Loading...

Skip to main content
Call us at +1-800-604-9114 for more information about our products or contact us online Need help? +1-800-604-9114 or contact us

Filters


Clonality

Type

Reactivity

Gene Name

Isotype

Host

Application

Clone

Monoclonal Antibodies

Get accurate results in your research with our Monoclonal Antibodies, which are specially made to target exactly what you require for your research, and will produce consistent, reliable performance in lab tests.


Viewing 5650-5700 of 27645 product results


product-image-AAA141357_WB15.jpg WB (Western Blot) (Western Blot: Sample: Recombinant LCAT, Human.)

Lecithin Cholesterol Acyltransferase, Monoclonal Antibody (Cat# AAA141357)

No reviews yet
Full Name
Monoclonal Antibody to Lecithin Cholesterol Acyltransferase (LCAT)
Reactivity
Human
Applications
Immunohistochemistry, Immunocytochemistry, Western Blot
Purity
Affinity Chromatography
Pricing
product-image-AAA141267_IHC10.jpg IHC (Immunohistochemistry) (DAB staining on IHC-P Samples:Rat Pancreas Tissue.)

Alpha-2-Glycoprotein 1, Monoclonal Antibody (Cat# AAA141267)

No reviews yet
Full Name
Monoclonal Antibody to Alpha-2-Glycoprotein 1, Zinc Binding (aZGP1)
Gene Names
Azgp1; ZA2GA; Zna2gp
Reactivity
Rat
Applications
Immunohistochemistry, Immunocytochemistry, Western Blot
Purity
Affinity Chromatography
Pricing
product-image-AAA141312_IHC11.jpg IHC (Immunohistochemisry) (DAB staining on IHC-P;Samples: Rat Stomach TissuePrimary Ab: 20ug/ml Mouse Anti-Rat TFF2 AntibodySecond Ab: 2ug/mL HRP-Linked Caprine Anti-Mouse IgG Polyclonal Antibody)

Trefoil Factor 2, Monoclonal Antibody (Cat# AAA141312)

No reviews yet
Full Name
Monoclonal Antibody to Trefoil Factor 2 (TFF2)
Reactivity
Rat
Applications
Immunoprecipitation, Immunocytochemistry, Immunohistochemistry, Western Blot
Purity
Protein A + Protein G affinity chromatography
Pricing
product-image-AAA141327_WB15.jpg WB (Western Blot) (WB Image)

Defensin Alpha 5, Monoclonal Antibody (Cat# AAA141327)

No reviews yet
Full Name
Monoclonal Antibody to Defensin Alpha 5, Paneth Cell Specific (DEFa5)
Gene Names
DEFA5; DEF5; HD-5
Reactivity
Human
Applications
Immunohistochemistry, Immunocytochemistry, Western Blot
Purity
Affinity Chromatography
Pricing
product-image-AAA141338_WB15.jpg WB (Western Blot) (Figure. Western Blot: Sample: Recombinant IL6, Mouse.)

Interleukin 6, Monoclonal Antibody (Cat# AAA141338)

No reviews yet
Full Name
Monoclonal Antibody to Interleukin 6 (IL6)
Gene Names
Il6; ILg6; Ifnb2
Reactivity
Mouse
Applications
Immunocytochemistry, Immunoprecipitation, Immunohistochemistry, Western Blot
Purity
Protein A + Protein G affinity chromatography
Pricing
product-image-AAA141342_WB15.jpg WB (Western Blot) (Figure. Western Blot; Sample: Recombinant TSHb, Mouse.)

Thyroid Stimulating Hormone Beta, Monoclonal Antibody (Cat# AAA141342)

No reviews yet
Full Name
Monoclonal Antibody to Thyroid Stimulating Hormone Beta (TSHb)
Reactivity
Mouse, Rat
Applications
Immunoprecipitation, Immunocytochemistry, Immunohistochemistry, Western Blot
Purity
Purification: Protein A + Protein G affinity chromatography
Pricing
product-image-AAA141345_IHC13.jpg IHC (Immunohiostchemistry) (DAB staining on IHC-P; Samples: Rat Pancreas Tissue))

C-Peptide, Monoclonal Antibody (Cat# AAA141345)

No reviews yet
Full Name
Monoclonal Antibody to C-Peptide (CP)
Reactivity
Pig
Applications
Immunohistochemistry, Immunocytochemistry, Western Blot
Purity
Affinity Chromatography
Pricing
product-image-AAA141350_IHC11.jpg IHC (Immunohistochemisry) (DAB staining on IHC-P; Sample: Human Stomach Tissue; Primary Ab: 5ug/ml Mouse Anti-Human EGFR Antibody Second Ab: 2ug/mL HRP-Linked Caprine Anti-Mouse IgG Polyclonal Antibody)

Epidermal Growth Factor Receptor, Monoclonal Antibody (Cat# AAA141350)

