Mouse ACVL1 Monoclonal Antibody | anti-ACVL1 antibody
ACVL1 Mouse Monoclonal Antibody
Prediction: Pig, Zebrafish, Bovine, Horse, Dog, Chicken, Xenopus
Prediction: Pig, Zebrafish, Bovine, Horse, Dog, Chicken, Xenopus
IF (Immunofluorescence)
(AAA330094 staining HepG2 cells by IF/ICC. The samples were fixed with PFA and permeabilized in 0.1% Triton X-100, then blocked in 10% serum for 45 minutes at 25 degree C. Samples were then incubated with primary Ab(#AAA330094) and rabbit anti-beta tubulin Ab for 1 hour at 37 degree C. An AlexaFluor594 conjugated goat anti-mouse IgG Ab(Red) and an AlexaFluor488 conjugated goat anti-rabbit IgG Ab(Green) were used as the secondary antibody. The nuclear counter stain is DAPI (blue).)
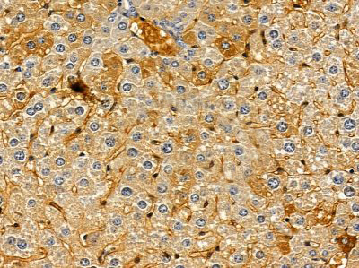
IHC (Immunohiostchemistry)
(AAA330094 at 1/100 staining mouse liver tissue by IHC-P. The sample was formaldehyde fixed and a heat mediated antigen retrieval step in citrate buffer was performed. The sample was then blocked and incubated with the primary antibody at 4 degree C overnight. An HRP conjugated anti-mouse antibody was used as the secondary antibody.)
WB (Western Blot)
(Western blot analysis of extracts from 3T3-L1 P6 cells, using ACVL1 Mouse Monoclonal Antibody. The lane on the left was treated with blocking peptide.)
NCBI and Uniprot Product Information
Customer Reviews
Loading reviews...
Share Your Experience
Similar Products
Product Notes
The ACVL1 acvrl1 (Catalog #AAA330094) is an Antibody produced from Mouse and is intended for research purposes only. The product is available for immediate purchase. The ACVL1 Mouse Monoclonal Antibody reacts with Human, Mouse, Rat Prediction: Pig, Zebrafish, Bovine, Horse, Dog, Chicken, Xenopus and may cross-react with other species as described in the data sheet. AAA Biotech's ACVL1 can be used in a range of immunoassay formats including, but not limited to, ICC (Immunocytochemistry), IF (Immunofluorescence), IHC (Immunohistochemistry), WB (Western Blot). Researchers should empirically determine the suitability of the ACVL1 acvrl1 for an application not listed in the data sheet. Researchers commonly develop new applications and it is an integral, important part of the investigative research process. The amino acid sequence is listed below: MTLGSPRKGL LMLLMALVTQ GDPVKPSRGP LVTCTCESPH CKGPTCRGAW CTVVLVREEG RHPQEHRGCG NLHRELCRGR PTEFVNHYCC DSHLCNHNVS LVLEATQPPS EQPGTDGQLA LILGPVLALL ALVALGVLGL WHVRRRQEKQ RGLHSELGES SLILKASEQG DSMLGDLLDS DCTTGSGSGL PFLVQRTVAR QVALVECVGK GRYGEVWRGL WHGESVAVKI FSSRDEQSWF RETEIYNTVL LRHDNILGFI ASDMTSRNSS TQLWLITHYH EHGSLYDFLQ RQTLEPHLAL RLAVSAACGL AHLHVEIFGT QGKPAIAHRD FKSRNVLVKS NLQCCIADLG LAVMHSQGSD YLDIGNNPRV GTKRYMAPEV LDEQIRTDCF ESYKWTDIWA FGLVLWEIAR RTIVNGIVED YRPPFYDVVP NDPSFEDMKK VVCVDQQTPT IPNRLAADPV LSGLAQMMRE CWYPNPSARL TALRIKKTLQ KISNSPEKPK VIQ. It is sometimes possible for the material contained within the vial of "ACVL1, Monoclonal Antibody" to become dispersed throughout the inside of the vial, particularly around the seal of said vial, during shipment and storage. We always suggest centrifuging these vials to consolidate all of the liquid away from the lid and to the bottom of the vial prior to opening. Please be advised that certain products may require dry ice for shipping and that, if this is the case, an additional dry ice fee may also be required.Precautions
All products in the AAA Biotech catalog are strictly for research-use only, and are absolutely not suitable for use in any sort of medical, therapeutic, prophylactic, in-vivo, or diagnostic capacity. By purchasing a product from AAA Biotech, you are explicitly certifying that said products will be properly tested and used in line with industry standard. AAA Biotech and its authorized distribution partners reserve the right to refuse to fulfill any order if we have any indication that a purchaser may be intending to use a product outside of our accepted criteria.Disclaimer
Though we do strive to guarantee the information represented in this datasheet, AAA Biotech cannot be held responsible for any oversights or imprecisions. AAA Biotech reserves the right to adjust any aspect of this datasheet at any time and without notice. It is the responsibility of the customer to inform AAA Biotech of any product performance issues observed or experienced within 30 days of receipt of said product. To see additional details on this or any of our other policies, please see our Terms & Conditions page.Item has been added to Shopping Cart
If you are ready to order, navigate to Shopping Cart and get ready to checkout.
