Rabbit ACTH (Adrenocorticotrophic Hormone) Monoclonal Antibody | anti-ACTH antibody
ACTH (Adrenocorticotrophic Hormone) (Pituitary Marker)
Gene Names
POMC; LPH; MSH; NPP; POC; ACTH; CLIP; OBAIRH
Reactivity
Human, Mouse, Rat. Expected to show a broad species reactivity.
Applications
Immunohistochemistry, Immunofluorescence, Flow Cytometry, Functional Assay
Synonyms
ACTH (Adrenocorticotrophic Hormone), Antibody; ACTH (Adrenocorticotrophic Hormone) (Pituitary Marker); Adrenocorticotropin; alpha or beta or gamma Melanocyte Stimulating Hormone (MSH) or Melanotropin; beta-Endorphin; beta or gamma Lipotropin (LPH); CLIP; Met Enkephalin; POC; POMC; anti-ACTH antibody
Host
Rabbit
Reactivity
Human, Mouse, Rat. Expected to show a broad species reactivity.
Clonality
Monoclonal
Isotype
IgG
Clone Number
CLIP/2040R
Specificity
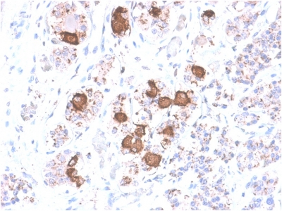
ACTH (same as Corticotropin) is a 39 amino acid active peptide produced by the anterior pituitary. This MAb is specific to Synacthen (aa1-24 of ACTH); does not react with CLIP (aa17-39 of ACTH). POMC (pro-opiomelanocortin or corticotropin-lipotropin) is a 267 amino acid polypeptide hormone precursor that goes through extensive, tissue-specific posttranslational processing by convertases. POMC is cleaved into ten hormone chains named NPP, ACTH, alpha-MSH (Melanocyte Stimulating Hormone), beta-MSH, gamma-MSH, CLIP (corticotropin-like intermediary peptide), Lipotropin-beta, Lipotropin-gamma, beta-endorphin and Met-enkephalin. ACTH is also produced by cells of immune system (T-cells, B-cells, and macrophages) in response to stimuli associated with stress. Anti-ACTH is a useful marker in classification of pituitary tumors and the study of pituitary disease. It reacts with ACTH-producing cells (corticotrophs). It also may react with other tumors (e.g. some small cell carcinomas of the lung) causing paraneoplastic syndromes by secreting ACTH.
Form/Format
200ug/ml of Ab purified from Bioreactor Concentrate by Protein A/G. Prepared in 10mM PBS with 0.05% BSA & 0.05% azide. Also available WITHOUT BSA & azide at 1.0mg/ml.
Sequence Length
267
Applicable Applications for anti-ACTH antibody
IHC (Immunohistochemistry), IF (Immunofluorescence), FCM/FACS (Flow Cytometry)
Immunogen
Synthetic peptide corresponding to aa1-24 of human ACTH
Cellular Localization
Cytoplasmic
Hu-chromosome Location
2p23.3
Positive Control
Normal pituitary gland or pituitary tumor
Preparation and Storage
Antibody with azide - store at 2 to 8 degree C.
Antibody without azide - store at -20 to -80 degree C.
Antibody is stable for 24 months. Non-hazardous. No MSDS required.
Antibody without azide - store at -20 to -80 degree C.
Antibody is stable for 24 months. Non-hazardous. No MSDS required.
References
Hsu DW et. al. American Journal of Pathology, 1991, 138(4):897-909.
NCBI and Uniprot Product Information
NCBI GI #
NCBI GeneID
NCBI Accession #
NCBI GenBank Nucleotide #
Molecular Weight
~5kDa; POMC precursor is ~30kDa
NCBI Official Full Name
pro-opiomelanocortin preproprotein
NCBI Official Synonym Full Names
proopiomelanocortin
NCBI Official Symbol
POMC
NCBI Official Synonym Symbols
LPH; MSH; NPP; POC; ACTH; CLIP; OBAIRH
NCBI Protein Information
pro-opiomelanocortin
UniProt Protein Name
Pro-opiomelanocortin
UniProt Gene Name
POMC
UniProt Synonym Gene Names
POMC; ACTH; Alpha-MSH; CLIP; Beta-MSH
Customer Reviews
Loading reviews...
Share Your Experience
Similar Products
Product Notes
The ACTH pomc (Catalog #AAA214485) is an Antibody produced from Rabbit and is intended for research purposes only. The product is available for immediate purchase. The ACTH (Adrenocorticotrophic Hormone) (Pituitary Marker) reacts with Human, Mouse, Rat. Expected to show a broad species reactivity. and may cross-react with other species as described in the data sheet. AAA Biotech's ACTH (Adrenocorticotrophic Hormone) can be used in a range of immunoassay formats including, but not limited to, IHC (Immunohistochemistry), IF (Immunofluorescence), FCM/FACS (Flow Cytometry). Researchers should empirically determine the suitability of the ACTH pomc for an application not listed in the data sheet. Researchers commonly develop new applications and it is an integral, important part of the investigative research process. It is sometimes possible for the material contained within the vial of "ACTH (Adrenocorticotrophic Hormone), Monoclonal Antibody" to become dispersed throughout the inside of the vial, particularly around the seal of said vial, during shipment and storage. We always suggest centrifuging these vials to consolidate all of the liquid away from the lid and to the bottom of the vial prior to opening. Please be advised that certain products may require dry ice for shipping and that, if this is the case, an additional dry ice fee may also be required.Precautions
All products in the AAA Biotech catalog are strictly for research-use only, and are absolutely not suitable for use in any sort of medical, therapeutic, prophylactic, in-vivo, or diagnostic capacity. By purchasing a product from AAA Biotech, you are explicitly certifying that said products will be properly tested and used in line with industry standard. AAA Biotech and its authorized distribution partners reserve the right to refuse to fulfill any order if we have any indication that a purchaser may be intending to use a product outside of our accepted criteria.Disclaimer
Though we do strive to guarantee the information represented in this datasheet, AAA Biotech cannot be held responsible for any oversights or imprecisions. AAA Biotech reserves the right to adjust any aspect of this datasheet at any time and without notice. It is the responsibility of the customer to inform AAA Biotech of any product performance issues observed or experienced within 30 days of receipt of said product. To see additional details on this or any of our other policies, please see our Terms & Conditions page.Item has been added to Shopping Cart
If you are ready to order, navigate to Shopping Cart and get ready to checkout.