No reviews yet
Full Name
Monoclonal Antibody to Epidermal Growth Factor Receptor (EGFR)
Gene Names
EGFR; ERBB; HER1; mENA; ERBB1; PIG61; NISBD2
Reactivity
Human
Applications
Immunoprecipitation, Immunocytochemistry, Immunohistochemistry, Western Blot
Purity
Protein A + Protein G affinity chromatography
Pricing
product-image-AAA150782_WB13.jpg WB (Western Blot) (Western Blot; Sample: Human HT1080 cell lysate; Primary Ab: 2ug/mL Mouse Anti-Human S100 Antibody Second Ab: 0.2ug/mL HRP-Linked Caprine Anti-Mouse IgG Polyclonal Antibody)

Calcium Binding Protein (S100), Monoclonal Antibody (Cat# AAA150782)

No reviews yet
Full Name
APC-Linked Monoclonal Antibody to S100 Calcium Binding Protein (S100)
Gene Names
S100A1; S100; S100A; S100-alpha
Reactivity
Human, Pig
Applications
Immunoprecipitation, Immunocytochemistry, Immunohistochemistry, Western Blot
Purity
Protein A + Protein G affinity chromatography
Pricing
product-image-AAA150798_WB10.jpg WB (Western Blot) (Western Blot; Sample: Rat Liver lysate; Primary Ab: 3ug/mL Mouse Anti-Multi-species Ub AntibodySecond Ab: 0.2ug/mL HRP-Linked Caprine Anti-Mouse IgG Polyclonal Antibody)

Ubiquitin (Ub), Monoclonal Antibody (Cat# AAA150798)

No reviews yet
Full Name
Biotin-Linked Monoclonal Antibody to Ubiquitin (Ub)
Reactivity
Human, Rat
Applications
Immunoprecipitation, Immunocytochemistry, Immunohistochemistry, Western Blot
Purity
Protein A + Protein G affinity chromatography
Pricing
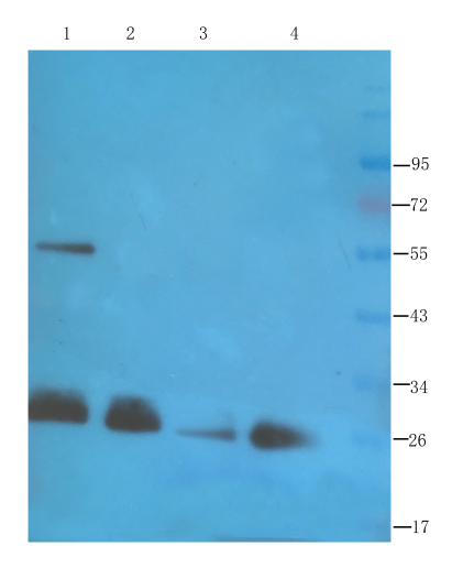
product-image-AAA150809_WB13.jpg WB (Western Blot) (Western Blot; Sample: Lane1: Human Skeletal muscle lysate; Lane2: Human MCF7 cell lysate; Primary Ab)

Insulin Like Growth Factor 1 Receptor (IGF1R), Monoclonal Antibody (Cat# AAA150809)

No reviews yet
Full Name
APC/Cy7-Linked Monoclonal Antibody to Insulin Like Growth Factor 1 Receptor (IGF1R)
Gene Names
IGF1R; IGFR; CD221; IGFIR; JTK13
Reactivity
Human, Pig
Applications
Immunoprecipitation, Immunocytochemistry, Immunohistochemistry, Western Blot
Purity
Protein A + Protein G affinity chromatography
Pricing
product-image-AAA150810_WB13.jpg WB (Western Blot) (Western Blot; Sample: Lane1: Human Skeletal muscle lysate; Lane2: Human MCF7 cell lysate; Primary Ab)

Insulin Like Growth Factor 1 Receptor (IGF1R), Monoclonal Antibody (Cat# AAA150810)

No reviews yet
Full Name
PE-Linked Monoclonal Antibody to Insulin Like Growth Factor 1 Receptor (IGF1R)
Gene Names
IGF1R; IGFR; CD221; IGFIR; JTK13
Reactivity
Human, Pig
Applications
Immunoprecipitation, Immunocytochemistry, Immunohistochemistry, Western Blot
Purity
Protein A + Protein G affinity chromatography
Pricing
product-image-AAA150813_WB13.jpg WB (Western Blot) (Western Blot; Sample: Lane1: Human Skeletal muscle lysate; Lane2: Human MCF7 cell lysate; Primary Ab)

Insulin Like Growth Factor 1 Receptor (IGF1R), Monoclonal Antibody (Cat# AAA150813)

