Connexin 43 Antibody | anti-CX43 antibody
Connexin 43 (Phospho-Ser367) Antibody
Gene Names
GJA1; HSS; CMDR; CX43; EKVP; GJAL; ODDD; AVSD3; EKVP3; HLHS1; PPKCA
Reactivity
Human, Mouse, Rat
Applications
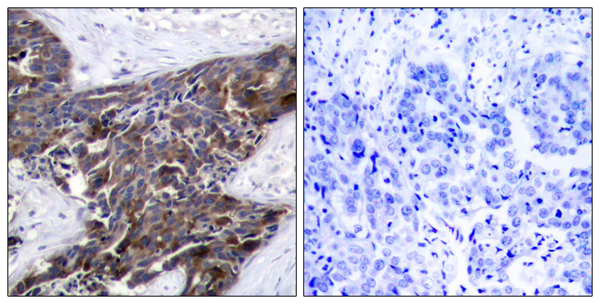
ELISA, Immunohistochemistry, Western Blot
Purity
Affinity-purified from rabbit antiserum by affinity-chromatography using epitope-specific phosphopeptide. The antibody against non-phosphopeptide was removed by chromatogramphy using non-phosphopeptide corresponding to the phosphorylation site.
Synonyms
Connexin 43; N/A; Connexin 43 (Phospho-Ser367) Antibody; Gap junction 43 kDa heart protein; anti-CX43 antibody
Reactivity
Human, Mouse, Rat
Specificity
Connexin43 (Phospho-Ser367) antibody detects endogenous levels of Connexin43 only when phosphorylated at serine 367.
Purity/Purification
Affinity-purified from rabbit antiserum by affinity-chromatography using epitope-specific phosphopeptide. The antibody against non-phosphopeptide was removed by chromatogramphy using non-phosphopeptide corresponding to the phosphorylation site.
Form/Format
In phosphate buffered saline (without Mg2+ and Ca2+), pH 7.4, 150mM NaCl, 0.02% sodium azide and 50% glycerol.
Sequence Length
382
Applicable Applications for anti-CX43 antibody
ELISA, IHC (Immunohistochemistry), WB (Western Blot)
Immunogen
The antiserum was produced against synthesized phosphopeptide derived from human Connexin43 around the phosphorylation site of serine 367 (R-A-SP-S-R).
All Sites
Human: Ser367
Mouse: Ser367
Rat: Ser367
Mouse: Ser367
Rat: Ser367
Preparation and Storage
Store at-20 degree C for 1 year
Product Categories/Family for anti-CX43 antibody
References
Xiaoyong Bao, et al. (2004) Am J Physiol Cell Physiol; 286: C647-C654. K Boengler, et al. (2006) Heart; 92: 1724-1727. Satoshi Matsushita, et al. (2006) J. Histochem. Cytochem; 54: 343-353. Holger K. Eltzschig, et al. (2006) Circ. Res; 99: 1100-1108.
NCBI and Uniprot Product Information
NCBI GI #
NCBI GeneID
NCBI Accession #
NCBI GenBank Nucleotide #
Molecular Weight
43,008 Da
NCBI Official Full Name
gap junction alpha-1 protein
NCBI Official Synonym Full Names
gap junction protein alpha 1
NCBI Official Symbol
GJA1
NCBI Official Synonym Symbols
HSS; CMDR; CX43; EKVP; GJAL; ODDD; AVSD3; EKVP3; HLHS1; PPKCA
NCBI Protein Information
gap junction alpha-1 protein
UniProt Protein Name
Gap junction alpha-1 protein
UniProt Gene Name
GJA1
UniProt Synonym Gene Names
GJAL; Cx43
Customer Reviews
Loading reviews...
Share Your Experience
Similar Products
Product Notes
The CX43 gja1 (Catalog #AAA112149) is an Antibody and is intended for research purposes only. The product is available for immediate purchase. The Connexin 43 (Phospho-Ser367) Antibody reacts with Human, Mouse, Rat and may cross-react with other species as described in the data sheet. AAA Biotech's Connexin 43 can be used in a range of immunoassay formats including, but not limited to, ELISA, IHC (Immunohistochemistry), WB (Western Blot). Researchers should empirically determine the suitability of the CX43 gja1 for an application not listed in the data sheet. Researchers commonly develop new applications and it is an integral, important part of the investigative research process. It is sometimes possible for the material contained within the vial of "Connexin 43, Antibody" to become dispersed throughout the inside of the vial, particularly around the seal of said vial, during shipment and storage. We always suggest centrifuging these vials to consolidate all of the liquid away from the lid and to the bottom of the vial prior to opening. Please be advised that certain products may require dry ice for shipping and that, if this is the case, an additional dry ice fee may also be required.Precautions
All products in the AAA Biotech catalog are strictly for research-use only, and are absolutely not suitable for use in any sort of medical, therapeutic, prophylactic, in-vivo, or diagnostic capacity. By purchasing a product from AAA Biotech, you are explicitly certifying that said products will be properly tested and used in line with industry standard. AAA Biotech and its authorized distribution partners reserve the right to refuse to fulfill any order if we have any indication that a purchaser may be intending to use a product outside of our accepted criteria.Disclaimer
Though we do strive to guarantee the information represented in this datasheet, AAA Biotech cannot be held responsible for any oversights or imprecisions. AAA Biotech reserves the right to adjust any aspect of this datasheet at any time and without notice. It is the responsibility of the customer to inform AAA Biotech of any product performance issues observed or experienced within 30 days of receipt of said product. To see additional details on this or any of our other policies, please see our Terms & Conditions page.Item has been added to Shopping Cart
If you are ready to order, navigate to Shopping Cart and get ready to checkout.
