Human Dipeptidyl peptidase 1 ELISA Kit | CTSC elisa kit
Human Dipeptidyl peptidase 1 ELISA Kit
Gene Names
CTSC; JP; HMS; JPD; PLS; CPPI; DPP1; DPPI; PALS; DPP-I; PDON1
Reactivity
Human
Synonyms
Dipeptidyl peptidase 1; N/A; Human Dipeptidyl peptidase 1 ELISA Kit; Cathepsin C; Cathepsin J; Dipeptidyl peptidase I; DPP-I; DPPI; Dipeptidyl transferase; CTSC; CPPI; 3.4.14.1; CTSC elisa kit
Reactivity
Human
Sequence Length
141
Assay Type
Sandwich
Detection Range
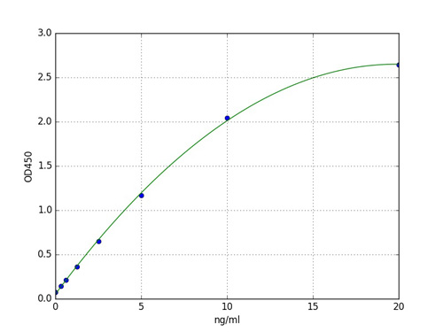
0.312-20 ng/mL
Sensitivity
0.12ng/mL
Intra-Assay CV
<=6.3%
Inter-Assay CV
<=9.2%
Recovery
97%
Preparation and Storage
For long term storage, please store the entire kit at -20 degree C.
NCBI and Uniprot Product Information
NCBI GI #
NCBI GeneID
NCBI Accession #
NCBI GenBank Nucleotide #
UniProt Accession #
Molecular Weight
15,700 Da
NCBI Official Full Name
dipeptidyl peptidase 1 isoform c
NCBI Official Synonym Full Names
cathepsin C
NCBI Official Symbol
CTSC
NCBI Official Synonym Symbols
JP; HMS; JPD; PLS; CPPI; DPP1; DPPI; PALS; DPP-I; PDON1
NCBI Protein Information
dipeptidyl peptidase 1
UniProt Protein Name
Dipeptidyl peptidase 1
UniProt Gene Name
CTSC
UniProt Synonym Gene Names
CPPI; DPP-I; DPPI
UniProt Entry Name
CATC_HUMAN
Customer Reviews
Loading reviews...
Share Your Experience
Similar Products
Product Notes
The Human CTSC ctsc (Catalog #AAA191579) is an ELISA Kit and is intended for research purposes only. The product is available for immediate purchase. The AAA191579 ELISA Kit recognizes Human CTSC. It is sometimes possible for the material contained within the vial of "Dipeptidyl peptidase 1, ELISA Kit" to become dispersed throughout the inside of the vial, particularly around the seal of said vial, during shipment and storage. We always suggest centrifuging these vials to consolidate all of the liquid away from the lid and to the bottom of the vial prior to opening. Please be advised that certain products may require dry ice for shipping and that, if this is the case, an additional dry ice fee may also be required.Precautions
All products in the AAA Biotech catalog are strictly for research-use only, and are absolutely not suitable for use in any sort of medical, therapeutic, prophylactic, in-vivo, or diagnostic capacity. By purchasing a product from AAA Biotech, you are explicitly certifying that said products will be properly tested and used in line with industry standard. AAA Biotech and its authorized distribution partners reserve the right to refuse to fulfill any order if we have any indication that a purchaser may be intending to use a product outside of our accepted criteria.Disclaimer
Though we do strive to guarantee the information represented in this datasheet, AAA Biotech cannot be held responsible for any oversights or imprecisions. AAA Biotech reserves the right to adjust any aspect of this datasheet at any time and without notice. It is the responsibility of the customer to inform AAA Biotech of any product performance issues observed or experienced within 30 days of receipt of said product. To see additional details on this or any of our other policies, please see our Terms & Conditions page.Item has been added to Shopping Cart
If you are ready to order, navigate to Shopping Cart and get ready to checkout.