No reviews yet
Full Name
Biotin-Linked Monoclonal Antibody to Insulin Like Growth Factor 1 Receptor (IGF1R)
Gene Names
IGF1R; IGFR; CD221; IGFIR; JTK13
Reactivity
Human, Pig
Applications
Immunoprecipitation, Immunocytochemistry, Immunohistochemistry, Western Blot
Purity
Protein A + Protein G affinity chromatography
Pricing
product-image-AAA146508_IHC13.jpg IHC (Immunohiostchemistry) (DAB staining on IHC-P;Samples: Human Cerebrum Tissue;Primary Ab: 20ug/ml Mouse Anti-Human AQP4 AntibodySecond Ab: 2ug/mL HRP-Linked Caprine Anti-Mouse IgG Polyclonal Antibody)

Aquaporin 4 (AQP4), Monoclonal Antibody (Cat# AAA146508)

No reviews yet
Full Name
Monoclonal Antibody to Aquaporin 4 (AQP4)
Gene Names
AQP4; MIWC; WCH4
Reactivity
Human, Rat
Applications
Immunoprecipitation, Immunocytochemistry, Immunohistochemistry, Western Blot
Purity
Protein A + Protein G affinity chromatography
Pricing
product-image-AAA146517_IHC8.jpg IHC (Immunohistochemistry) (DAB staining on IHC-P; Samples: Mouse Skeletal Muscle Tissue.)

Resistin (RETN), Monoclonal Antibody (Cat# AAA146517)

No reviews yet
Full Name
Monoclonal Antibody to Resistin (RETN)
Gene Names
Retn; ADSF; Rstn; Xcp4; Fizz3
Reactivity
Mouse
Applications
Immunoprecipitation, Immunocytochemistry, Immunohistochemistry, Western Blot
Purity
Protein A + Protein G affinity chromatography
Pricing
product-image-AAA146520_IHC13.jpg IHC (Immunohiostchemistry) (DAB staining on IHC-P; Sample: RatLung Tissue; Primary Ab: 30ug/mlMouse Anti-Human CC16 AntibodySecond Ab: 2ug/mL HRP-Linked Caprine Anti-Mouse IgG Polyclonal AntibodySecondary antibody only control: Used PBS instead of primary antibodySecond Ab: 2ug/mL HRP-Linked Capri)

Clara Cell Protein 16 (CC16), Monoclonal Antibody (Cat# AAA146520)

No reviews yet
Full Name
Monoclonal Antibody to Clara Cell Protein 16 (CC16)
Gene Names
SCGB1A1; UGB; UP1; CC10; CC16; CCSP; UP-1; CCPBP
Reactivity
Human
Applications
Immunohistochemistry, Western Blot
Purity
Protein A + Protein G affinity chromatography
Pricing
product-image-AAA146522_IHC10.jpg IHC (Immunohistochemistry) (DAB staining on IHC-P; Samples: Human Stomach Tissue.)

Cystatin 3 (CST3), Monoclonal Antibody (Cat# AAA146522)

No reviews yet
Full Name
Monoclonal Antibody to Cystatin 3 (CST3)
Gene Names
CST3; ARMD11; HEL-S-2
Reactivity
Human, Rat
Applications
Immunoprecipitation, Immunocytochemistry, Immunohistochemistry, Western Blot
Purity
Protein A + Protein G affinity chromatography
Pricing
product-image-AAA146524_IHC8.jpg IHC (Immunohistochemistry) (DAB staining on IHC-P; Samples: Human Glioma Tissue)

Cyclophilin A (CYPA), Monoclonal Antibody (Cat# AAA146524)

No reviews yet
Full Name
Monoclonal Antibody to Cyclophilin A (CYPA)
Gene Names
PPIA; CYPA; CYPH; HEL-S-69p
Reactivity
Human, Pig
Applications
Immunoprecipitation, Immunocytochemistry, Immunohistochemistry, Western Blot
Purity
Protein A + Protein G affinity chromatography
Pricing
product-image-AAA146525_IHC8.jpg IHC (Immunohistochemistry) (DAB staining on IHC-P; Samples: Human Stomach Cancer Tissue.)

Tryptase (TPS), Monoclonal Antibody (Cat# AAA146525)

No reviews yet
Full Name
Monoclonal Antibody to Tryptase (TPS)
Gene Names
TPSAB1; TPS1; TPS2; TPSB1
Reactivity
Human
Applications
Immunoprecipitation, Immunocytochemistry, Immunohistochemistry, Western Blot
Purity
Protein A + Protein G affinity chromatography
Pricing
product-image-AAA146532_IHC11.jpg IHC (Immunohistochemisry) (DAB staining on IHC-P; Samples: Human Kidney Tissue.)

