Loading...

Skip to main content
Call us at +1-800-604-9114 for more information about our products or contact us online Need help? +1-800-604-9114 or contact us

Filters


Clonality

Type

Reactivity

Gene Name

Isotype

Host

Application

Clone

Monoclonal Antibodies

Get accurate results in your research with our Monoclonal Antibodies, which are specially made to target exactly what you require for your research, and will produce consistent, reliable performance in lab tests.


Viewing 5900-5950 of 27645 product results


product-image-AAA107006_IHC11.jpg IHC (Immunohistochemisry) (Immunohistochemical analysis of NAPEPLD protein in paraffin embedded Human endometrium tissue using NAPEPLD antibody)

NAPEPLD, Monoclonal Antibody (Cat# AAA107006)

No reviews yet
Full Name
NAPEPLD antibody
Gene Names
NAPEPLD; FMP30; NAPE-PLD
Applications
Western Blot, Immunohistochemistry, Flow Cytometry
Purity
NAPEPLD antibody was purified by affinity chromatography.
Pricing
product-image-AAA107007_WB13.jpg WB (Western Blot) (Western Blot analysis of HEK293T cell lysates (5 ug) transfected with either recombinant SLFNL1 protein (Right) or empty vector (Left) detected with SLFNL1 antibody)

SLFNL1, Monoclonal Antibody (Cat# AAA107007)

No reviews yet
Full Name
SLFNL1 antibody
Applications
Western Blot, Immunohistochemistry
Purity
SLFNL1 antibody was purified by affinity chromatography.
Pricing

Hygromycin, Monoclonal Antibody (Cat# AAA107027)

No reviews yet
Full Name
Hygromycin antibody
Applications
Lateral Flow
Purity
> 95% pure
Pricing
product-image-AAA107029_IF11.jpg IF (Immunofluorescence) (Immunofluorescent staining of COS7 cells transiently transfected with recombinant SQSTM1 protein using SQSTM1 antibody)

SQSTM1, Monoclonal Antibody (Cat# AAA107029)

No reviews yet
Full Name
SQSTM1 antibody
Gene Names
SQSTM1; p60; p62; A170; OSIL; PDB3; ZIP3; p62B; FTDALS3
Applications
Western Blot, Immunofluorescence, Flow Cytometry
Purity
SQSTM1 antibody was purified by affinity chromatography.
Pricing
product-image-AAA106622_WB13.jpg WB (Western Blot) (Western Blot analysis of HEK293T cell lysates (5 ug) transfected with either recombinant STK39 protein (Right) or empty vector (Left) detected with STK39 antibody)

STK39, Monoclonal Antibody (Cat# AAA106622)

No reviews yet
Full Name
STK39 antibody
Applications
Western Blot, Immunohistochemistry
Purity
STK39 antibody was purified by affinity chromatography.
Pricing
product-image-AAA106630_IF13.jpg IF (Immunofluorescence) (Immunofluorescent staining of COS7 cells transiently transfected with recombinant IGF2BP2 protein using IGF2BP2 antibody)

IGF2BP2, Monoclonal Antibody (Cat# AAA106630)

No reviews yet
Full Name
IGF2BP2 antibody
Gene Names
TACC3; ERIC1; ERIC-1
Applications
Western Blot, Immunofluorescence, Flow Cytometry
Purity
IGF2BP2 antibody was purified by affinity chromatography.
Pricing
product-image-AAA106638_IF11.jpg IF (Immunofluorescence) (Immunofluorescent staining of endogenous SLC2A5 protein in HT29 cells using SLC2A5 antibody)

SLC2A5, Monoclonal Antibody (Cat# AAA106638)

No reviews yet
Full Name
SLC2A5 antibody
Applications
Western Blot, Immunofluorescence, Flow Cytometry
Purity
SLC2A5 antibody was purified by affinity chromatography.
Pricing
product-image-AAA106662_WB13.jpg WB (Western Blot) (Western Blot analysis of HEK293T cell lysates (5 ug) transfected with either recombinant PYCR2 protein (Right) or empty vector (Left) detected with PYCR2 antibody)

PYCR2, Monoclonal Antibody (Cat# AAA106662)

No reviews yet
Full Name
PYCR2 antibody
Gene Names
PYCR2; HLD10; P5CR2
Applications
Western Blot, Immunofluorescence
Purity
PYCR2 antibody was purified by affinity chromatography.
Pricing
product-image-AAA106677_FCM13.jpg FCM/FACS (Flow Cytometry) (Flow Cytometric analysis using CD95 antibodyStaining of BALB/c thymocytes with 1 ug of Mouse IgG1 kappa Isotype Control (PE) (blue histogram) or 1 ug of CD95 antibody (PE) (purple histogram). Total viable cells were used for analysis.)

