Host
Mouse
Reactivity
Human; Paraffin, Frozen
Clonality
Monoclonal
Isotype
IgG/K
Clone Number
20/11 and 2/6
Applicable Applications for anti-Adenovirus antibody
Infectious Diseases
Application Notes
Specimen Preparation: Paraffin sections: The antibodycan be used on formalin-fixed paraffin-embedded (FFPE) tissue sections. Ensure tissue undergoes appropriate fixation for best results. Pre-treatment of tissues with heat-induced epitope retrieval (HIER) is recommended using ImmunoDNA Retriever with Citrate, ImmunoDNA Retriever with EDTA, or ImmunoDNA Digestor. See reverse side for complete protocol.Tissue should remain hydrated via use of Immuno/DNAWasher solutions.
Frozen sections and cell preparations: The antibody can be used on acetone-fixed frozen sections and acetone-fixed cell preparations.
Frozen sections and cell preparations: The antibody can be used on acetone-fixed frozen sections and acetone-fixed cell preparations.
Immunogen
Adeno 3.
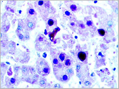
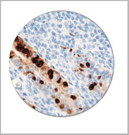
Localization
Cytoplasmic, Nuclear
Control
Adenovirus Infected Tissue
Precautions
1. This product contains <0.1% sodium azide (NaN3) as a preservative. Ensure proper handling procedures are used with reagent.
2. Always wear personal protective equipment such as laboratory coat, goggles, and gloves when handling reagents.
3. Dispose of unused solution according to local and federal regulations.
4. Do not ingest reagent. If reagent is ingested, seek medical advice immediately.
5. Avoid contact with eyes. If contact occurs, flush with large quantities of water.
6. Follow safety precautions of the heating device used for epitope retrieval (TintoRetriever Pressure Cooker or similar).
7. For additional safety information refer to Safety Data Sheet for this product.
8. For complete recommendations for handling biological specimens please refer to the CDC document, “Guidelines for Safe Work Practices in Human and Animal Medical Diag-nostic Laboratories” (see References in this document).
2. Always wear personal protective equipment such as laboratory coat, goggles, and gloves when handling reagents.
3. Dispose of unused solution according to local and federal regulations.
4. Do not ingest reagent. If reagent is ingested, seek medical advice immediately.
5. Avoid contact with eyes. If contact occurs, flush with large quantities of water.
6. Follow safety precautions of the heating device used for epitope retrieval (TintoRetriever Pressure Cooker or similar).
7. For additional safety information refer to Safety Data Sheet for this product.
8. For complete recommendations for handling biological specimens please refer to the CDC document, “Guidelines for Safe Work Practices in Human and Animal Medical Diag-nostic Laboratories” (see References in this document).
Presentation
Anti-Adenovirus is a mouse monoclonal antibody derived from cell culture supernantant that is concentrated, dialyzed, filter sterilized, and diluted in buffer pH7.5, containing BSA and sodium azide as a preservative.
Mounting Protocols
For detailed instructions using biodegradable permanent mounting media such as XyGreen PermaMounter (please inquire) or organic solvent based resin such as PermaMounter (please inquire).
Product Limitations
Due to inherent variability present in immunohistochemical procedures (including fixation time of tissues, dilution factor of antibody, retrieval method utilized, and incubation time), optimal performance should be established through the use of positive and negative controls. Results should be interpreted by a qualified medical professional.
Intended Use
Analyte Specific Reagent. Analytical and performance characteristics for Adenovirus antibody, clone 20/11 and 2/6 are not established.
Preparation and Storage
Store at 2 to 8 degree C (Control slides: Store at 20 to 25 degree C)
Related Product Information for anti-Adenovirus antibody
Adenoviruses belong to the family Adenoviridae. They infect both humans and animals. Adenovirus was first isolated in human adenoids (tonsils), from which the name is derived. Adenoviruses are classified as group I under the Baltimore classification scheme. They are medium-sized (60-90 nm), non-enveloped icosahedral viruses containing double-stranded DNA.
Similar Products
Product Notes
The Adenovirus (Catalog #AAA13554) is an Antibody produced from Mouse and is intended for research purposes only. The product is available for immediate purchase. The Adenovirus reacts with Human; Paraffin, Frozen and may cross-react with other species as described in the data sheet. AAA Biotech's Adenovirus can be used in a range of immunoassay formats including, but not limited to, Infectious Diseases. Specimen Preparation: Paraffin sections: The antibodycan be used on formalin-fixed paraffin-embedded (FFPE) tissue sections. Ensure tissue undergoes appropriate fixation for best results. Pre-treatment of tissues with heat-induced epitope retrieval (HIER) is recommended using ImmunoDNA Retriever with Citrate, ImmunoDNA Retriever with EDTA, or ImmunoDNA Digestor. See reverse side for complete protocol.Tissue should remain hydrated via use of Immuno/DNAWasher solutions. Frozen sections and cell preparations: The antibody can be used on acetone-fixed frozen sections and acetone-fixed cell preparations. Researchers should empirically determine the suitability of the Adenovirus for an application not listed in the data sheet. Researchers commonly develop new applications and it is an integral, important part of the investigative research process. It is sometimes possible for the material contained within the vial of "Adenovirus, Monoclonal Antibody" to become dispersed throughout the inside of the vial, particularly around the seal of said vial, during shipment and storage. We always suggest centrifuging these vials to consolidate all of the liquid away from the lid and to the bottom of the vial prior to opening. Please be advised that certain products may require dry ice for shipping and that, if this is the case, an additional dry ice fee may also be required.Precautions
All products in the AAA Biotech catalog are strictly for research-use only, and are absolutely not suitable for use in any sort of medical, therapeutic, prophylactic, in-vivo, or diagnostic capacity. By purchasing a product from AAA Biotech, you are explicitly certifying that said products will be properly tested and used in line with industry standard. AAA Biotech and its authorized distribution partners reserve the right to refuse to fulfill any order if we have any indication that a purchaser may be intending to use a product outside of our accepted criteria.Disclaimer
Though we do strive to guarantee the information represented in this datasheet, AAA Biotech cannot be held responsible for any oversights or imprecisions. AAA Biotech reserves the right to adjust any aspect of this datasheet at any time and without notice. It is the responsibility of the customer to inform AAA Biotech of any product performance issues observed or experienced within 30 days of receipt of said product. To see additional details on this or any of our other policies, please see our Terms & Conditions page.Item has been added to Shopping Cart
If you are ready to order, navigate to Shopping Cart and get ready to checkout.
