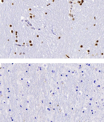
Mouse anti-Human, Mouse 5-Hydroxymethylcytosine Monoclonal Antibody
5-Hydroxymethylcytosine (5-hmC) antibody (mAb)(Clone 59.1)
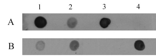
DB (Dot Blot)
(Dot blot of 5-Hydroxymethylcytosine (5-hmC) mAb. Dot blot analysis was used to confirm the specificity of 5-Hydroxymethylcytosine antibody for 5-hydroxymethylcytidine. 10 ng of single-stranded 38 nt DNA oligonucleotides were spotted onto nitrocellulose and probed with the antibody at 0.2mg/mL. Lane 1: oligo containing unmodified cytidine. Lane 2: oligo containing 5-methylcytidine. Lane 3: oligo containing 5-hydroxymethylcytidine. Lane 4: oligo containing 5-formylcytidine. Lane 5: oligo containing 5-carboxylcytidine.)
DB (Dot Blot)
(5-Hydroxymethylcytosine (5-hmC) antibody (mAb) tested by dot blot analysis. DNA samples were spotted (indicated in ng on the left) on to a positively charged nylon membrane and blotted with 5-Hydroxymethylcytidine antibody at a 0.2 mg/ml dilution. Lane 1: double-stranded DNA containing 5-hydroxymethylcytosine. Lane 2: double-stranded DNA containing 5-methylcytosine. Lane 3: unmethylated double-stranded DNA. Lane 4: single-stranded DNA containing 5-hydroxymethylcytosine. Lane 5: single-stranded DNA containing 5-methylcytosine. Lane 6: unmethylated single-stranded DNA.)
IP (Immunoprecipitation)
(5-Hydroxymethylcytosine (5-hmC, 5-hydroxymethylcytidine) antibody tested by Methyl DNA immunoprecipitation. DNA (25 pg) derived from the promoter of the APC gene was spiked into 500 ng of human genomic DNA and subjected to the MeDIP procedure using 2 ?g of 5-Hydroxymethylcytidine antibody (5hmC, maroon bars) or 2 ?g of control rabbit IgG (IgG, blue bars). Real time quantitative PCR was performed on the immunoprecipitated DNA and results plotted as % of input DNA. The spiked APC DNA contained either no methylation (DNA), 5-methylcytosine methylation (5-mC) or 5-hydroxymethylcytosine methylation (5-hmC).)
ChIP (Chromatin Immunoprecipitation)
(hMeDIP-chip performed on human brain DNA using 5-Hydroxymethylcytosine (5-hmC) antibody. Human brain DNA (2 ug) was immunoprecipitated with 10 ug of 5-Hydroxymethylcytosine antibody. Following hMeDIP, the DNA was amplified, labeled and hybridized to an Affymetrix Human Tiling 2.0R Array. Shown is a region from chromosome 6q containing the ARID1B, ZDHHC14 and SNX9 genes. The results show that 5-hydroxymethylcytosine is enriched primarily in the coding regions of genes, rather than in the gene promoter or regulatory regions.)
Background: In addition to this monoclonal, We offers two polyclonal antibodies that recognize 5-hydroxymethylcytosine,a whole serum version and apurified IgG version .All are validated for use in methyl DNA immunoprecipitation (MeDIP). For customers that require the ability to quantitate the amount of IgG in the MeDIP reaction, we recommend either this monoclonal or the purified IgG polyclonal. The whole serum version is very high titre and should be used carefully (0.1-0.5 ul per IP) as not to generate high non-specific background. The whole serum version has been used successfully in immunofluorescence (IF, http://www.ncbi.nlm.nih.gov/pubmed/20639862, 2010), and the purified IgG version is likely to work in this application as well.
DNA methylation is an epigenetic event in which DNA methyltransferases (DNMTs) catalyze the reaction of a methyl group to the fifth carbon of cytosine in aCpG dinucleotide. This modification helps to control gene expression and is also involved in genomic imprinting, while aberrant DNA methylation is often associated with disease. 5-methylcytosine is a modified base that is found in the DNA of plants and vertebrates.
A second type of DNA methylation exists,5-hydroxymethylcytosine (5-hydroxy methylcytosine, 5-hmC). This results from the enzymatic conversion of 5-methylcytosine into5-hydroxymethylcytosine by the TET family of cytosine oxygenases. This antibody was developed specifically to distinguish 5-hydroxymethylcytosine from 5-methylcytosine as conventional methods (enrichment by antibody or methyl DNA binding protein, enzymatic digestion and bisulfite sequencing) cannot do so.
It is possible that5-hydroxymethylcytosine (5-hmC) represents a pathway to demethylate DNA, as 5-hydroxymethylcytosine is repaired as mismatched DNA and replaced with unmethylated cytosine.
NCBI and Uniprot Product Information
Customer Reviews
Loading reviews...
Share Your Experience
Similar Products
Product Notes
The 5-Hydroxymethylcytosine (Catalog #AAA59960) is an Antibody produced from Mouse and is intended for research purposes only. The product is available for immediate purchase. The 5-Hydroxymethylcytosine (5-hmC) antibody (mAb)(Clone 59.1) reacts with Human, Mouse and may cross-react with other species as described in the data sheet. AAA Biotech's 5-Hydroxymethylcytosine can be used in a range of immunoassay formats including, but not limited to, IHC (Immunohistochemistry), IF (Immunofluorescence), ICC (Immunocytochemistry), DB (Dot Blot). Researchers should empirically determine the suitability of the 5-Hydroxymethylcytosine for an application not listed in the data sheet. Researchers commonly develop new applications and it is an integral, important part of the investigative research process. It is sometimes possible for the material contained within the vial of "5-Hydroxymethylcytosine, Monoclonal Antibody" to become dispersed throughout the inside of the vial, particularly around the seal of said vial, during shipment and storage. We always suggest centrifuging these vials to consolidate all of the liquid away from the lid and to the bottom of the vial prior to opening. Please be advised that certain products may require dry ice for shipping and that, if this is the case, an additional dry ice fee may also be required.Precautions
All products in the AAA Biotech catalog are strictly for research-use only, and are absolutely not suitable for use in any sort of medical, therapeutic, prophylactic, in-vivo, or diagnostic capacity. By purchasing a product from AAA Biotech, you are explicitly certifying that said products will be properly tested and used in line with industry standard. AAA Biotech and its authorized distribution partners reserve the right to refuse to fulfill any order if we have any indication that a purchaser may be intending to use a product outside of our accepted criteria.Disclaimer
Though we do strive to guarantee the information represented in this datasheet, AAA Biotech cannot be held responsible for any oversights or imprecisions. AAA Biotech reserves the right to adjust any aspect of this datasheet at any time and without notice. It is the responsibility of the customer to inform AAA Biotech of any product performance issues observed or experienced within 30 days of receipt of said product. To see additional details on this or any of our other policies, please see our Terms & Conditions page.Item has been added to Shopping Cart
If you are ready to order, navigate to Shopping Cart and get ready to checkout.