CD95, Monoclonal Antibody (Cat# AAA106677)

No reviews yet
Full Name
CD95 antibody (PE)
Gene Names
FAS; APT1; CD95; FAS1; APO-1; FASTM; ALPS1A; TNFRSF6
Applications
Flow Cytometry
Pricing
product-image-AAA106878_IF11.jpg IF (Immunofluorescence) (Immunofluorescent staining of COS7 cells transiently transfected with recombinant PDE4A protein using PDE4A antibody)

PDE4A, Monoclonal Antibody (Cat# AAA106878)

No reviews yet
Full Name
PDE4A antibody
Gene Names
PDE4A; PDE4; DPDE2; PDE46
Applications
Immunohistochemistry, Immunofluorescence, Flow Cytometry
Purity
PDE4A antibody was purified by affinity chromatography.
Pricing
product-image-AAA106886_WB15.jpg WB (Western Blot) (Western Blot analysis of HEK293T cell lysates (5 ug) transfected with either recombinant PVRL1 protein (Right) or empty vector (Left) detected with PVRL1 antibody)

PVRL1, Monoclonal Antibody (Cat# AAA106886)

No reviews yet
Full Name
PVRL1 antibody
Gene Names
PVRL1; ED4; PRR; HIgR; HV1S; HVEC; OFC7; PRR1; PVRR; CD111; PVRR1; SK-12; CLPED1; nectin-1
Applications
Western Blot
Purity
PVRL1 antibody was purified by affinity chromatography.
Pricing
product-image-AAA106888_WB15.jpg WB (Western Blot) (Western Blot analysis of HEK293T cell lysates (5 ug) transfected with either recombinant METTL21A protein (Right) or empty vector (Left) detected with METTL21A antibody)

METTL21A, Monoclonal Antibody (Cat# AAA106888)

No reviews yet
Full Name
METTL21A antibody
Gene Names
METTL21A; FAM119A; HCA557b; HSPA-KMT
Applications
Western Blot
Purity
METTL21A antibody was purified by affinity chromatography.
Pricing
product-image-AAA106899_IF11.jpg IF (Immunofluorescence) (Immunofluorescent staining of COS7 cells transiently transfected with recombinant LOX protein using LOX antibody)

LOX, Monoclonal Antibody (Cat# AAA106899)

No reviews yet
Full Name
LOX antibody
Applications
Western Blot, Immunohistochemistry, Immunofluorescence, Flow Cytometry
Purity
LOX antibody was purified by affinity chromatography.
Pricing
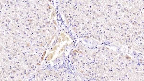
product-image-AAA106907_IHC11.jpg IHC (Immunohistochemisry) (Immunohistochemical analysis of MIER2 protein in paraffin embedded Carcinoma of Human liver tissue using MIER2 antibody)

MIER2, Monoclonal Antibody (Cat# AAA106907)

No reviews yet
Full Name
MIER2 antibody
Applications
Western Blot, Immunohistochemistry, Immunofluorescence
Purity
MIER2 antibody was purified by affinity chromatography.
Pricing
product-image-AAA106908_WB13.jpg WB (Western Blot) (Western Blot analysis of HEK293T cell lysates (5 ug) transfected with either recombinant PDLIM2 protein (Right) or empty vector (Left) detected with PDLIM2 antibody)

PDLIM2, Monoclonal Antibody (Cat# AAA106908)

No reviews yet
Full Name
PDLIM2 antibody
Gene Names
PDLIM2; SLIM; MYSTIQUE
Applications
Western Blot, Flow Cytometry
Purity
PDLIM2 antibody was purified by affinity chromatography.
Pricing
product-image-AAA106919_IF11.jpg IF (Immunofluorescence) (Immunofluorescent staining of COS7 cells transiently transfected with recombinant PDE4A protein using PDE4A antibody)

PDE4A, Monoclonal Antibody (Cat# AAA106919)