Fibrinogen Beta (FGb), Monoclonal Antibody (Cat# AAA146532)

No reviews yet
Full Name
Monoclonal Antibody to Fibrinogen Beta (FGb)
Gene Names
FGB; HEL-S-78p
Reactivity
Human
Applications
Immunoprecipitation, Immunocytochemistry, Immunohistochemistry, Western Blot
Purity
Protein A + Protein G affinity chromatography
Pricing
product-image-AAA146542_IHC13.jpg IHC (Immunohiostchemistry) (DAB staining on IHC-P; Samples: Human Lung cancer Tissue; Primary Ab: 20ug/ml Mouse Anti-Human RNASE3 Antibody Second Ab: 2ug/mL HRP-Linked Caprine Anti-Mouse IgG Polyclonal Antibody)

Ribonuclease A3 (RNASE3), Monoclonal Antibody (Cat# AAA146542)

No reviews yet
Full Name
Monoclonal Antibody to Ribonuclease A3 (RNASE3)
Gene Names
RNASE3; ECP; RAF1; RNS3
Reactivity
Human
Applications
Western Blot
Purity
Protein A + Protein G affinity chromatography
Pricing
product-image-AAA146553_IHC10.jpg IHC (Immunohistochemistry) (DAB staining on IHC-P; Samples: Human Glioma Tissue))

Interleukin 33 (IL33), Monoclonal Antibody (Cat# AAA146553)

No reviews yet
Full Name
Monoclonal Antibody to Interleukin 33 (IL33)
Gene Names
IL33; DVS27; IL1F11; NF-HEV; NFEHEV; C9orf26
Reactivity
Human, Rat
Applications
Immunoprecipitation, Immunocytochemistry, Immunohistochemistry, Western Blot
Purity
Protein A + Protein G affinity chromatography
Pricing
product-image-AAA146560_WB13.jpg WB (Western Blot) (Western Blot: Sample: Recombinant RANk, Human.)

Receptor Activator Of Nuclear Factor Kappa B (RANk), Monoclonal Antibody (Cat# AAA146560)

No reviews yet
Full Name
Monoclonal Antibody to Receptor Activator Of Nuclear Factor Kappa B (RANk)
Gene Names
TNFRSF11A; FEO; OFE; ODFR; OSTS; PDB2; RANK; CD265; OPTB7; TRANCER; LOH18CR1
Reactivity
Human, Rat
Applications
Immunoprecipitation, Immunocytochemistry, Immunohistochemistry, Western Blot
Purity
Protein A + Protein G affinity chromatography
Pricing
product-image-AAA146567_IHC13.jpg IHC (Immunohiostchemistry) (DAB staining on IHC-P; Samples: Mouse Uterus Tissue))

Fibulin 1 (FBLN1), Monoclonal Antibody (Cat# AAA146567)

No reviews yet
Full Name
Monoclonal Antibody to Fibulin 1 (FBLN1)
Reactivity
Mouse, Rat
Applications
Immunoprecipitation, Immunocytochemistry, Immunohistochemistry, Western Blot
Purity
Protein A + Protein G affinity chromatography
Pricing
product-image-AAA146574_IHC8.jpg IHC (Immunohistochemistry) (DAB staining on IHC-P; Samples: Human Kidney Tissue)

Isocitrate Dehydrogenase 1, Soluble (IDH1), Monoclonal Antibody (Cat# AAA146574)

No reviews yet
Full Name
Monoclonal Antibody to Isocitrate Dehydrogenase 1, Soluble (IDH1)
Gene Names
IDH1; IDH; IDP; IDCD; IDPC; PICD; HEL-216; HEL-S-26
Reactivity
Human, Mouse, Rat, Pig
Applications
Immunoprecipitation, Immunocytochemistry, Immunohistochemistry, Western Blot
Purity
Protein A + Protein G affinity chromatography
Pricing
product-image-AAA146575_IHC8.jpg IHC (Immunohistochemistry) (DAB staining on IHC-P; Samples: Human Stomach Cancer Tissue)

Isocitrate Dehydrogenase 1, Soluble (IDH1), Monoclonal Antibody (Cat# AAA146575)

No reviews yet
Full Name
Monoclonal Antibody to Isocitrate Dehydrogenase 1, Soluble (IDH1)
Gene Names
IDH1; IDH; IDP; IDCD; IDPC; PICD; HEL-216; HEL-S-26
Reactivity
Human, Mouse, Rat, Pig
Applications
Immunoprecipitation, Immunocytochemistry, Immunohistochemistry, Western Blot
Purity
Protein A + Protein G affinity chromatography
Pricing
product-image-AAA146578_WB13.jpg WB (Western Blot) (Western Blot: Sample: Recombinant CSTB, Rat.)

Cystatin B (CSTB), Monoclonal Antibody (Cat# AAA146578)

No reviews yet
Full Name
Monoclonal Antibody to Cystatin B (CSTB)
Gene Names
Cstb; Cyb; Epm1; Stfb
Reactivity
Mouse, Rat
Applications
Immunoprecipitation, Immunocytochemistry, Immunohistochemistry, Western Blot
Purity
Protein A + Protein G affinity chromatography
Pricing

Interleukin 18 Binding Protein (IL18BP), Monoclonal Antibody (Cat# AAA146437)

