYN antibody - N-terminal region
Gene Names
LYN; JTK8; p53Lyn; p56Lyn
Reactivity
Cow, Dog, Guinea Pig, Horse, Human, Mouse, Pig, Rabbit, Rat, Sheep
Applications
Western Blot
Purity
Affinity Purified
Pricing
product-image-AAA24427_WB2.jpg WB (Western Blot) (Western Blot analysis of AKR1B10 expression in transfected 293T cell line by AKR1B10 monoclonal antibody. Lane 1: AKR1B10 transfected lysate (36kD). Lane 2: Non-transfected lysate.)

AKR1B10, Monoclonal Antibody (Cat# AAA24427)

No reviews yet
Full Name
AKR1B10 (Aldo-keto Reductase Family 1 Member B10, ARL-1, Aldose Reductase-like, Aldose Reductase-related Protein, ARP, hARP, Small Intestine Reductase, SI Reductase, AKR1B11) APC
Gene Names
AKR1B10; HIS; HSI; ARL1; ARL-1; ALDRLn; AKR1B11; AKR1B12
Reactivity
Human
Applications
Immunofluorescence, Immunohistochemistry, Western Blot
Purity
Purified by Protein A Affinity Chromatography.
Pricing
product-image-AAA24916_WB6.jpg WB (Western Blot) (Western blot analysis of POU4F3 over-expressed 293 cell line, cotransfected with POU4F3 Validated Chimera RNAi (Lane 2) or non-transfected control (Lane 1). Blot probed with POU4F3 monoclonal antibody. GAPDH (36.1kD) used as specificity and loading control.)

POU4F3, Monoclonal Antibody (Cat# AAA24916)

No reviews yet
Full Name
POU4F3 (POU Domain, Class 4, Transcription Factor 3, Brain-specific Homeobox/POU Domain Protein 3C, Brain-3C, Brn-3C, BRN3C, MGC138412) (Biotin)
Gene Names
POU4F3; BRN3C; DFNA15; DFNA42; DFNA52
Reactivity
Human
Applications
Immunofluorescence, Western Blot
Purity
Purified by Protein A Affinity Chromatography.
Pricing
product-image-AAA25449_WB6.jpg WB (Western Blot) (Western Blot detection against Immunogen (36.63kD).)

MCM2, Monoclonal Antibody (Cat# AAA25449)

No reviews yet
Full Name
MCM2 (DNA Replication Licensing Factor MCM2, Minichromosome Maintenance Protein 2 Homolog, Nuclear Protein BM28, BM28, CCNL1, CDCL1, KIAA0030, MGC10606) (HRP)
Gene Names
MCM2; BM28; CCNL1; CDCL1; cdc19; DFNA70; D3S3194; MITOTIN
Reactivity
Human
Applications
Immunoprecipitation, Western Blot
Purity
Purified by Protein A Affinity Chromatography.
Pricing
product-image-AAA26722_APP6.jpg Application Data (Staining of CD209 transfected K562 cells with MOUSE ANTI HUMAN CD209: FITC)

DC-SIGN, Monoclonal Antibody (Cat# AAA26722)

No reviews yet
Full Name
DC-SIGN (Dendritic Cell-specific ICAM3 grabbing Non-integrin, C Type Lectin Domain Family 4 Member L, CLEC4L, CD209, CD209 Antigen, CDSIGN, Dendritic Cell-specific ICAM-3-grabbing Non-integrin 1, DC SIGN1, DC-SIGN1, HIV GP120 Binding Protein, MGC129965) (
Reactivity
Human
Applications
Immunofluorescence
Purity
Purified by protein G affinity chromatography from tissue culture supernatant.
Pricing
product-image-AAA29040_IHC7.jpg IHC (Immunohistochemistry) (Dilution: Western Blot: 1/500 - 1/2000. Immunohistochemistry: 1/100 - 1/300. Immunofluorescence: 1/200 - 1/1000. ELISA: 1/20000. Not yet tested in other applications.)

hnRNP A2/B1, Polyclonal Antibody (Cat# AAA29040)

No reviews yet
Full Name
hnRNP A2/B1 Polyclonal Antibody
Gene Names
HNRNPA2B1; RNPA2; HNRPA2; HNRPB1; SNRPB1; HNRNPA2; HNRNPB1; HNRPA2B1
Reactivity
Human, Mouse
Applications
Western Blot, Immunohistochemistry, Immunofluorescence
Pricing
product-image-AAA30567_WB10.jpg WB (Western Blot) (Western blot analysis of extracts of various cell lines, using ESRRA antibody at 1:1000 dilution.)