No reviews yet
Full Name
PDE4A antibody
Gene Names
PDE4A; PDE4; DPDE2; PDE46
Applications
Immunohistochemistry, Immunofluorescence, Flow Cytometry
Purity
PDE4A antibody was purified by affinity chromatography.
Pricing
product-image-AAA106925_WB13.jpg WB (Western Blot) (Western Blot analysis of HEK293T cell lysates (5 ug) transfected with either recombinant PSMD3 protein (Right) or empty vector (Left) detected with PSMD3 antibody)

PSMD3, Monoclonal Antibody (Cat# AAA106925)

No reviews yet
Full Name
PSMD3 antibody
Gene Names
PSMD3; S3; P58; RPN3; TSTA2
Applications
Western Blot, Flow Cytometry
Purity
PSMD3 antibody was purified by affinity chromatography.
Pricing
product-image-AAA106927_IF10.jpg IF (Immunofluorescence) (Immunofluorescent staining of COS7 cells transiently transfected with recombinant RUVBL2 protein using RUVBL2 antibody)

RUVBL2, Monoclonal Antibody (Cat# AAA106927)

No reviews yet
Full Name
RUVBL2 antibody
Gene Names
RUVBL2; RVB2; TIH2; ECP51; TIP48; CGI-46; INO80J; REPTIN; TIP49B
Applications
Western Blot, Immunohistochemistry, Flow Cytometry, Immunofluorescence
Purity
RUVBL2 antibody was purified by affinity chromatography.
Pricing
product-image-AAA106523_IHC13.jpg IHC (Immunohiostchemistry) (Immunohistochemical analysis of ALDH1L1 protein in paraffin embedded Carcinoma of Human kidney tissue using ALDH1L1 antibody)

ALDH1L1, Monoclonal Antibody (Cat# AAA106523)

No reviews yet
Full Name
ALDH1L1 antibody
Gene Names
ALDH1L1; FDH; FTHFD; 10-fTHF; 10-FTHFDH
Applications
Western Blot, Immunohistochemistry, Immunofluorescence
Purity
ALDH1L1 antibody was purified by affinity chromatography.
Pricing
product-image-AAA106532_IF11.jpg IF (Immunofluorescence) (Immunofluorescent staining of COS7 cells transiently transfected with recombinant ALDH3A1 protein using ALDH3A1 antibody)

ALDH3A1, Monoclonal Antibody (Cat# AAA106532)

No reviews yet
Full Name
ALDH3A1 antibody
Gene Names
ALDH3A1; ALDH3; ALDHIII
Applications
Western Blot, Immunohistochemistry, Immunofluorescence, Flow Cytometry
Purity
ALDH3A1 antibody was purified by affinity chromatography.
Pricing
product-image-AAA106538_IHC13.jpg IHC (Immunohiostchemistry) (Immunohistochemical analysis of CRYAB protein in paraffin embedded Adenocarcinoma of Human colon tissue using CRYAB antibody)

CRYAB, Monoclonal Antibody (Cat# AAA106538)

No reviews yet
Full Name
CRYAB antibody
Applications
Western Blot, Immunohistochemistry, Flow Cytometry
Purity
CRYAB antibody was purified by affinity chromatography.
Pricing
product-image-AAA106541_IF13.jpg IF (Immunofluorescence) (Immunofluorescent staining of COS7 cells transiently transfected with recombinant HDAC6 protein using HDAC6 antibody)

HDAC6, Monoclonal Antibody (Cat# AAA106541)

No reviews yet
Full Name
HDAC6 antibody
Gene Names
HDAC6; HD6; JM21; CPBHM; PPP1R90
Applications
Western Blot, Immunofluorescence, Flow Cytometry
Purity
HDAC6 antibody was purified by affinity chromatography.
Pricing
product-image-AAA106555_IHC13.jpg IHC (Immunohiostchemistry) (Immunohistochemical analysis of paraffin-embedded human lung cancer (left) and gastric cancer (right) using PAK2 antibody with DAB staining.)

