c-Jun Antibody | anti-c-Jun antibody
c-Jun (Phospho-Ser73) Antibody
Gene Names
JUN; AP1; p39; AP-1; c-Jun
Reactivity
Human, Mouse, Rat
Applications
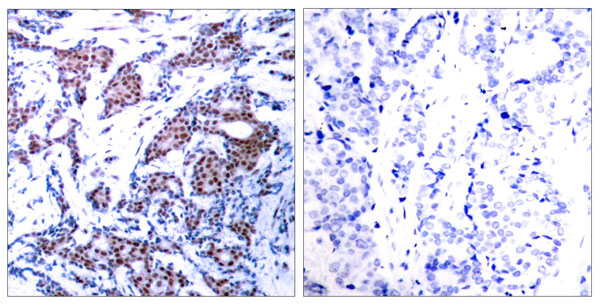
ELISA, Immunohistochemistry, Western Blot
Purity
Affinity-purified from rabbit antiserum by affinity-chromatography using epitope-specific phosphopeptide. The antibody against non-phosphopeptide was removed by chromatogramphy using non-phosphopeptide corresponding to the phosphorylation site.
Synonyms
c-Jun; N/A; c-Jun (Phospho-Ser73) Antibody; anti-c-Jun antibody
Reactivity
Human, Mouse, Rat
Specificity
c-Jun (phospho-Ser73) antibody detects endogenous levels of c-Jun only when phosphorylated at serine 73.
Purity/Purification
Affinity-purified from rabbit antiserum by affinity-chromatography using epitope-specific phosphopeptide. The antibody against non-phosphopeptide was removed by chromatogramphy using non-phosphopeptide corresponding to the phosphorylation site.
Form/Format
In phosphate buffered saline (without Mg2+ and Ca2+), pH 7.4, 150mM NaCl, 0.02% sodium azide and 50% glycerol.
Sequence Length
331
Applicable Applications for anti-c-Jun antibody
ELISA, IHC (Immunohistochemistry), WB (Western Blot)
Immunogen
The antiserum was produced against synthesized phosphopeptide derived from human c-Jun around the phosphorylation site of serine 73 (L-A-SP-P-E).
Preparation and Storage
Store at-20 degree C for 1 year
References
Sevilla A, et al. (2004) Oncogene.23 (55): 8950-8958. Beausoleil S A, et al. (2004) Proc Natl Acad Sci U S A. 101(33): 12130-12135. Binetruy B, et al. (1991) Nature. 351:122-127. Smeal T, et al. (1991) Nature. 354: 494-496. Derijard B, et al. (1994) Cell. 76:1025-1037.
NCBI and Uniprot Product Information
NCBI GI #
NCBI GeneID
NCBI Accession #
NCBI GenBank Nucleotide #
Molecular Weight
35,676 Da
NCBI Official Full Name
transcription factor AP-1
NCBI Official Synonym Full Names
Jun proto-oncogene, AP-1 transcription factor subunit
NCBI Official Symbol
JUN
NCBI Official Synonym Symbols
AP1; p39; AP-1; c-Jun
NCBI Protein Information
transcription factor AP-1
UniProt Protein Name
Transcription factor AP-1
UniProt Gene Name
JUN
UniProt Synonym Gene Names
AP1
Customer Reviews
Loading reviews...
Share Your Experience
Similar Products
Product Notes
The c-Jun jun (Catalog #AAA267700) is an Antibody and is intended for research purposes only. The product is available for immediate purchase. The c-Jun (Phospho-Ser73) Antibody reacts with Human, Mouse, Rat and may cross-react with other species as described in the data sheet. AAA Biotech's c-Jun can be used in a range of immunoassay formats including, but not limited to, ELISA, IHC (Immunohistochemistry), WB (Western Blot). Researchers should empirically determine the suitability of the c-Jun jun for an application not listed in the data sheet. Researchers commonly develop new applications and it is an integral, important part of the investigative research process. It is sometimes possible for the material contained within the vial of "c-Jun, Antibody" to become dispersed throughout the inside of the vial, particularly around the seal of said vial, during shipment and storage. We always suggest centrifuging these vials to consolidate all of the liquid away from the lid and to the bottom of the vial prior to opening. Please be advised that certain products may require dry ice for shipping and that, if this is the case, an additional dry ice fee may also be required.Precautions
All products in the AAA Biotech catalog are strictly for research-use only, and are absolutely not suitable for use in any sort of medical, therapeutic, prophylactic, in-vivo, or diagnostic capacity. By purchasing a product from AAA Biotech, you are explicitly certifying that said products will be properly tested and used in line with industry standard. AAA Biotech and its authorized distribution partners reserve the right to refuse to fulfill any order if we have any indication that a purchaser may be intending to use a product outside of our accepted criteria.Disclaimer
Though we do strive to guarantee the information represented in this datasheet, AAA Biotech cannot be held responsible for any oversights or imprecisions. AAA Biotech reserves the right to adjust any aspect of this datasheet at any time and without notice. It is the responsibility of the customer to inform AAA Biotech of any product performance issues observed or experienced within 30 days of receipt of said product. To see additional details on this or any of our other policies, please see our Terms & Conditions page.Item has been added to Shopping Cart
If you are ready to order, navigate to Shopping Cart and get ready to checkout.