No reviews yet
Full Name
HRP-Linked Monoclonal Antibody to Interleukin 18 Binding Protein (IL18BP)
Gene Names
IL18BP; IL18BPa
Applications
Immunocytochemistry, Immunohistochemistry, Western Blot
Purity
Protein A+G Affinity Chromatography.
Pricing
product-image-AAA146472_IHC13.jpg IHC (Immunohiostchemistry) (DAB staining on IHC-P;Sample: Porcine Cerebrum TissuePrimary Ab: 30ug/ml Mouse Anti-Multispecies BDNF AntibodyControl: Used PBS instead of primary antibodySecond Ab: 2ug/ml HRP-Linked Caprine Anti-Mouse IgG Polyclonal Antibody)

Brain Derived Neurotrophic Factor (BDNF), Monoclonal Antibody (Cat# AAA146472)

No reviews yet
Full Name
Monoclonal Antibody to Brain Derived Neurotrophic Factor (BDNF)
Reactivity
Human, Mouse, Rat, Rabbit, Pig, Goat, Horse, Chicken
Applications
Immunoprecipitation, Immunocytochemistry, Immunohistochemistry, Western Blot
Purity
Protein A + Protein G affinity chromatography
Pricing
product-image-AAA146478_IHC11.jpg IHC (Immunohistochemisry) (DAB staining on IHC-P; Samples: Human Glioma Tissue))

Interleukin 10 (IL10), Monoclonal Antibody (Cat# AAA146478)

No reviews yet
Full Name
Monoclonal Antibody to Interleukin 10 (IL10)
Gene Names
IL10; CSIF; TGIF; GVHDS; IL-10; IL10A
Reactivity
Human
Applications
Immunoprecipitation, Immunocytochemistry, Immunohistochemistry, Western Blot
Purity
Protein A + Protein G affinity chromatography
Pricing
product-image-AAA146481_IHC8.jpg IHC (Immunohistochemistry) (DAB staining on IHC-P; Samples: Human Kidney Tissue)

Interleukin 12A (IL12A), Monoclonal Antibody (Cat# AAA146481)

No reviews yet
Full Name
Monoclonal Antibody to Interleukin 12A (IL12A)
Gene Names
IL12A; P35; CLMF; NFSK; NKSF1; IL-12A
Reactivity
Human, Mouse
Applications
Immunoprecipitation, Immunocytochemistry, Immunohistochemistry, Western Blot
Purity
Protein A + Protein G affinity chromatography
Pricing
product-image-AAA146488_IHC10.jpg IHC (Immunohistochemistry) (DAB staining on IHC-P; Samples: Human Stomach Tissue))

Pepsinogen A (PGA), Monoclonal Antibody (Cat# AAA146488)

No reviews yet
Full Name
Monoclonal Antibody to Pepsinogen A (PGA)
Gene Names
PGA5; Pg5
Reactivity
Human, Pig
Applications
Immunoprecipitation, Immunocytochemistry, Immunohistochemistry, Western Blot
Purity
Protein A + Protein G affinity chromatography
Pricing
product-image-AAA146498_IHC8.png IHC (Immunohistochemistry) (DAB staining on IHC-P Samples:Human Kidney Tissue))

Apolipoprotein A1 (APOA1), Monoclonal Antibody (Cat# AAA146498)

No reviews yet
Full Name
Monoclonal Antibody to Apolipoprotein A1 (APOA1)
Gene Names
APOA1; apo(a)
Reactivity
Human
Applications
Immunoprecipitation, Immunocytochemistry, Immunohistochemistry, Western Blot
Purity
Protein A + Protein G affinity chromatography
Pricing

Peptidase Inhibitor 3, Skin Derived (PI3), Monoclonal Antibody (Cat# AAA146352)

No reviews yet
Full Name
FITC-Linked Monoclonal Antibody to Peptidase Inhibitor 3, Skin Derived (PI3)
Gene Names
PI3; ESI; WAP3; SKALP; WFDC14; cementoin
Reactivity
Human, Pig
Applications
Immunofluorescence, Immunocytochemistry, Immunohistochemistry, Western Blot
Purity
Protein A + Protein G Affinity Chromatography.
Pricing

Vinculin (VCL), Monoclonal Antibody (Cat# AAA146306)

No reviews yet
Full Name
Cy3-Linked Monoclonal Antibody to Vinculin (VCL)
Gene Names
VCL; MV; MVCL; CMD1W; CMH15; HEL114
Reactivity
Human, Rat, Pig
Applications
Immunocytochemistry, Immunohistochemistry, Western Blot
Purity
Protein A/G Affinity Chromatography
Pricing

Cross Linked N-Telopeptide Of Type I Collagen (NTXI), Monoclonal Antibody (Cat# AAA146123)

No reviews yet
Full Name
FITC-Linked Monoclonal Antibody to Cross Linked N-Telopeptide Of Type I Collagen (NTXI)
Reactivity
Human
Applications
Immunofluorescence, Immunocytochemistry, Immunohistochemistry
Purity
Protein A/G Affinity Chromatography
Pricing

Receptor Activator Of Nuclear Factor Kappa B Ligand (RANkL), Monoclonal Antibody (Cat# AAA146159)