PAK2, Monoclonal Antibody (Cat# AAA106555)

No reviews yet
Full Name
PAK2 antibody
Applications
Western Blot, Immunohistochemistry, Immunofluorescence
Pricing
product-image-AAA106576_IF11.jpg IF (Immunofluorescence) (Immunofluorescent staining of endogenous TUBB4 protein in Hela cells using TUBB4 antibody)

TUBB4, Monoclonal Antibody (Cat# AAA106576)

No reviews yet
Full Name
TUBB4 antibody
Gene Names
TUBB4A; DYT4; TUBB4; beta-5
Applications
Western Blot, Immunohistochemistry, Immunofluorescence, Flow Cytometry
Purity
TUBB4 antibody was purified by affinity chromatography.
Pricing
product-image-AAA106578_WB13.jpg WB (Western Blot) (Western Blot analysis of HEK293T cell lysates (5 ug) transfected with either recombinant MTRF1L protein (Right) or empty vector (Left) detected with MTRF1L antibody)

MTRF1L, Monoclonal Antibody (Cat# AAA106578)

No reviews yet
Full Name
MTRF1L antibody
Gene Names
MTRF1L; MRF1L; HMRF1L; mtRF1a
Applications
Western Blot, Immunofluorescence
Purity
MTRF1L antibody was purified by affinity chromatography.
Pricing
product-image-AAA106580_IF11.jpg IF (Immunofluorescence) (Immunofluorescent staining of COS7 cells transiently transfected with recombinant TTLL12 protein using TTLL12 antibody)

TTLL12, Monoclonal Antibody (Cat# AAA106580)

No reviews yet
Full Name
TTLL12 antibody
Gene Names
TTLL12; dJ526I14.2
Applications
Western Blot, Immunohistochemistry, Immunofluorescence, Flow Cytometry
Purity
TTLL12 antibody was purified by affinity chromatography.
Pricing
product-image-AAA107031_IF13.jpg IF (Immunofluorescence) (Immunofluorescent staining of COS7 cells transiently transfected with recombinant SLC7A8 protein using SLC7A8 antibody)

SLC7A8, Monoclonal Antibody (Cat# AAA107031)

No reviews yet
Full Name
SLC7A8 antibody
Gene Names
SLC7A8; LAT2; LPI-PC1
Applications
Immunofluorescence, Flow Cytometry
Purity
SLC7A8 antibody was purified by affinity chromatography.
Pricing
product-image-AAA107036_IF11.jpg IF (Immunofluorescence) (Immunofluorescent staining of COS7 cells transiently transfected with recombinant SulT1A1 protein using SulT1A1 antibody)

SulT1A1, Monoclonal Antibody (Cat# AAA107036)

No reviews yet
Full Name
SulT1A1 antibody
Gene Names
SULT1A1; PST; STP; STP1; P-PST; ST1A1; ST1A3; TSPST1; HAST1/HAST2
Applications
Western Blot, Immunofluorescence, Flow Cytometry
Purity
SulT1A1 antibody was purified by affinity chromatography.
Pricing
product-image-AAA107041_IF13.jpg IF (Immunofluorescence) (Immunofluorescent staining of COS7 cells transiently transfected with recombinant KHK protein using KHK antibody)

KHK, Monoclonal Antibody (Cat# AAA107041)

No reviews yet
Full Name
KHK antibody
Applications
Western Blot, Immunofluorescence, Flow Cytometry
Purity
KHK antibody was purified by affinity chromatography.
Pricing
product-image-AAA107048_WB13.jpg WB (Western Blot) (Western Blot analysis of HEK293T cell lysates (5 ug) transfected with either recombinant PACSIN3 protein (Right) or empty vector (Left) detected with PACSIN3 antibody)

PACSIN3, Monoclonal Antibody (Cat# AAA107048)

No reviews yet
Full Name
PACSIN3 antibody
Gene Names
PACSIN3; SDPIII
Applications
Western Blot, Flow Cytometry
Purity
PACSIN3 antibody was purified by affinity chromatography.
Pricing
product-image-AAA107057_IF11.jpg IF (Immunofluorescence) (Immunofluorescent staining of COS7 cells transiently transfected with recombinant TUBAL3 protein using TUBAL3 antibody)

TUBAL3, Monoclonal Antibody (Cat# AAA107057)

No reviews yet
Full Name
TUBAL3 antibody
Applications
Western Blot, Immunohistochemistry, Immunofluorescence, Flow Cytometry
Purity
TUBAL3 antibody was purified by affinity chromatography.
Pricing
product-image-AAA107068_WB13.jpg WB (Western Blot) (Western Blot analysis of HEK293T cell lysates (5 ug) transfected with either recombinant PACSIN3 protein (Right) or empty vector (Left) detected with PACSIN3 antibody)

PACSIN3, Monoclonal Antibody (Cat# AAA107068)