ESRRA, Polyclonal Antibody (Cat# AAA30567)

No reviews yet
Full Name
ESRRA Polyclonal Antibody
Gene Names
ESRRA; ERR1; ERRa; ESRL1; NR3B1; ERRalpha
Reactivity
Human, Mouse, Rat
Applications
Western Blot, Immunohistochemistry, Immunofluorescence
Purity
Affinity purification
Pricing
product-image-AAA26399_IF6.jpg IF (Immunofluorescence) (Immunofluorescence of monoclonal antibody to MAPK3 on HeLa cell. [antibody concentration 10 ug/ml])

MAPK3, Monoclonal Antibody (Cat# AAA26399)

No reviews yet
Full Name
MAPK3 (Mitogen-Activated Protein Kinase 3, ERK1, HS44KDAP, HUMKER1A, MGC20180, P44ERK1, P44MAPK, PRKM3) (FITC)
Gene Names
MAPK3; ERK1; ERT2; ERK-1; PRKM3; P44ERK1; P44MAPK; HS44KDAP; HUMKER1A; p44-ERK1; p44-MAPK
Applications
Immunofluorescence, Western Blot
Purity
Purified
Pricing
product-image-AAA30093_FCM6.jpg FCM (Flow Cytometry) (Flow cytometric analysis of SH-SY-5Y cells with GRM5 antibody at 1/50 dilution (blue) compared with an unlabelled control (cells without incubation with primary antibody; red). Alexa Fluor 488-conjugated goat anti rabbit IgG was used as the secondary antibody.)

Metabotropic Glutamate 5, Monoclonal Antibody (Cat# AAA30093)

No reviews yet
Full Name
Metabotropic Glutamate Receptor 5 Antibody
Gene Names
GRM5; mGlu5; GPRC1E; MGLUR5; PPP1R86
Reactivity
Human, Mouse, Rat
Applications
Western Blot, Immunocytochemistry, Immunofluorescence, Immunohistochemistry, Immunoprecipitation, Flow Cytometry
Purity
ProA affinity purified
Pricing
product-image-AAA29278_IHC7.jpg IHC (Immunohistochemistry) (Dilution: Western Blot: 1/500 - 1/2000. IHC-p: 1/100-1/300. ELISA: 1/20000. Not yet tested in other applications.)

p53, Polyclonal Antibody (Cat# AAA29278)

No reviews yet
Full Name
p53 Polyclonal Antibody
Gene Names
TP53; P53; BCC7; LFS1; TRP53
Reactivity
Human
Applications
Western Blot, Immunohistochemistry
Pricing
product-image-AAA29859_ICC10.jpg ICC (Immunocytochemistry) (ICC staining SCAI in PC-12 cells (green). The nuclear counter stain is DAPI (blue). Cells were fixed in paraformaldehyde, permeabilised with 0.25% Triton X100/PBS.)

SCAI, Monoclonal Antibody (Cat# AAA29859)

No reviews yet
Full Name
SCAI Antibody
Gene Names
SCAI; NET40; C9orf126
Reactivity
Human
Applications
Western Blot, Immunocytochemistry, Immunohistochemistry
Pricing
product-image-AAA31355_IHC12.jpg IHC (Immunohistochemistry) (At 1/100 staining Human pancreatic cancer by IHC-P. The sample was formaldehyde fixed and a heat mediated antigen retrieval step in citrate buffer was performed. The sample was then blocked and incubated with the primary antibody at 4 degree C overnight. An HRP conjugated anti-Rabbit antibody was used as the secondary antibody.)

p53, Polyclonal Antibody (Cat# AAA31355)

No reviews yet
Full Name
Acetyl-p53 (Lys381) Antibody
Gene Names
TP53; P53; BCC7; LFS1; TRP53
Reactivity
Human, Mouse, Rat
Predicted Reactivity: Rabbit (90%), Dog (100%)
Applications
Western Blot, Immunohistochemistry, Peptide ELISA
Purity
The antiserum was purified by peptide affinity chromatography using SulfoLink Coupling Resin
Pricing
product-image-AAA18135_SC.png Standard Curve (Sample)

activity-regulated cytoskeleton-associated protein, ELISA Kit (Cat# AAA18135)

No reviews yet
Full Name
Human Activity-regulated cytoskeleton-associated protein, ARC ELISA Kit
Gene Names
ARC; Arg3.1
Reactivity
Human
Pricing
product-image-AAA26281_APP6.jpg Application Data (Detection limit for recombinant GST tagged STIP1 is 0.03 ng/ml as a capture antibody.)

