3-Hydroxy-3-methylglutaryl-CoA Reductase (HMGR) Kit
3-Hydroxy-3-methylglutaryl-CoA Reductase (HMGR) Inhibitor Screening Kit
Synonyms
3-Hydroxy-3-methylglutaryl-CoA Reductase (HMGR); N/A; 3-Hydroxy-3-methylglutaryl-CoA Reductase (HMGR) Inhibitor Screening Kit; 3-Hydroxy-3-methylglutaryl-CoA Reductase (HMGR) kit
Detection Type
Colorimetric
Result Type
Enzyme activity
Samples
Inhibitor
Precision
Intra-assay CV: 1.8-3.3%
Inter-assay CV: 2.2-10.0%
Inter-assay CV: 2.2-10.0%
Detection Instrument
Microplate reader
Preparation and Storage
This product can be stored at -20 degree C for 12 months with shading light.
Related Product Information for 3-Hydroxy-3-methylglutaryl-CoA Reductase (HMGR) kit
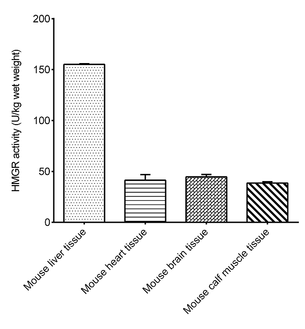
3-hydroxy-3-methylglutaryl-CoA reductase (HMGR) is the rate-limiting enzyme of mevalonate pathway, which is the metabolic pathway of acetyl-CoA to produce cholesterol.This detection kit can screen inhibitors of HMGR, which is an important tool for basic research of cholesterol and other related metabolic pathways.
The detection principle of this kit: HMGR catalyzed substrate reaction consumes NADPH, and the absorbance decreases at 340nm. The addition of inhibitors will inhibit HMGR enzyme activity, resulting in a decrease in the rate of absorbance decline. The inhibition rate can be calculated by measuring the change value of absorbance.
The detection principle of this kit: HMGR catalyzed substrate reaction consumes NADPH, and the absorbance decreases at 340nm. The addition of inhibitors will inhibit HMGR enzyme activity, resulting in a decrease in the rate of absorbance decline. The inhibition rate can be calculated by measuring the change value of absorbance.
Product Categories/Family for 3-Hydroxy-3-methylglutaryl-CoA Reductase (HMGR) kit
Customer Reviews
Loading reviews...
Share Your Experience
Similar Products
Product Notes
The 3-Hydroxy-3-methylglutaryl-CoA Reductase (HMGR) (Catalog #AAA179718) is a Kit and is intended for research purposes only. The product is available for immediate purchase. It is sometimes possible for the material contained within the vial of "3-Hydroxy-3-methylglutaryl-CoA Reductase (HMGR), Kit" to become dispersed throughout the inside of the vial, particularly around the seal of said vial, during shipment and storage. We always suggest centrifuging these vials to consolidate all of the liquid away from the lid and to the bottom of the vial prior to opening. Please be advised that certain products may require dry ice for shipping and that, if this is the case, an additional dry ice fee may also be required.Precautions
All products in the AAA Biotech catalog are strictly for research-use only, and are absolutely not suitable for use in any sort of medical, therapeutic, prophylactic, in-vivo, or diagnostic capacity. By purchasing a product from AAA Biotech, you are explicitly certifying that said products will be properly tested and used in line with industry standard. AAA Biotech and its authorized distribution partners reserve the right to refuse to fulfill any order if we have any indication that a purchaser may be intending to use a product outside of our accepted criteria.Disclaimer
Though we do strive to guarantee the information represented in this datasheet, AAA Biotech cannot be held responsible for any oversights or imprecisions. AAA Biotech reserves the right to adjust any aspect of this datasheet at any time and without notice. It is the responsibility of the customer to inform AAA Biotech of any product performance issues observed or experienced within 30 days of receipt of said product. To see additional details on this or any of our other policies, please see our Terms & Conditions page.Item has been added to Shopping Cart
If you are ready to order, navigate to Shopping Cart and get ready to checkout.