No reviews yet
Full Name
PACSIN3 antibody
Gene Names
PACSIN3; SDPIII
Applications
Western Blot, Flow Cytometry
Purity
PACSIN3 antibody was purified by affinity chromatography.
Pricing
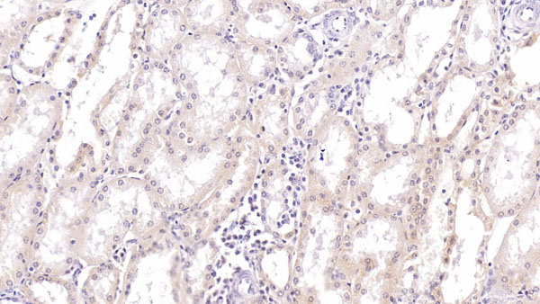
product-image-AAA107086_IHC11.jpg IHC (Immunohistochemisry) (Immunohistochemical analysis of SHPK protein in paraffin embedded Human Kidney tissue using SHPK antibody)

SHPK, Monoclonal Antibody (Cat# AAA107086)

No reviews yet
Full Name
SHPK antibody
Gene Names
SHPK; SHK; CARKL
Applications
Western Blot, Immunohistochemistry, Immunofluorescence
Purity
SHPK antibody was purified by affinity chromatography.
Pricing

HPV18 E7, Monoclonal Antibody (Cat# AAA107094)

No reviews yet
Full Name
HPV18 E7 antibody
Applications
Immunoassay
Purity
Human Papilloma Virus Type 18 antibody was purified by Protein G chromatography.
Pricing
product-image-AAA107102_IF11.jpg IF (Immunofluorescence) (Immunofluorescent staining of COS7 cells transiently transfected with recombinant RPN1 protein using RPN1 antibody)

RPN1, Monoclonal Antibody (Cat# AAA107102)

No reviews yet
Full Name
RPN1 antibody
Gene Names
RPN1; OST1; RBPH1
Applications
Western Blot, Immunofluorescence, Flow Cytometry
Purity
RPN1 antibody was purified by affinity chromatography.
Pricing
product-image-AAA106469_IHC13.jpg IHC (Immunohiostchemistry) (Immunohistochemical analysis of CA9 protein in paraffin embedded Human endometrium tissue using CA9 antibody)

CA9, Monoclonal Antibody (Cat# AAA106469)

No reviews yet
Full Name
CA9 antibody
Gene Names
CA9; MN; CAIX
Applications
Western Blot, Immunohistochemistry, Flow Cytometry
Purity
CA9 antibody was purified by affinity chromatography.
Pricing
product-image-AAA106471_IF13.jpg IF (Immunofluorescence) (Immunofluorescent staining of COS7 cells transiently transfected with recombinant ALDH1L1 protein using ALDH1L1 antibody)

ALDH1L1, Monoclonal Antibody (Cat# AAA106471)

No reviews yet
Full Name
ALDH1L1 antibody
Gene Names
ALDH1L1; FDH; FTHFD; 10-fTHF; 10-FTHFDH
Applications
Western Blot, Immunofluorescence, Flow Cytometry
Purity
ALDH1L1 antibody was purified by affinity chromatography.
Pricing
product-image-AAA106475_IF10.jpg IF (Immunofluorescence) (Immunofluorescence analysis of A431 cells using CDH2 antibody (green). Blue: DRAQ5 fluorescent DNA dye.)

CDH2, Monoclonal Antibody (Cat# AAA106475)

No reviews yet
Full Name
CDH2 antibody
Gene Names
CDH2; CDHN; NCAD; CD325; CDw325
Applications
Western Blot, Immunohistochemistry, Immunofluorescence
Pricing
product-image-AAA106480_IF13.jpg IF (Immunofluorescence) (Immunofluorescent staining of COS7 cells transiently transfected with recombinant CORO1B protein using CORO1B antibody)

CORO1B, Monoclonal Antibody (Cat# AAA106480)

No reviews yet
Full Name
CORO1B antibody
Gene Names
CORO1B; CORONIN-2
Applications
Western Blot, Immunofluorescence, Flow Cytometry
Purity
CORO1B antibody was purified by affinity chromatography.
Pricing
product-image-AAA106500_IHC13.jpg IHC (Immunohiostchemistry) (Immunohistochemical analysis of ID2 protein in paraffin embedded Carcinoma of Human liver tissue using ID2 antibody)

