Mouse anti-Human AFP Monoclonal Antibody | anti-AFP antibody
Anti-AFP antibody (monoclonal)
Gene Names
AFP; AFPD; FETA; HPAFP
Reactivity
Human
Applications
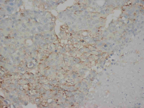
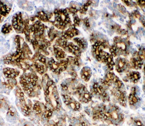
Immunohistochemistry
Purity
Ascites
Synonyms
AFP, Antibody; Anti-AFP antibody (monoclonal); Alpha-fetoprotein; alpha-fetoprotein; HPAFP; FETA; Alpha-1-fetoprotein; Alpha-fetoglobulin; anti-AFP antibody
Host
Mouse
Reactivity
Human
Clonality
Monoclonal
Isotype
IgG2a
Clone Number
AP-1
Purity/Purification
Ascites
Form/Format
Lyophilized
Sequence Length
609
Applicable Applications for anti-AFP antibody
IHC (Immunohistochemistry)
Immunogen
Human alpha-fetoprotein.
Contents
Mouse ascites fluid, 1.2% sodium acetate, 2mg BSA, with 0.01mg NaN3 as preservative.
Reconstitution
1.2% sodium acetate or neutral PBS. If 1ml of PBS is used, the antibody concentration will be 100ug/ml.
Preparation and Storage
At -20 degree C for one year. After reconstitution, at 4 degree C for one month. It can also be aliquotted and stored frozen at -20 degree C for a longer time. Avoid repeated freezing and thawing.
Related Product Information for anti-AFP antibody
Description: Mouse IgG monoclonal antibody for AFP, alpha-fetoprotein (AFP) detection. Tested with IHC-P in Human. No cross reactivity with other proteins. Uniprot ID: P02771
Background: Alpha-fetoprotein(AFP) is a major plasma protein in the fetus, where it is produced by the yolk sac and liver. Direct confirmation of the assignment of the AFP gene to chromosome 4 by in situ hybridization was provided by Harper and Dugaiczyk(1983), who placed the gene in the q11-q22 region, the same region as the albumin gene. Structure and evolution of human alpha-fetoprotein deduced from partial sequence of cloned cDNA.As the major fetal serum protein, Alpha-fetoprotein is not essential for embryonic development but is required for female fertility.
Background: Alpha-fetoprotein(AFP) is a major plasma protein in the fetus, where it is produced by the yolk sac and liver. Direct confirmation of the assignment of the AFP gene to chromosome 4 by in situ hybridization was provided by Harper and Dugaiczyk(1983), who placed the gene in the q11-q22 region, the same region as the albumin gene. Structure and evolution of human alpha-fetoprotein deduced from partial sequence of cloned cDNA.As the major fetal serum protein, Alpha-fetoprotein is not essential for embryonic development but is required for female fertility.
NCBI and Uniprot Product Information
NCBI GI #
NCBI GeneID
Molecular Weight
68,678 Da
NCBI Official Full Name
Alpha-fetoprotein
NCBI Official Synonym Full Names
alpha-fetoprotein
NCBI Official Symbol
AFP
NCBI Official Synonym Symbols
AFPD; FETA; HPAFP
NCBI Protein Information
alpha-fetoprotein; alpha-fetoglobulin; alpha-1-fetoprotein
UniProt Protein Name
Alpha-fetoprotein
UniProt Gene Name
AFP
UniProt Synonym Gene Names
HPAFP
UniProt Entry Name
FETA_HUMAN
Customer Reviews
Loading reviews...
Share Your Experience
Similar Products
Product Notes
The AFP afp (Catalog #AAA44908) is an Antibody produced from Mouse and is intended for research purposes only. The product is available for immediate purchase. The Anti-AFP antibody (monoclonal) reacts with Human and may cross-react with other species as described in the data sheet. AAA Biotech's AFP can be used in a range of immunoassay formats including, but not limited to, IHC (Immunohistochemistry). Researchers should empirically determine the suitability of the AFP afp for an application not listed in the data sheet. Researchers commonly develop new applications and it is an integral, important part of the investigative research process. It is sometimes possible for the material contained within the vial of "AFP, Monoclonal Antibody" to become dispersed throughout the inside of the vial, particularly around the seal of said vial, during shipment and storage. We always suggest centrifuging these vials to consolidate all of the liquid away from the lid and to the bottom of the vial prior to opening. Please be advised that certain products may require dry ice for shipping and that, if this is the case, an additional dry ice fee may also be required.Precautions
All products in the AAA Biotech catalog are strictly for research-use only, and are absolutely not suitable for use in any sort of medical, therapeutic, prophylactic, in-vivo, or diagnostic capacity. By purchasing a product from AAA Biotech, you are explicitly certifying that said products will be properly tested and used in line with industry standard. AAA Biotech and its authorized distribution partners reserve the right to refuse to fulfill any order if we have any indication that a purchaser may be intending to use a product outside of our accepted criteria.Disclaimer
Though we do strive to guarantee the information represented in this datasheet, AAA Biotech cannot be held responsible for any oversights or imprecisions. AAA Biotech reserves the right to adjust any aspect of this datasheet at any time and without notice. It is the responsibility of the customer to inform AAA Biotech of any product performance issues observed or experienced within 30 days of receipt of said product. To see additional details on this or any of our other policies, please see our Terms & Conditions page.Item has been added to Shopping Cart
If you are ready to order, navigate to Shopping Cart and get ready to checkout.