STIP1, Monoclonal Antibody (Cat# AAA26281)

No reviews yet
Full Name
STIP1 (Stress-Induced-Phosphoprotein 1, HOP, IEF-SSP-3521, P60, STI1, STI1L) (Biotin)
Gene Names
STIP1; HOP; P60; STI1; STI1L; HEL-S-94n; IEF-SSP-3521
Applications
Immunofluorescence, Western Blot
Purity
Purified
Pricing
product-image-AAA26211_IF6.jpg IF (Immunofluorescence) (Immunofluorescence of monoclonal antibody to ATOX1 on HeLa cell. [antibody concentration 10 ug/ml])

ATOX1, Monoclonal Antibody (Cat# AAA26211)

No reviews yet
Full Name
ATOX1 (ATX1 Antioxidant Protein 1 Homolog (yeast), ATX1, HAH1, MGC138453, MGC138455) (Biotin)
Gene Names
ATOX1; ATX1; HAH1
Applications
Immunofluorescence, Western Blot
Purity
Purified
Pricing
product-image-AAA28287_IF10.jpg IF (Immunofluorescence) (Immunofluorescence-Akt2 Polyclonal Antibody)

Akt2, Polyclonal Antibody (Cat# AAA28287)

No reviews yet
Full Name
Akt2 Polyclonal Antibody
Gene Names
AKT2; PKBB; PRKBB; HIHGHH; PKBBETA; RAC-BETA
Reactivity
Human, Mouse, Rat
Applications
Western Blot, Immunohistochemistry, Immunofluorescence
Purity
Affinity Purification
Pricing
product-image-AAA28830_IHC7.jpg IHC (Immunohistochemistry) (Dilution: WB 1:500-2000, IHC-p 1:50-300, IF 1:50-300)

Cleaved-Caspase-3 p17, Polyclonal Antibody (Cat# AAA28830)

No reviews yet
Full Name
Cleaved-Caspase-3 p17 (D175) Polyclonal Antibody
Gene Names
CASP3; CPP32; SCA-1; CPP32B
Reactivity
Human, Mouse, Rat
Applications
Western Blot, Immunohistochemistry, Immunofluorescence
Pricing
product-image-AAA29778_FCM7.jpg FCM (Flow Cytometry) (Flow cytometric analysis of NIH/3T3 cells with Phospho- PAK1 (S144)+PAK2 (S141)+PAK3 (S139) antibody at 1/50 dilution (red) compared with an unlabelled control (cells without incubation with primary antibody; black). Alexa Fluor 488-conjugated goat anti rabbit IgG was used as the secondary antibody.)

PAK1, Monoclonal Antibody (Cat# AAA29778)

No reviews yet
Full Name
PAK1 (Phospho-S144)+PAK2 (Phospho-S141)+PAK3 (Phospho-S139) Antibody
Gene Names
PAK3; bPAK; MRX30; MRX47; OPHN3; hPAK3; CDKN1A; PAK3beta
Reactivity
Human, Mouse, Rat
Applications
Western Blot, Immunocytochemistry, Immunofluorescence, Immunohistochemistry, Immunoprecipitation, Flow Cytometry
Purity
ProA affinity purified
Pricing
product-image-AAA29921_FCM6.jpg FCM (Flow Cytometry) (Flow cytometric analysis of Hela cells with SIRT1 antibody at 1/100 dilution (blue) compared with an unlabelled control (cells without incubation with primary antibody; red). Goat anti rabbit IgG (FITC) was used as the secondary antibody.)

ERK2, Polyclonal Antibody (Cat# AAA29921)

No reviews yet
Full Name
ERK2 Antibody
Gene Names
MAPK1; ERK; p38; p40; p41; ERK2; ERT1; MAPK2; PRKM1; PRKM2; P42MAPK; p41mapk
Reactivity
Human, Mouse, Rat
Applications
Western Blot, Immunocytochemistry, Immunohistochemistry, Flow Cytometry
Purity
Peptide affinity purified
Pricing
product-image-AAA29224_IHC6.jpg IHC (Immunohistchemistry) (Dilution: Western Blot: 1/500 - 1/2000. IHC-p: 1/100-1/300. ELISA: 1/20000. Not yet tested in other applications.)