ID2, Monoclonal Antibody (Cat# AAA106500)

No reviews yet
Full Name
ID2 antibody
Gene Names
ID2; GIG8; ID2A; ID2H; bHLHb26
Applications
Western Blot, Immunohistochemistry, Immunofluorescence
Purity
ID2 antibody was purified by affinity chromatography.
Pricing
product-image-AAA106508_IF11.jpg IF (Immunofluorescence) (Immunofluorescent staining of COS7 cells transiently transfected with recombinant GORASP1 protein using GORASP1 antibody)

GORASP1, Monoclonal Antibody (Cat# AAA106508)

No reviews yet
Full Name
GORASP1 antibody
Gene Names
GORASP1; P65; GOLPH5; GRASP65
Applications
Immunohistochemistry, Immunofluorescence, Flow Cytometry
Purity
GORASP1 antibody was purified by affinity chromatography.
Pricing
product-image-AAA106509_IF11.jpg IF (Immunofluorescence) (Immunofluorescent staining of COS7 cells transiently transfected with recombinant ERCC4 protein using ERCC4 antibody)

ERCC4, Monoclonal Antibody (Cat# AAA106509)

No reviews yet
Full Name
ERCC4 antibody
Gene Names
ERCC4; XPF; RAD1; FANCQ; ERCC11
Applications
Western Blot, Immunohistochemistry, Immunofluorescence, Flow Cytometry
Purity
ERCC4 antibody was purified by affinity chromatography.
Pricing
product-image-AAA103171_WB11.png WB (Western Blot) (Western Blot analysis of Rat brain membrane lysate showing detection of SHANK3 protein using Mouse Anti-SHANK3 Monoclonal Antibody, Clone S69-46. Load: 15 ug. Block: 1.5% BSA for 30 minutes at RT. Primary Antibody: Mouse Anti-SHANK3 Monoclonal Antibody at 1:1000 for 2 hours at RT. Secondary Antibody: Sheep Anti-Mouse IgG: HRP for 1 hour at RT.)

SHANK3, Monoclonal Antibody (Cat# AAA103171)

No reviews yet
Full Name
SHANK3 Antibody: HRP
Gene Names
Shank3; Prosap2
Reactivity
Mouse, Human, Rat
Applications
Immunoprecipitation, Immunohistochemistry, Western Blot
Pricing
product-image-AAA103172_WB13.png WB (Western Blot) (Western Blot analysis of Rat brain membrane lysate showing detection of VGLUT1 protein using Mouse Anti-VGLUT1 Monoclonal Antibody, Clone S28-9. Primary Antibody: Mouse Anti-VGLUT1 Monoclonal Antibody at 1:1000.)

VGLUT1, Monoclonal Antibody (Cat# AAA103172)

No reviews yet
Full Name
VGLUT1 Antibody: ATTO 488
Gene Names
Slc17a7; BNPI; Vglut1
Reactivity
Human, Mouse, Rat
Applications
Western Blot, Immunohistochemistry
Pricing
product-image-AAA103179_WB11.png WB (Western Blot) (Western Blot analysis of Human Heat Shocked cervical cancer cell line (HeLa) lysate showing detection of Hsp60 protein using Mouse Anti-Hsp60 Monoclonal Antibody, Clone LK-2. Load: 15 ug. Block: 1.5% BSA for 30 minutes at RT. Primary Antibody: Mouse Anti-Hsp60 Monoclonal Antibody at 1:1000 for 2 hours at RT. Secondary Antibody: Sheep Anti-Mouse IgG: HRP for 1 hour at RT.)

Hsp60, Monoclonal Antibody (Cat# AAA103179)

No reviews yet
Full Name
Hsp60 Antibody: ATTO 594
Gene Names
HSPD1; HLD4; CPN60; GROEL; HSP60; HSP65; SPG13; HSP-60; HuCHA60
Reactivity
Human, Mouse, Rat, Bovine, Canine, Chicken, Guinea Pig, Hamster, Monkey, Pig, Rabbit, Spinach, E.coli (GroEl), H. pylori, S. typhimurium, T. spiralis, Yeast, White Fly
Applications
Flow Cytometry, Immunohistochemistry, Western Blot
Pricing
product-image-AAA103204_WB13.png WB (Western Blot) (Western Blot analysis of Rat Brain showing detection of ~92 kDa and ~82 kDa (pro and active) MMP9 protein using Mouse Anti-MMP9 Monoclonal Antibody, Clone S51-82 . Lane 1: Molecular Weight Ladder (MW). Lane 2: Rat Brain. Load: 15 ug. Block: 5% Skim Milk in 1X TBST. Primary Antibody: Mouse Anti-MMP9 Monoclonal Antibody at 1:1000 for 2 hours at RT. Secondary Antibody: Goat Anti-Mouse IgG: HRP at 1:2000 for 60 min at RT. Color Development: ECL solution for 5 min at RT. Predicted/Observed Size: ~92 kDa and ~82 kDa (pro and active).)

