Mouse Active Caspase-3 Monoclonal Antibody | anti-CASP3 antibody
Active Caspase-3 Monoclonal Antibody (5E1)
Gene Names
CASP3; CPP32; SCA-1; CPP32B
Reactivity
Human, Mouse, Rat, Chicken
Applications
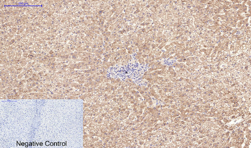
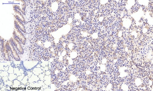
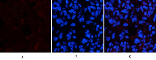
Immunofluorescence, Immunohistochemistry, Western Blot
Synonyms
Active Caspase-3, Antibody; Active Caspase-3 Monoclonal Antibody (5E1); CASP3; CPP32; Caspase-3; CASP-3; Apopain; Cysteine protease CPP32; CPP-32; Protein Yama; SREBP cleavage activity 1; SCA-1; anti-CASP3 antibody
Host
Mouse
Reactivity
Human, Mouse, Rat, Chicken
Clonality
Monoclonal
Clone Number
5E1
Applicable Applications for anti-CASP3 antibody
IF (Immunofluorescence), IHC (Immunohistochemistry), WB (Western Blot)
Preparation and Storage
Maintain refrigerated at 2-8 degree C for up to 2 weeks. For long term storage store at -20 degree C in small aliquots to prevent freeze-thaw cycles.
Related Product Information for anti-CASP3 antibody
Involved in the activation cascade of caspases responsible for apoptosis execution. At the onset of apoptosis it proteolytically cleaves poly (ADP-ribose) polymerase (PARP) at a '216-Asp-|-Gly-217' bond. Cleaves and activates sterol regulatory element binding proteins (SREBPs) between the basic helix-loop- helix leucine zipper domain and the membrane attachment domain. Cleaves and activates caspase-6, -7 and -9. Involved in the cleavage of huntingtin. Triggers cell adhesion in sympathetic neurons through RET cleavage.
NCBI and Uniprot Product Information
NCBI GI #
NCBI GeneID
NCBI Accession #
NCBI GenBank Nucleotide #
Molecular Weight
31,608 Da
NCBI Official Full Name
caspase-3 preproprotein
NCBI Official Synonym Full Names
caspase 3, apoptosis-related cysteine peptidase
NCBI Official Symbol
CASP3
NCBI Official Synonym Symbols
CPP32; SCA-1; CPP32B
NCBI Protein Information
caspase-3; CASP-3; CPP-32; apopain; procaspase3; protein Yama; PARP cleavage protease; cysteine protease CPP32; SREBP cleavage activity 1; caspase 3, apoptosis-related cysteine protease
UniProt Protein Name
Caspase-3
UniProt Gene Name
CASP3
UniProt Synonym Gene Names
CPP32; CASP-3; CPP-32; SCA-1
UniProt Entry Name
CASP3_HUMAN
Customer Reviews
Loading reviews...
Share Your Experience
Similar Products
Product Notes
The CASP3 casp3 (Catalog #AAA293666) is an Antibody produced from Mouse and is intended for research purposes only. The product is available for immediate purchase. The Active Caspase-3 Monoclonal Antibody (5E1) reacts with Human, Mouse, Rat, Chicken and may cross-react with other species as described in the data sheet. AAA Biotech's Active Caspase-3 can be used in a range of immunoassay formats including, but not limited to, IF (Immunofluorescence), IHC (Immunohistochemistry), WB (Western Blot). Researchers should empirically determine the suitability of the CASP3 casp3 for an application not listed in the data sheet. Researchers commonly develop new applications and it is an integral, important part of the investigative research process. It is sometimes possible for the material contained within the vial of "Active Caspase-3, Monoclonal Antibody" to become dispersed throughout the inside of the vial, particularly around the seal of said vial, during shipment and storage. We always suggest centrifuging these vials to consolidate all of the liquid away from the lid and to the bottom of the vial prior to opening. Please be advised that certain products may require dry ice for shipping and that, if this is the case, an additional dry ice fee may also be required.Precautions
All products in the AAA Biotech catalog are strictly for research-use only, and are absolutely not suitable for use in any sort of medical, therapeutic, prophylactic, in-vivo, or diagnostic capacity. By purchasing a product from AAA Biotech, you are explicitly certifying that said products will be properly tested and used in line with industry standard. AAA Biotech and its authorized distribution partners reserve the right to refuse to fulfill any order if we have any indication that a purchaser may be intending to use a product outside of our accepted criteria.Disclaimer
Though we do strive to guarantee the information represented in this datasheet, AAA Biotech cannot be held responsible for any oversights or imprecisions. AAA Biotech reserves the right to adjust any aspect of this datasheet at any time and without notice. It is the responsibility of the customer to inform AAA Biotech of any product performance issues observed or experienced within 30 days of receipt of said product. To see additional details on this or any of our other policies, please see our Terms & Conditions page.Item has been added to Shopping Cart
If you are ready to order, navigate to Shopping Cart and get ready to checkout.
