Rat Laminin ELISA Kit | LAMB2 elisa kit
Rat Laminin ELISA Kit
Gene Names
Lamb2; SLAM
Reactivity
Rat
Applications
ELISA
Synonyms
Laminin; N/A; Rat Laminin ELISA Kit; LAMS; Laminin subunit beta-2; Laminin B1s chain; Laminin-11 subunit beta; Laminin-14 subunit beta; Laminin-15 subunit beta; Laminin-3 subunit beta; Laminin-4 subunit beta; Laminin-7 subunit beta; Laminin-9 subunit beta; S-laminin subunit beta; S-LAM beta; LAMB2 elisa kit
Reactivity
Rat
Specificity
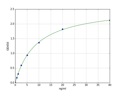
The Rat Laminin ELISA Kit allows for the detection and quantification of endogenous levels of natural and/or recombinant Rat Laminin proteins within the range of 156 pg/ml - 10000 pg/ml.
Sequence Length
1801
Samples
Cell Culture Supernatants, Serum, Plasma
Sensitivity
10 pg/ml.
Applicable Applications for LAMB2 elisa kit
ELISA (Sandwich ELISA)
Preparation and Storage
Shipped and store at 4 degree C for 6 months, store at -20 degree C for one year. Avoid freeze/thaw cycles.
Related Product Information for LAMB2 elisa kit
Principle of the Assay: The Rat Laminin ELISA (Enzyme-Linked Immunosorbent Assay) kit is an in vitro enzyme-linked immunosorbent assay for the quantitative measurement of Rat Laminin in Cell Culture Supernatants, Serum, Plasma. This assay employs an antibody specific for Rat Laminin coated on a 96-well plate. Standards and samples are pipetted into the wells and Laminin present in a sample is bound to the wells by the immobilized antibody. The wells are washed and biotinylated anti-Rat Laminin antibody is added. After washing away unbound biotinylated antibody, HRP-conjugated streptavidin is pipetted to the wells. The wells are again washed, a TMB substrate solution is added to the wells and color develops in proportion to the amount of Laminin bound. The Stop Solution changes the color from blue to yellow, and the intensity of the color is measured at 450 nm.
Background/Introduction: Laminin is a large basement membrane glycoprotein composed of three subunits designated the A, B1, and B2. Laminin has diverse biological functions, which include stimulating epithelial cell growth and differentiation. The nucleotide sequence of human laminin A chain has an open reading frame encoding 3075-amino acids. The human laminin A chain is at locus 18p11.3. The nucleotide sequence of the human laminin B1 reveals a 5358-base pair open reading frame that potentially codes for 1786 amino acids, including 20 amino acids of a presumptive signal peptide. The gene for the human laminin-B1 chain has been localized to chromosome 7, band q31. The B2 chain consists of six distinct domains, including two domains with alpha-helical, coiled-coil structures, two domains with cysteine-rich homologous repeats, and two globular domains. The amino acid sequences of the B2 and B1 chains demonstrate considerable homology. The human laminin B2 chain gene maps to the long arm of chromosome 1 in the band q31.
Background/Introduction: Laminin is a large basement membrane glycoprotein composed of three subunits designated the A, B1, and B2. Laminin has diverse biological functions, which include stimulating epithelial cell growth and differentiation. The nucleotide sequence of human laminin A chain has an open reading frame encoding 3075-amino acids. The human laminin A chain is at locus 18p11.3. The nucleotide sequence of the human laminin B1 reveals a 5358-base pair open reading frame that potentially codes for 1786 amino acids, including 20 amino acids of a presumptive signal peptide. The gene for the human laminin-B1 chain has been localized to chromosome 7, band q31. The B2 chain consists of six distinct domains, including two domains with alpha-helical, coiled-coil structures, two domains with cysteine-rich homologous repeats, and two globular domains. The amino acid sequences of the B2 and B1 chains demonstrate considerable homology. The human laminin B2 chain gene maps to the long arm of chromosome 1 in the band q31.
NCBI and Uniprot Product Information
NCBI GI #
NCBI GeneID
NCBI Accession #
NCBI GenBank Nucleotide #
UniProt Accession #
Molecular Weight
196,474 Da
NCBI Official Full Name
laminin subunit beta-2
NCBI Official Synonym Full Names
laminin, beta 2
NCBI Official Symbol
Lamb2
NCBI Official Synonym Symbols
SLAM
NCBI Protein Information
laminin subunit beta-2; S-LAM beta; laminin chain B3; laminin chain beta 2; S-laminin subunit beta; laminin-3 subunit beta; laminin-4 subunit beta; laminin-7 subunit beta; laminin-9 subunit beta; laminin-11 subunit beta; laminin-14 subunit beta; laminin-15 subunit beta
UniProt Protein Name
Laminin subunit beta-2
UniProt Gene Name
Lamb2
UniProt Synonym Gene Names
S-LAM beta
UniProt Entry Name
LAMB2_RAT
Customer Reviews
Loading reviews...
Share Your Experience
Similar Products
Product Notes
The Rat LAMB2 lamb2 (Catalog #AAA105869) is an ELISA Kit and is intended for research purposes only. The product is available for immediate purchase. The AAA105869 ELISA Kit recognizes Rat LAMB2. AAA Biotech's Laminin can be used in a range of immunoassay formats including, but not limited to, ELISA (Sandwich ELISA). Researchers should empirically determine the suitability of the LAMB2 lamb2 for an application not listed in the data sheet. Researchers commonly develop new applications and it is an integral, important part of the investigative research process. It is sometimes possible for the material contained within the vial of "Laminin, ELISA Kit" to become dispersed throughout the inside of the vial, particularly around the seal of said vial, during shipment and storage. We always suggest centrifuging these vials to consolidate all of the liquid away from the lid and to the bottom of the vial prior to opening. Please be advised that certain products may require dry ice for shipping and that, if this is the case, an additional dry ice fee may also be required.Precautions
All products in the AAA Biotech catalog are strictly for research-use only, and are absolutely not suitable for use in any sort of medical, therapeutic, prophylactic, in-vivo, or diagnostic capacity. By purchasing a product from AAA Biotech, you are explicitly certifying that said products will be properly tested and used in line with industry standard. AAA Biotech and its authorized distribution partners reserve the right to refuse to fulfill any order if we have any indication that a purchaser may be intending to use a product outside of our accepted criteria.Disclaimer
Though we do strive to guarantee the information represented in this datasheet, AAA Biotech cannot be held responsible for any oversights or imprecisions. AAA Biotech reserves the right to adjust any aspect of this datasheet at any time and without notice. It is the responsibility of the customer to inform AAA Biotech of any product performance issues observed or experienced within 30 days of receipt of said product. To see additional details on this or any of our other policies, please see our Terms & Conditions page.Item has been added to Shopping Cart
If you are ready to order, navigate to Shopping Cart and get ready to checkout.
