Reactivity
Human
Sequence Length
496
Samples
Serum, Plasma, Cell Culture Supernates, Cell Lysates, Tissue Homogenates
Assay Type
Quantitative Sandwich
Detection Range
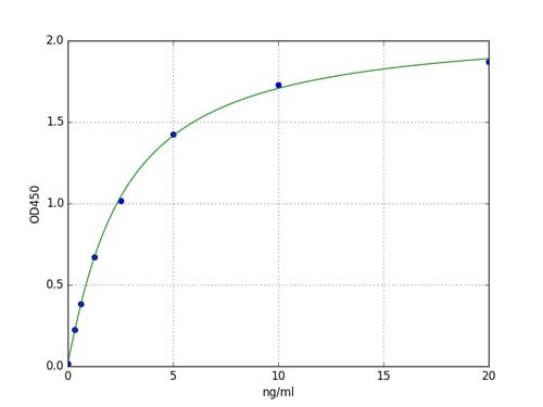
0.3ng/ml-90ng/ml
Sensitivity
0.16ng/ml
Intra-assay Precision
Intra-Assay Precision (Precision within an assay) Three samples of known concentration were tested on one plate to assess intra-assay precision. Intra-Assay: CV<8%
Inter-assay Precision
Inter-Assay Precision (Precision between assays) Three samples of known concentration were tested in separate assays to assess inter-assay precision. CV(%) = SD/mean x 100. Inter-Assay: CV<10%
Preparation and Storage
Store at 2 to 8 degree C for 6 months.
Related Product Information for GLUT3 elisa kit
Intended Uses: This sandwich kit is for the accurate quantitative detection of human Glucose Transporter 1 (also known as GLUT1) in serum, plasma, cell culture supernates, cell lysates, tissue homogenates.
Principle of the Assay: This kit is an Enzyme-Linked Immunosorbent Assay (ELISA). The plate has been pre-coated with human GLUT1 antibody. GLUT1 present in the sample is added and binds to antibodies coated on the wells. And then biotinylated human GLUT1 Antibody is added and binds to GLUT1 in the sample. Then Streptavidin-HRP is added and binds to the Biotinylated GLUT1 antibody. After incubation unbound Streptavidin-HRP is washed away during a washing step. Substrate solution is then added and color develops in proportion to the amount of human GLUT1. The reaction is terminated by addition of acidic stop solution and absorbance is measured at 450 nm.
Principle of the Assay: This kit is an Enzyme-Linked Immunosorbent Assay (ELISA). The plate has been pre-coated with human GLUT1 antibody. GLUT1 present in the sample is added and binds to antibodies coated on the wells. And then biotinylated human GLUT1 Antibody is added and binds to GLUT1 in the sample. Then Streptavidin-HRP is added and binds to the Biotinylated GLUT1 antibody. After incubation unbound Streptavidin-HRP is washed away during a washing step. Substrate solution is then added and color develops in proportion to the amount of human GLUT1. The reaction is terminated by addition of acidic stop solution and absorbance is measured at 450 nm.
NCBI and Uniprot Product Information
NCBI GI #
NCBI GeneID
Molecular Weight
53,924 Da
NCBI Official Full Name
glucose transporter 3
NCBI Official Synonym Full Names
solute carrier family 2 member 3
NCBI Official Symbol
SLC2A3
NCBI Official Synonym Symbols
GLUT3
NCBI Protein Information
solute carrier family 2, facilitated glucose transporter member 3
UniProt Protein Name
Solute carrier family 2, facilitated glucose transporter member 3
UniProt Gene Name
SLC2A3
UniProt Synonym Gene Names
GLUT3; GLUT-3
Customer Reviews
Loading reviews...
Share Your Experience
Similar Products
Product Notes
The Human GLUT3 slc2a3 (Catalog #AAA42240) is an ELISA Kit and is intended for research purposes only. The product is available for immediate purchase. The AAA42240 ELISA Kit recognizes Human GLUT3. It is sometimes possible for the material contained within the vial of "Glucose transporter 3, GLUT3, ELISA Kit" to become dispersed throughout the inside of the vial, particularly around the seal of said vial, during shipment and storage. We always suggest centrifuging these vials to consolidate all of the liquid away from the lid and to the bottom of the vial prior to opening. Please be advised that certain products may require dry ice for shipping and that, if this is the case, an additional dry ice fee may also be required.Precautions
All products in the AAA Biotech catalog are strictly for research-use only, and are absolutely not suitable for use in any sort of medical, therapeutic, prophylactic, in-vivo, or diagnostic capacity. By purchasing a product from AAA Biotech, you are explicitly certifying that said products will be properly tested and used in line with industry standard. AAA Biotech and its authorized distribution partners reserve the right to refuse to fulfill any order if we have any indication that a purchaser may be intending to use a product outside of our accepted criteria.Disclaimer
Though we do strive to guarantee the information represented in this datasheet, AAA Biotech cannot be held responsible for any oversights or imprecisions. AAA Biotech reserves the right to adjust any aspect of this datasheet at any time and without notice. It is the responsibility of the customer to inform AAA Biotech of any product performance issues observed or experienced within 30 days of receipt of said product. To see additional details on this or any of our other policies, please see our Terms & Conditions page.Item has been added to Shopping Cart
If you are ready to order, navigate to Shopping Cart and get ready to checkout.