No reviews yet
Full Name
APC-Linked Monoclonal Antibody to Receptor Activator Of Nuclear Factor Kappa B Ligand (RANkL)
Gene Names
TNFSF11; ODF; OPGL; sOdf; CD254; OPTB2; RANKL; TNLG6B; TRANCE; hRANKL2
Reactivity
Rat
Applications
Immunofluorescence, Immunocytochemistry, Immunohistochemistry, Western Blot
Purity
Protein A/G Affinity Chromatography
Pricing

Nephrin (NPHN), Monoclonal Antibody (Cat# AAA146185)

No reviews yet
Full Name
HRP-Linked Monoclonal Antibody to Nephrin (NPHN)
Gene Names
NPHS1; CNF; NPHN; nephrin
Reactivity
Rat
Applications
Immunofluorescence, Immunohistochemistry, Immunocytochemistry, Western Blot
Purity
Protein A + Protein G Affinity Chromatography.
Pricing

Procollagen I N-Terminal Propeptide (PINP), Monoclonal Antibody (Cat# AAA146189)

No reviews yet
Full Name
FITC-Linked Monoclonal Antibody to Procollagen I N-Terminal Propeptide (PINP)
Reactivity
Human, Rat
Applications
Immunofluorescence, Immunohistochemistry, Immunocytochemistry, Western Blot
Purity
Protein A + Protein G Affinity Chromatography.
Pricing
product-image-AAA151588_IHC10.jpg IHC (Immunohistochemistry) (DAB staining on IHCP;Sample: Human Lung cancer Tissue; Primary Ab: 20ug/ml Mouse AntiHuman CASP9 AntibodySecond Ab: 2ug/mL HRPLinked Caprine AntiMouse IgG Polyclonal Antibody(Catalog: SAA544Mu19))

Caspase 9 (CASP9), Monoclonal Antibody (Cat# AAA151588)

No reviews yet
Full Name
Monoclonal Antibody to Caspase 9 (CASP9)
Gene Names
CASP9; MCH6; APAF3; APAF-3; PPP1R56; ICE-LAP6
Reactivity
Human
Applications
Immunoprecipitation, Immunocytochemistry, Immunohistochemistry, Western Blot
Purity
Protein A + Protein G affinity chromatography
Pricing
product-image-AAA151592_IHC13.jpg IHC (Immunohiostchemistry) (DAB staining on IHCP;Sample: Human Prostate Tissue; Primary Ab: 30ug/ml Mouse AntiHuman NTXI AntibodySecond Ab: 2ug/mL HRPLinked Caprine AntiMouse IgG Polyclonal Antibody(Catalog: SAA544Mu19))

Cross Linked NTelopeptide Of Type I Collagen (NTXI), Monoclonal Antibody (Cat# AAA151592)

No reviews yet
Full Name
Monoclonal Antibody to Cross Linked NTelopeptide Of Type I Collagen (NTXI)
Reactivity
Human
Applications
Immunoprecipitation, Immunocytochemistry, Immunohistochemistry, Western Blot
Purity
Protein A + Protein G affinity chromatography
Pricing
product-image-AAA151604_WB13.jpg WB (Western Blot) (Western Blot; Sample: Porcine Liver lysatePrimary Ab: 5ug/ml Mouse AntiHuman PCT AntibodySecond Ab: 0.2ug/mL HRPLinked Caprine AntiMouse IgG Polyclonal Antibody(Catalog: SAA544Mu19))

Procalcitonin (PCT), Monoclonal Antibody (Cat# AAA151604)

No reviews yet
Full Name
Monoclonal Antibody to Procalcitonin (PCT)
Gene Names
CALCA; CT; KC; CGRP; CALC1; CGRP1; CGRP-I
Reactivity
Human, Pig
Applications
Immunoprecipitation, Immunocytochemistry, Immunohistochemistry, Western Blot
Purity
Protein A + Protein G affinity chromatography
Pricing
product-image-AAA151629_WB10.jpg WB (Western Blot) (Western Blot; Sample: Rat Heart lysatePrimary Ab: 3ug/ml Mouse AntiHuman Hpt AntibodySecond Ab: 0.2ug/mL HRPLinked Caprine AntiMouse IgG Polyclonal Antibody(Catalog: SAA544Mu19))

Haptoglobin (Hpt), Monoclonal Antibody (Cat# AAA151629)

No reviews yet
Full Name
Monoclonal Antibody to Haptoglobin (Hpt)
Gene Names
HP; BP; HPA1S; HP2ALPHA2
Reactivity
Human, Rat
Applications
Immunoprecipitation, Immunocytochemistry, Immunohistochemistry, Western Blot
Purity
Protein A + Protein G affinity chromatography
Pricing
product-image-AAA151648_IHC11.jpg IHC (Immunohistochemisry) (DAB staining on IHCP;Samples: Rat Stomach Tissue; Primary Ab: 30ug/ml Mouse AntiRat PPARg AntibodySecond Ab: 2ug/mL HRPLinked Caprine AntiMouse IgG Polyclonal Antibody(Catalog: SAA544Mu19))