MMP9, Monoclonal Antibody (Cat# AAA103204)

No reviews yet
Full Name
MMP9 Antibody: FITC
Reactivity
Human, Mouse, Rat
Applications
Immunoprecipitation, Western Blot, Immunohistochemistry
Pricing
product-image-AAA103210_WB13.png WB (Western Blot) (Western Blot analysis of Mouse Cortex and Cerebellum showing detection of 184 kDa MDC1 protein using Mouse Anti-MDC1 Monoclonal Antibody, Clone P2B11. Lane 1: MW ladder. Lane 2: Mouse Cortex. Lane 3: Mouse Cerebellum. Load: 10 ug. Block: 5% Skim Milk in 1X TBST. Primary Antibody: Mouse Anti-MDC1 Monoclonal Antibody at 1:1000 for 2 hours RT. Secondary Antibody: Goat Anti-Mouse at 1:2000 for 60 min at RT. Color Development: ECL solution for 5 min in RT. Predicted/Observed Size: 184 kDa.)

MDC1, Monoclonal Antibody (Cat# AAA103210)

No reviews yet
Full Name
MDC1 Antibody: PerCP
Gene Names
Mdc1; Nfbd1; AA413496; mKIAA0170; 6820401C03
Reactivity
Mouse, Human, Chimpanzee, Bovine
Applications
Western Blot, Immunofluorescence
Pricing
product-image-AAA103218_WB13.png WB (Western Blot) (Western Blot analysis of acetylated lysine showing detection of Acetylated Lysine protein using Mouse Anti-Acetylated Lysine Monoclonal Antibody, Clone 7F8. Primary Antibody: Mouse Anti-Acetylated Lysine Monoclonal Antibody at 1:1000. (1) acetylated BSA (75ng of protein), (2) non-acetylated BSA, and (3) marker.)

Acetylated Lysine, Monoclonal Antibody (Cat# AAA103218)

No reviews yet
Full Name
Acetylated Lysine Antibody
Reactivity
Bovine, Avian
Applications
Immunofluorescence, Immunohistochemistry, Western Blot
Pricing
product-image-AAA103220_IHC11.png IHC (Immunohistochemisry) (Immunohistochemistry analysis using Mouse Anti-HCN4 Monoclonal Antibody, Clone S114-10. Tissue: hippocampus. Species: Human. Fixation: Bouin's Fixative and paraffin-embedded. Primary Antibody: Mouse Anti-HCN4 Monoclonal Antibody at 1:100 for 1 hour at RT. Secondary Antibody: FITC Goat Anti-Mouse (green) at 1:50 for 1 hour at RT.)

HCN4, Monoclonal Antibody (Cat# AAA103220)

No reviews yet
Full Name
HCN4 Antibody: PerCP
Reactivity
Human, Mouse, Rat
Applications
Immunofluorescence, Immunohistochemistry, Immunocytochemistry, Western Blot
Pricing
product-image-AAA103222_WB13.png WB (Western Blot) (Western Blot analysis of Human Cell lysates showing detection of Rhodopsin protein using Mouse Anti-Rhodopsin Monoclonal Antibody, Clone 1D4. Load: 15 ug. Block: 1.5% BSA for 30 minutes at RT. Primary Antibody: Mouse Anti-Rhodopsin Monoclonal Antibody at 1:1000 for 2 hours at RT. Secondary Antibody: Sheep Anti-Mouse IgG: HRP for 1 hour at RT.)

Rhodopsin, Monoclonal Antibody (Cat# AAA103222)

No reviews yet
Full Name
Rhodopsin Antibody
Reactivity
Vertebrates
Applications
Immunofluorescence, Western Blot, Immunoprecipitation, Immunohistochemistry, Immunocytochemistry
Pricing

What are Monoclonal Antibodies?


