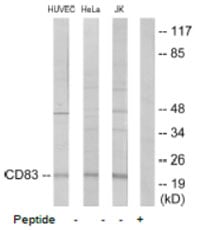
Reactivity
Human
Specificity
This assay has high sensitivity and excellent specificity for detection of CD83. No significant cross-reactivity or interference between CD83 and analogues was observed. NOTE: Limited by current skills and knowledge, it is impossible for us to complete the cross-reactivity detection between CD83 and all the analogues, therefore, cross reaction may still exist in some cases.
Samples
Serum, plasma, cell culture supernatants, body fluid and tissue homogenate
Assay Type
Quantitative Competitive
Sensitivity
1.0 pg/mL
Preparation and Storage
Store all reagents at 2-8 degree C.
Related Product Information for CD83 elisa kit
Intended Uses: This CD83 ELISA kit is a 1.5 hour solid-phase ELISA designed for the quantitative determination of Human CD83. This ELISA kit for research use only!
Principle of the Assay: CD83 ELISA kit applies the competitive enzyme immunoassay technique utilizing an anti-CD83 antibody and an CD83-HRP conjugate. The assay sample and buffer are incubated together with CD83-HRP conjugate in pre-coated plate for one hour. After the incubation period, the wells are decanted and washed five times. The wells are then incubated with a substrate for HRP enzyme. The product of the enzyme-substrate reaction forms a blue colored complex. Finally, a stop solution is added to stop the reaction, which will then turn the solution yellow. The intensity of color is measured spectrophotometrically at 450nm in a microplate reader. The intensity of the color is inversely proportional to the CD83 concentration since CD83 from samples and CD83-HRP conjugate compete for the anti-CD83 antibody binding site. Since the number of sites is limited, as more sites are occupied by CD83 from the sample, fewer sites are left to bind CD83-HRP conjugate. A standard curve is plotted relating the intensity of the color (O.D.) to the concentration of standards. The CD83 concentration in each sample is interpolated from this standard curve.
Principle of the Assay: CD83 ELISA kit applies the competitive enzyme immunoassay technique utilizing an anti-CD83 antibody and an CD83-HRP conjugate. The assay sample and buffer are incubated together with CD83-HRP conjugate in pre-coated plate for one hour. After the incubation period, the wells are decanted and washed five times. The wells are then incubated with a substrate for HRP enzyme. The product of the enzyme-substrate reaction forms a blue colored complex. Finally, a stop solution is added to stop the reaction, which will then turn the solution yellow. The intensity of color is measured spectrophotometrically at 450nm in a microplate reader. The intensity of the color is inversely proportional to the CD83 concentration since CD83 from samples and CD83-HRP conjugate compete for the anti-CD83 antibody binding site. Since the number of sites is limited, as more sites are occupied by CD83 from the sample, fewer sites are left to bind CD83-HRP conjugate. A standard curve is plotted relating the intensity of the color (O.D.) to the concentration of standards. The CD83 concentration in each sample is interpolated from this standard curve.
Product Categories/Family for CD83 elisa kit
NCBI and Uniprot Product Information
NCBI GI #
NCBI GeneID
NCBI Accession #
NCBI GenBank Nucleotide #
Molecular Weight
23,042 Da
NCBI Official Full Name
CD83 antigen isoform a
NCBI Official Synonym Full Names
CD83 molecule
NCBI Official Symbol
CD83
NCBI Official Synonym Symbols
BL11; HB15
NCBI Protein Information
CD83 antigen; hCD83; B-cell activation protein; cell surface protein HB15; cell-surface glycoprotein; CD83 antigen (activated B lymphocytes, immunoglobulin superfamily)
UniProt Protein Name
CD83 antigen
UniProt Gene Name
CD83
UniProt Synonym Gene Names
hCD83
UniProt Entry Name
CD83_HUMAN
Customer Reviews
Loading reviews...
Share Your Experience
Similar Products
Product Notes
The Human CD83 cd83 (Catalog #AAA245938) is an ELISA Kit and is intended for research purposes only. The product is available for immediate purchase. The AAA245938 ELISA Kit recognizes Human CD83. It is sometimes possible for the material contained within the vial of "CD83 antigen (CD83), ELISA Kit" to become dispersed throughout the inside of the vial, particularly around the seal of said vial, during shipment and storage. We always suggest centrifuging these vials to consolidate all of the liquid away from the lid and to the bottom of the vial prior to opening. Please be advised that certain products may require dry ice for shipping and that, if this is the case, an additional dry ice fee may also be required.Precautions
All products in the AAA Biotech catalog are strictly for research-use only, and are absolutely not suitable for use in any sort of medical, therapeutic, prophylactic, in-vivo, or diagnostic capacity. By purchasing a product from AAA Biotech, you are explicitly certifying that said products will be properly tested and used in line with industry standard. AAA Biotech and its authorized distribution partners reserve the right to refuse to fulfill any order if we have any indication that a purchaser may be intending to use a product outside of our accepted criteria.Disclaimer
Though we do strive to guarantee the information represented in this datasheet, AAA Biotech cannot be held responsible for any oversights or imprecisions. AAA Biotech reserves the right to adjust any aspect of this datasheet at any time and without notice. It is the responsibility of the customer to inform AAA Biotech of any product performance issues observed or experienced within 30 days of receipt of said product. To see additional details on this or any of our other policies, please see our Terms & Conditions page.Item has been added to Shopping Cart
If you are ready to order, navigate to Shopping Cart and get ready to checkout.