Peroxisome Proliferator Activated Receptor Gamma (PPARg), Monoclonal Antibody (Cat# AAA151648)

No reviews yet
Full Name
Monoclonal Antibody to Peroxisome Proliferator Activated Receptor Gamma (PPARg)
Reactivity
Rat
Applications
Immunoprecipitation, Immunocytochemistry, Immunohistochemistry, Western Blot
Purity
Protein A + Protein G affinity chromatography
Pricing
product-image-AAA151454_WB11.jpg WB (Western Blot) (Western Blot; Sample: Rat Cerebrum lysate; Primary Ab: 2ug/ml Mouse AntiMouse GFAP Antibody Second Ab: 0.2ug/mL HRPLinked Caprine AntiMouse IgG Polyclonal Antibody (Catalog: SAA544Mu19))

Glial Fibrillary Acidic Protein (GFAP), Monoclonal Antibody (Cat# AAA151454)

No reviews yet
Full Name
Monoclonal Antibody to Glial Fibrillary Acidic Protein (GFAP)
Gene Names
Gfap; AI836096
Reactivity
Mouse, Rat
Applications
Immunoprecipitation, Immunocytochemistry, Immunohistochemistry, Western Blot
Purity
Protein A + Protein G affinity chromatography
Pricing
product-image-AAA151462_IHC10.jpg IHC (Immunohistochemistry) (DAB staining on IHCP;Sample: Human Spleen Tissue; Primary Ab: 30ug/ml Mouse AntiHuman IL6 AntibodySecond Ab: 2ug/mL HRPLinked Caprine AntiMouse IgG Polyclonal Antibody(Catalog: SAA544Mu19))

Interleukin 6 (IL6), Monoclonal Antibody (Cat# AAA151462)

No reviews yet
Full Name
Monoclonal Antibody to Interleukin 6 (IL6)
Gene Names
IL6; HGF; HSF; BSF2; IL-6; IFNB2
Reactivity
Human, Pig
Applications
Immunoprecipitation, Immunocytochemistry, Immunohistochemistry, Western Blot
Purity
Protein A + Protein G affinity chromatography
Pricing
product-image-AAA151464_IHC13.jpg IHC (Immunohiostchemistry) (DAB staining on IHCP;Sample: Human Spleen Tissue; Primary Ab: 30ug/ml Mouse AntiHuman IL6 AntibodySecond Ab: 2ug/mL HRPLinked Caprine AntiMouse IgG Polyclonal Antibody(Catalog: SAA544Mu19))

Interleukin 6 (IL6), Monoclonal Antibody (Cat# AAA151464)

No reviews yet
Full Name
Monoclonal Antibody to Interleukin 6 (IL6)
Gene Names
IL6; HGF; HSF; BSF2; IL-6; IFNB2
Reactivity
Human, Pig
Applications
Immunoprecipitation, Immunocytochemistry, Immunohistochemistry, Western Blot
Purity
Protein A + Protein G affinity chromatography
Pricing
product-image-AAA151486_IHC8.jpg IHC (Immunohistochemistry) (DAB staining on IHCP;Sample: Human Liver Tissue; Primary Ab: 30ug/ml Mouse AntiHuman SDF1 AntibodySecond Ab: 2ug/mL HRPLinked Caprine AntiMouse IgG Polyclonal Antibody(Catalog: SAA544Mu19))

Stromal Cell Derived Factor 1 (SDF1), Monoclonal Antibody (Cat# AAA151486)

No reviews yet
Full Name
Monoclonal Antibody to Stromal Cell Derived Factor 1 (SDF1)
Gene Names
CXCL12; IRH; PBSF; SDF1; TLSF; TPAR1; SCYB12
Reactivity
Human
Applications
Immunoprecipitation, Immunocytochemistry, Immunohistochemistry, Western Blot
Purity
Protein A + Protein G affinity chromatography
Pricing
product-image-AAA151503_WB13.jpg WB (Western Blot) (Western Blot; Sample: Human Urine Primary Ab: 3ug/ml Mouse AntiHuman PGA Antibody Second Ab: 0.2ug/mL HRPLinked Caprine AntiMouse IgG Polyclonal Antibody (Catalog: SAA544Mu19))

Pepsinogen A (PGA), Monoclonal Antibody (Cat# AAA151503)

No reviews yet
Full Name
Monoclonal Antibody to Pepsinogen A (PGA)
Gene Names
PGA5; Pg5
Reactivity
Human
Applications
Immunoprecipitation, Immunocytochemistry, Immunohistochemistry, Western Blot
Purity
Protein A + Protein G affinity chromatography
Pricing
product-image-AAA151123_IHC13.jpg IHC (Immunohiostchemistry) (DAB staining on IHC-P;Samples: Human Liver Tissue;Primary Ab: 30ug/ml Mouse Anti-Human RBP4 AntibodySecond Ab: 2ug/mL HRP-Linked Caprine Anti-Mouse IgG Polyclonal Antibody)

Retinol Binding Protein 4 (RBP4), Monoclonal Antibody (Cat# AAA151123)

No reviews yet
Full Name
Monoclonal Antibody to Retinol Binding Protein 4 (RBP4)
Gene Names
RBP4; RDCCAS
Reactivity
Human, Pig
Applications
Immunoprecipitation, Immunocytochemistry, Immunohistochemistry, Western Blot
Purity
Protein A + Protein G affinity chromatography
Pricing

What are Monoclonal Antibodies?