Ku-70, Polyclonal Antibody (Cat# AAA29224)

No reviews yet
Full Name
Ku-70 Polyclonal Antibody
Gene Names
XRCC6; ML8; KU70; TLAA; CTC75; CTCBF; G22P1
Reactivity
Human
Applications
Western Blot, Immunohistochemistry
Pricing
product-image-AAA12055_APP10.jpg Application Data (Immunoperoxidase staining of mouse lymph node cryosection stained with Rat antii Mouse CD8alpha antibody, clone KT15 followed by horseradish peroxidase conjugatedGoat anti Rat IgG s a detection reagent. High power)

CD8 ALPHA, Monoclonal Antibody (Cat# AAA12055)

No reviews yet
Full Name
RAT ANTI MOUSE CD8 ALPHA:RPE
Gene Names
Cd8a; Ly-2; Ly-B; Ly-35; Lyt-2; BB154331
Applications
Flow Cytometry
Pricing
product-image-AAA24623_APP6.jpg Application Data (Detection limit for recombinant GST tagged PGR is ~0.3ng/ml as a capture antibody.)

Progesterone Receptor, Monoclonal Antibody (Cat# AAA24623)

No reviews yet
Full Name
Progesterone Receptor (PgR, PR, Nuclear Receptor Subfamily 3 Group C Member 3, NR3C3) APC
Gene Names
PGR; PR; NR3C3
Reactivity
Human, Rat
Applications
Immunofluorescence, Immunohistochemistry, Western Blot
Purity
Purified by Protein A Affinity Chromatography.
Pricing
product-image-AAA24643_APP6.jpg Application Data (Proximity Ligation Analysis (PLA) of protein-protein interactions between MAPK3 and RPS6KA2 HeLa cells were stained with anti-MAPK3 rabbit purified polyclonal 1:1200 and anti-RPS6KA2 mouse monoclonal antibody 1:50. Signals were detected by 30 Detection Kit 613 (red), and nuclei were counterstained with DAPI (blue). Each red dot represents the detection of protein-protein interaction complex.)

RSK3, Monoclonal Antibody (Cat# AAA24643)

No reviews yet
Full Name
RSK3, CT (Ribosomal S6 Kinase 3, RSK-3, pp90RSK3, 90kD Ribosomal Protein S6 Kinase 2, p90-RSK 2, p90RSK2, MAP Kinase-activated Protein Kinase 1c, MAPK-activated Protein Kinase 1c, MAPKAP Kinase 1c, MAPKAPK1C, MAPKAPK-1c, Ribosomal Protein S6 Kinase alpha-
Gene Names
RPS6KA2; RSK; HU-2; RSK3; p90RSK2; p90-RSK3; pp90RSK3; MAPKAPK1C; S6K-alpha; S6K-alpha2
Reactivity
Human
Applications
Immunofluorescence, Immunohistochemistry, Western Blot
Purity
Purified by Protein A Affinity Chromatography.
Pricing
product-image-AAA30331_FCM6.jpg FCM (Flow Cytometry) (Flow cytometric analysis of SH-SY5Y cells with S100 antibody at 1/50 dilution (red) compared with an unlabelled control (cells without incubation with primary antibody; black). Alexa Fluor 488-conjugated goat anti rabbit IgG was used as the secondary antibody.)

S100, Monoclonal Antibody (Cat# AAA30331)

No reviews yet
Full Name
S100 Antibody
Gene Names
S100A1; S100; S100A; S100-alpha
Reactivity
Human, Mouse
Applications
Western Blot, Immunoprecipitation, Immunohistochemistry, Flow Cytometry
Purity
ProA affinity purified
Pricing
product-image-AAA30542_IHC6.jpg IHC (Immunohistchemistry) (Immunohistochemistry of paraffin-embedded human liver cancer using YAP1 antibody at dilution of 1:100 .)

YAP1, Polyclonal Antibody (Cat# AAA30542)

No reviews yet
Full Name
YAP1 Polyclonal Antibody
Gene Names
YAP1; YAP; YKI; YAP2; YAP65
Reactivity
Human, Mouse, Rat
Applications
Western Blot, Immunohistochemistry, Immunofluorescence
Purity
Affinity purification
Pricing

Submit a Question

Please complete the form below and a representative will contact you as soon as possible.

Request more Information

Please complete the form below and a representative will contact you as soon as possible.

Request a Manual

Please complete the form below and a representative will contact you as soon as possible.

Request a Quote

Please complete the form below and a representative will contact you as soon as possible.