Monoclonal antibodies are specialized laboratory-produced proteins developed for binding to specific biological antigens or other molecular targets. Since they come from a single cell (or clone), they are especially consistent and accurate in the data they are involved in producing.


This type of antibody material has been shown to be a powerful tool in finding and subsequently destroying harmful cells in an organism, such as those found in cancers or various autoimmune diseases. This makes them excellent aids in medical testing and research, which is why they are so widely used.


AAA Biotech offers a comprehensive range of high-quality monoclonal antibodies that perform effectively in various laboratory tests, including (amongst others) ELISA, western blotting, immunohistochemistry, and flow cytometry. All of the products in our catalog are thoroughly quality tested to make sure that they are reliable and will consistently perform well in your research.


What Are The Uses of Monoclonal Antibodies


Monoclonal antibodies are used in many lab tests, including (amongst others) ELISA, western blotting, immunohistochemistry, and flow cytometry.


ELISA is a test that helps detect a specific substance/analyte in a sample. It uses antibodies (often monoclonal) bound to a solid surface (such as the well of a microplate) to “capture” the substance/analyte in the sample and immobilize it so that the detection antibody component can then bind to it and produce a signal, which can then be measured.


Western blotting identifies specific proteins in a sample. The sample is first separated on a gel, and then antibodies are applied that will typically bind to the target, which will all be localized to a single band in a lane.


Immunohistochemistry helps locate specific proteins in cells or tissue samples using antibodies.


Flow cytometry looks at and sorts cells. It uses antibodies that are conjugated to reporter molecules called “fluorophores”, which, under special lights, emit light themselves, which can then be measured by a detector instrument. For a deeper understanding of these techniques, explore our complete guide to monoclonal antibodies and their benefits.


How Monoclonal Antibodies Are Used as Medicine?


Please note that all of the products listed in AAA Biotech’s also known as AAA Bio or AAABio catalog are strictly for research-use only (RUO).


Monoclonal antibodies can also be used as therapeutic/medical treatments, particularly in the context of cancers. They are designed to find and bind to specific cells or proteins, helping the immune system recognize and attack the cancer. These treatments work in different ways, such as:


  • Radioimmunotherapy attaches a small amount of radioactive molecule to the antibody, so it delivers the radiation directly to the cancer cells that the antibody is specifically binding to.

  • Antibody-directed enzyme prodrug therapy uses antibodies that are specifically bound to special enzymes. These enzymes activate a harmless drug in the body and turn it into a cancer-killing drug only near the cancer cells—this helps avoid harming healthy cells.

  • Immunoliposomes are tiny “bubbles” filled with medicine/drug and coated with antibodies. They carry the drug straight to the cancer cells.


Why Buy Monoclonal Antibodies From Us?


At AAA Biotech, we provide high-performance monoclonal antibodies designed to support a wide range of research needs.


1. Validated for Versatile Applications


The antibodies in our catalog are extensively validated and compatible with multiple techniques, including (but not limited to) ELISA, flow cytometry (FC), immunocytochemistry (ICC), immunofluorescence (IF), immunohistochemistry (IHC), immunoprecipitation (IP), and western blotting (WB).


2. Wide Selection & Specialized Options


We offer antibodies for common and rare species, that are available in various conjugated forms, and also in recombinant formats. Essentially, there is almost anything one might need to meet their experimental model’s requirements.


3. High-Quality Proteins


Our proteins meet high purity standards—90% or more as confirmed by SDS-PAGE. Many are available with tags like His, Flag, GST, or MBP, and we also supply native and biologically active proteins for functional studies.


Frequently Asked Questions


1. Are your monoclonal antibodies validated for specific applications?


Yes, our antibodies are tested and validated for use in methods such as ELISA, western blot, IHC, flow cytometry, and more. Refer to specific product pages or datasheets for individual product information.


2. How do I choose the right monoclonal antibody for my application?


Review the product details directly for application validation, species reactivity, and target information. You may also contact our support team at any time for help.


3. How quickly can I receive my order?


Most orders are processed and shipped within 1–3 business days, depending on product availability and your shipping location.


Submit a Question

Please complete the form below and a representative will contact you as soon as possible.

Request more Information

Please complete the form below and a representative will contact you as soon as possible.

Request a Manual

Please complete the form below and a representative will contact you as soon as possible.

Request a Quote

Please complete the form below and a representative will contact you as soon as possible.