Monoclonal antibodies are specialized laboratory-produced proteins developed for binding to specific biological antigens or other molecular targets. Since they come from a single cell (or clone), they are especially consistent and accurate in the data they are involved in producing.


This type of antibody material has been shown to be a powerful tool in finding and subsequently destroying harmful cells in an organism, such as those found in cancers or various autoimmune diseases. This makes them excellent aids in medical testing and research, which is why they are so widely used.


AAA Biotech offers a comprehensive range of high-quality monoclonal antibodies that perform effectively in various laboratory tests, including (amongst others) ELISA, western blotting, immunohistochemistry, and flow cytometry. All of the products in our catalog are thoroughly quality tested to make sure that they are reliable and will consistently perform well in your research.


What Are The Uses of Monoclonal Antibodies


Monoclonal antibodies are used in many lab tests, including (amongst others) ELISA, western blotting, immunohistochemistry, and flow cytometry.


ELISA is a test that helps detect a specific substance/analyte in a sample. It uses antibodies (often monoclonal) bound to a solid surface (such as the well of a microplate) to “capture” the substance/analyte in the sample and immobilize it so that the detection antibody component can then bind to it and produce a signal, which can then be measured.


Western blotting identifies specific proteins in a sample. The sample is first separated on a gel, and then antibodies are applied that will typically bind to the target, which will all be localized to a single band in a lane.


Immunohistochemistry helps locate specific proteins in cells or tissue samples using antibodies.


Flow cytometry looks at and sorts cells. It uses antibodies that are conjugated to reporter molecules called “fluorophores”, which, under special lights, emit light themselves, which can then be measured by a detector instrument. For a deeper understanding of these techniques, explore our complete guide to monoclonal antibodies and their benefits.


How Monoclonal Antibodies Are Used as Medicine?


Please note that all of the products listed in AAA Biotech’s also known as AAA Bio or AAABio catalog are strictly for research-use only (RUO).


Monoclonal antibodies can also be used as therapeutic/medical treatments, particularly in the context of cancers. They are designed to find and bind to specific cells or proteins, helping the immune system recognize and attack the cancer. These treatments work in different ways, such as:


  • Radioimmunotherapy attaches a small amount of radioactive molecule to the antibody, so it delivers the radiation directly to the cancer cells that the antibody is specifically binding to.

  • Antibody-directed enzyme prodrug therapy uses antibodies that are specifically bound to special enzymes. These enzymes activate a harmless drug in the body and turn it into a cancer-killing drug only near the cancer cells—this helps avoid harming healthy cells.

  • Immunoliposomes are tiny “bubbles” filled with medicine/drug and coated with antibodies. They carry the drug straight to the cancer cells.


Why Buy Monoclonal Antibodies From Us?


At AAA Biotech, we provide high-performance monoclonal antibodies designed to support a wide range of research needs.


1. Validated for Versatile Applications


The antibodies in our catalog are extensively validated and compatible with multiple techniques, including (but not limited to) ELISA, flow cytometry (FC), immunocytochemistry (ICC), immunofluorescence (IF), immunohistochemistry (IHC), immunoprecipitation (IP), and western blotting (WB).


2. Wide Selection & Specialized Options


We offer antibodies for common and rare species, that are available in various conjugated forms, and also in recombinant formats. Essentially, there is almost anything one might need to meet their experimental model’s requirements.


3. High-Quality Proteins


Our proteins meet high purity standards—90% or more as confirmed by SDS-PAGE. Many are available with tags like His, Flag, GST, or MBP, and we also supply native and biologically active proteins for functional studies.


Frequently Asked Questions


1. Are your monoclonal antibodies validated for specific applications?


Yes, our antibodies are tested and validated for use in methods such as ELISA, western blot, IHC, flow cytometry, and more. Refer to specific product pages or datasheets for individual product information.


2. How do I choose the right monoclonal antibody for my application?


Review the product details directly for application validation, species reactivity, and target information. You may also contact our support team at any time for help.


3. How quickly can I receive my order?


Most orders are processed and shipped within 1–3 business days, depending on product availability and your shipping location.


Submit a Question

Please complete the form below and a representative will contact you as soon as possible.

Request more Information

Please complete the form below and a representative will contact you as soon as possible.

Request a Manual

Please complete the form below and a representative will contact you as soon as possible.

Request a Quote

Please complete the form below and a representative will contact you as soon as possible.