Human Glia-Derived Nexin (SERPINE2) ELISA Kit | GDN elisa kit
Human Glia-Derived Nexin (SERPINE2) ELISA Kit
Gene Names
SERPINE2; GDN; PI7; PN1; PNI; PI-7; PN-1; GDNPF
Reactivity
Human
Synonyms
Glia-Derived Nexin (SERPINE2); N/A; Human Glia-Derived Nexin (SERPINE2) ELISA Kit; SERPINE2; PI7; PN1; PNI; OTTHUMP00000203766; glial-derived neurite promoting factor; glial-derived nexin 1; plasminogen activator inhibitor type 1; member 2; protease inhibitor 7 (protease nexin I); serine (o; GDN elisa kit
Reactivity
Human
Specificity
Human Glia-derived nexin (SERPINE2) ELISA Kit has high sensitivity and excellent specificity for detection of Human SERPINE2. No significant cross-reactivity or interference between Human SERPINE2 and analogues was observed.
Sequence Length
398
Assay Type
Sandwich
Samples
Human serum, cell culture supernates and other biological fluids
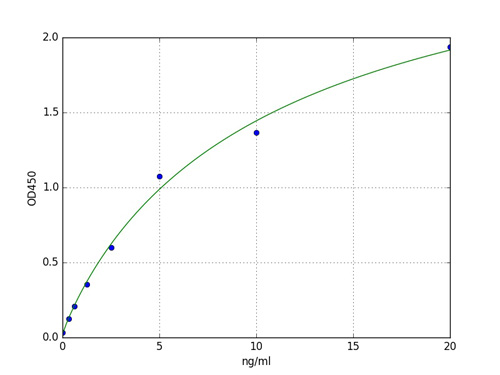
Detection Range
2 ng/L - 32 ng/L
Sensitivity
< 0.1 ng/L
Intra-assay Precision
Four samples of known concentration were tested twenty times on one plate to assess intra-assay precision. The CV (%)?9%.
Inter-assay Precision
Three samples of known concentration were tested in twenty separate assays to assess inter-assay precision. Assays were performed by at least three technicians using two lots of components. The CV (%)?11%.
Preparation and Storage
Store at 2-8 degree C.
Related Product Information for GDN elisa kit
Principle of the Assay: Human Glia-derived nexin (SERPINE2) ELISA Kit employs a two-site sandwich ELISA to quantitate SERPINE2 in samples. An antibody specific for Human SERPINE2 has been pre-coated onto a microplate. Standards and samples are pipetted into the wells and any SERPINE2 present is bound by the immobilized antibody. After removing any unbound substances, HRP-Conjugated SERPINE2 detection antibody is added to the wells. Following a wash to remove any unbound HRP reagent, a Chromogen solution is added to the wells and color develops in proportion to the amount of SERPINE2 bound in the initial step. The color development is stopped and the intensity of the color is measured.
NCBI and Uniprot Product Information
NCBI GI #
NCBI GeneID
UniProt Accession #
NCBI Official Full Name
Glia-derived nexin
NCBI Official Synonym Full Names
serpin family E member 2
NCBI Official Symbol
SERPINE2
NCBI Official Synonym Symbols
GDN; PI7; PN1; PNI; PI-7; PN-1; GDNPF
NCBI Protein Information
glia-derived nexin
UniProt Protein Name
Glia-derived nexin
UniProt Gene Name
SERPINE2
UniProt Synonym Gene Names
PI7; PN1; GDN; PI-7; PN-1
UniProt Entry Name
GDN_HUMAN
Customer Reviews
Loading reviews...
Share Your Experience
Similar Products
Product Notes
The Human GDN serpine2 (Catalog #AAA330902) is an ELISA Kit and is intended for research purposes only. The product is available for immediate purchase. The AAA330902 ELISA Kit recognizes Human GDN. It is sometimes possible for the material contained within the vial of "Glia-Derived Nexin (SERPINE2), ELISA Kit" to become dispersed throughout the inside of the vial, particularly around the seal of said vial, during shipment and storage. We always suggest centrifuging these vials to consolidate all of the liquid away from the lid and to the bottom of the vial prior to opening. Please be advised that certain products may require dry ice for shipping and that, if this is the case, an additional dry ice fee may also be required.Precautions
All products in the AAA Biotech catalog are strictly for research-use only, and are absolutely not suitable for use in any sort of medical, therapeutic, prophylactic, in-vivo, or diagnostic capacity. By purchasing a product from AAA Biotech, you are explicitly certifying that said products will be properly tested and used in line with industry standard. AAA Biotech and its authorized distribution partners reserve the right to refuse to fulfill any order if we have any indication that a purchaser may be intending to use a product outside of our accepted criteria.Disclaimer
Though we do strive to guarantee the information represented in this datasheet, AAA Biotech cannot be held responsible for any oversights or imprecisions. AAA Biotech reserves the right to adjust any aspect of this datasheet at any time and without notice. It is the responsibility of the customer to inform AAA Biotech of any product performance issues observed or experienced within 30 days of receipt of said product. To see additional details on this or any of our other policies, please see our Terms & Conditions page.Item has been added to Shopping Cart
If you are ready to order, navigate to Shopping Cart and get ready to checkout.
