anti-Human, Mouse ATF1 Antibody | anti-ATF1 antibody
ATF1 (Ab-63) Antibody
Gene Names
ATF1; TREB36; EWS-ATF1; FUS/ATF-1
Reactivity
Human, Mouse
Applications
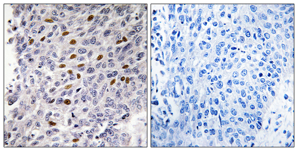
ELISA, Immunohistochemistry, Western Blot
Purity
Affinity-purified from rabbit antiserum by affinity-chromatography using epitope-specific immunogen.
Synonyms
ATF1; N/A; ATF1 (Ab-63) Antibody; Activating transcription factor 1; Cyclic-AMP-dependent transcription factor ATF-1; TCR-ATF1; TREB36 protein; anti-ATF1 antibody
Reactivity
Human, Mouse
Specificity
ATF1 (Ab-63) antibody detects endogenous levels of total ATF1 protein.
Purity/Purification
Affinity-purified from rabbit antiserum by affinity-chromatography using epitope-specific immunogen.
Form/Format
In phosphate buffered saline (without Mg2+ and Ca2+), pH 7.4, 150mM NaCl, 0.02% sodium azide and 50% glycerol.
Sequence Length
271
Applicable Applications for anti-ATF1 antibody
ELISA, IHC (Immunohistochemistry), WB (Western Blot)
Immunogen
The antiserum was produced against synthesized non-phosphopeptide derived from human ATF1 around the phosphorylation site of serine 63 (R-P-SP-Y-R).
Preparation and Storage
Store at-20 degree C for 1 year.
References
Yoshimura T., EMBO J. 9:2537-2542(1990). Rehfuss R.P., J. Biol. Chem. 266:18431-18434(1991). Hai T., Genes Dev. 3:2083-2090(1989).
NCBI and Uniprot Product Information
NCBI GI #
NCBI GeneID
NCBI Accession #
NCBI GenBank Nucleotide #
Molecular Weight
15,295 Da
NCBI Official Full Name
cyclic AMP-dependent transcription factor ATF-1
NCBI Official Synonym Full Names
activating transcription factor 1
NCBI Official Symbol
ATF1
NCBI Official Synonym Symbols
TREB36; EWS-ATF1; FUS/ATF-1
NCBI Protein Information
cyclic AMP-dependent transcription factor ATF-1
UniProt Protein Name
Cyclic AMP-dependent transcription factor ATF-1
UniProt Gene Name
ATF1
UniProt Synonym Gene Names
cAMP-dependent transcription factor ATF-1
Customer Reviews
Loading reviews...
Share Your Experience
Similar Products
Product Notes
The ATF1 atf1 (Catalog #AAA267392) is an Antibody and is intended for research purposes only. The product is available for immediate purchase. The ATF1 (Ab-63) Antibody reacts with Human, Mouse and may cross-react with other species as described in the data sheet. AAA Biotech's ATF1 can be used in a range of immunoassay formats including, but not limited to, ELISA, IHC (Immunohistochemistry), WB (Western Blot). Researchers should empirically determine the suitability of the ATF1 atf1 for an application not listed in the data sheet. Researchers commonly develop new applications and it is an integral, important part of the investigative research process. It is sometimes possible for the material contained within the vial of "ATF1, Antibody" to become dispersed throughout the inside of the vial, particularly around the seal of said vial, during shipment and storage. We always suggest centrifuging these vials to consolidate all of the liquid away from the lid and to the bottom of the vial prior to opening. Please be advised that certain products may require dry ice for shipping and that, if this is the case, an additional dry ice fee may also be required.Precautions
All products in the AAA Biotech catalog are strictly for research-use only, and are absolutely not suitable for use in any sort of medical, therapeutic, prophylactic, in-vivo, or diagnostic capacity. By purchasing a product from AAA Biotech, you are explicitly certifying that said products will be properly tested and used in line with industry standard. AAA Biotech and its authorized distribution partners reserve the right to refuse to fulfill any order if we have any indication that a purchaser may be intending to use a product outside of our accepted criteria.Disclaimer
Though we do strive to guarantee the information represented in this datasheet, AAA Biotech cannot be held responsible for any oversights or imprecisions. AAA Biotech reserves the right to adjust any aspect of this datasheet at any time and without notice. It is the responsibility of the customer to inform AAA Biotech of any product performance issues observed or experienced within 30 days of receipt of said product. To see additional details on this or any of our other policies, please see our Terms & Conditions page.Item has been added to Shopping Cart
If you are ready to order, navigate to Shopping Cart and get ready to checkout.
