Features & Benefits
Useful for monitoring cell movement, location, proliferation, migration, chemotaxis, and invasion.
The CellTracker Green probes are well retained in living cells through several generations and can display fluorescence for at least a week. The probes are transferred to daughter cells, but are not transferred to adjacent cells in a population.
Optimized for flow cytometery or fluorescent microscopy.
The CellTracker Green probes are well retained in living cells through several generations and can display fluorescence for at least a week. The probes are transferred to daughter cells, but are not transferred to adjacent cells in a population.
Optimized for flow cytometery or fluorescent microscopy.
Usage Notes
Thaw all the components at room temperature before opening
Preparation and Storage
Refer to list of materials supplied for storage conditions of individual components. Stable for at least 12 months at recommended temperature from date of shipment.
Related Product Information for Live Cell kit
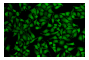
Description: Live Cell Tracking Kit (Green Fluorescence) provides a versatile and well-retained celltracing reagent (CellTracker Green) for monitoring cell movement, location, proliferation, migration, chemotaxis, and invasion. CellTracker Green can passively diffuses into cells and remain colorless and nonfluorescent until its acetate groups are cleaved by intracellular esterases to yield highly fluorescent, amine-reactive carboxyfluorescein succinimidyl ester. The succinimidyl ester group reacts with intracellular amines, forming fluorescent conjugates (Ex/Em= 494/521nm) that are well-retained and can be fixed with aldehyde fixatives.
Background: Cell movement and location studies require specialized probes that are nontoxic to living cells. Commercial Live Cell Tracking Kits provide a convenient method for monitoring cell movement, location, proliferation, migration, chemotaxis, and invasion.
Background: Cell movement and location studies require specialized probes that are nontoxic to living cells. Commercial Live Cell Tracking Kits provide a convenient method for monitoring cell movement, location, proliferation, migration, chemotaxis, and invasion.
Customer Reviews
Loading reviews...
Share Your Experience
Similar Products
Product Notes
The Live Cell (Catalog #AAA332441) is a Kit and is intended for research purposes only. The product is available for immediate purchase. It is sometimes possible for the material contained within the vial of "Live Cell, Kit" to become dispersed throughout the inside of the vial, particularly around the seal of said vial, during shipment and storage. We always suggest centrifuging these vials to consolidate all of the liquid away from the lid and to the bottom of the vial prior to opening. Please be advised that certain products may require dry ice for shipping and that, if this is the case, an additional dry ice fee may also be required.Precautions
All products in the AAA Biotech catalog are strictly for research-use only, and are absolutely not suitable for use in any sort of medical, therapeutic, prophylactic, in-vivo, or diagnostic capacity. By purchasing a product from AAA Biotech, you are explicitly certifying that said products will be properly tested and used in line with industry standard. AAA Biotech and its authorized distribution partners reserve the right to refuse to fulfill any order if we have any indication that a purchaser may be intending to use a product outside of our accepted criteria.Disclaimer
Though we do strive to guarantee the information represented in this datasheet, AAA Biotech cannot be held responsible for any oversights or imprecisions. AAA Biotech reserves the right to adjust any aspect of this datasheet at any time and without notice. It is the responsibility of the customer to inform AAA Biotech of any product performance issues observed or experienced within 30 days of receipt of said product. To see additional details on this or any of our other policies, please see our Terms & Conditions page.Item has been added to Shopping Cart
If you are ready to order, navigate to Shopping Cart and get ready to checkout.
