Mouse anti-Human ALDH6A1 Monoclonal Antibody | anti-ALDH6A1 antibody
ALDH6A1 Antibody
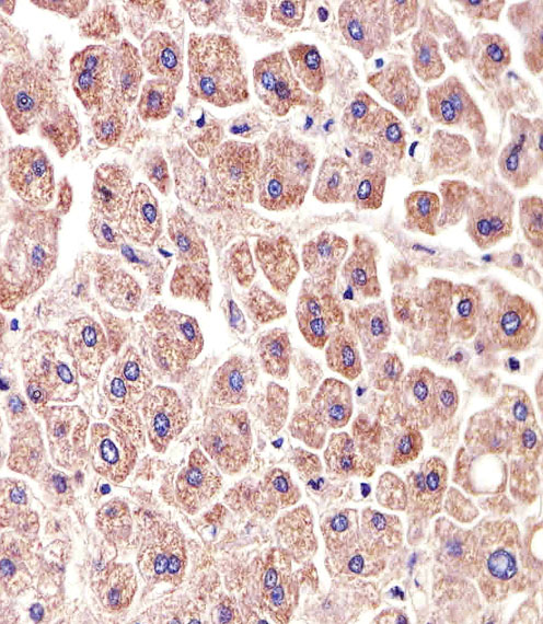
IHC (Immunohistochemistry)
(Immunohistochemical analysis of paraffin-embedded H.liver section using ALDH6A1 Antibody. AAA283519 was diluted at 1:25 dilution. A peroxidase-conjugated goat anti-rabbit IgG at 1:400 dilution was used as the secondary antibody, followed by DAB staining.)
WB (Western Blot)
(Western blot analysis of lysates from MCF-7, T47D cell line (from left to right), using ALDH6A1 Antibody. AAA283519 was diluted at 1:1000 at each lane. A goat anti-rabbit IgG H&L(HRP) at 1:10000 dilution was used as the secondary antibody. Lysates at 20ug per lane.)
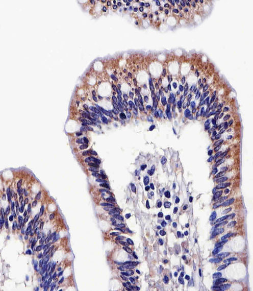
IHC (Immunohiostchemistry)
(Immunohistochemical analysis of paraffin-embedded H.colon section using ALDH6A1 Antibody. AAA283519 was diluted at 1:25 dilution. A peroxidase-conjugated goat anti-rabbit IgG at 1:400 dilution was used as the secondary antibody, followed by DAB staining.)
IF (Immunofluorescence)
(Fluorescent image of MCF-7 cells stained with ALDH6A1 Antibody. AAA283519 was diluted at 1:25 dilution. An Alexa Fluor 488-conjugated goat anti-mouse lgG at 1:400 dilution was used as the secondary antibody (green). DAPI was used to stain the cell nuclear (blue). Cytoplasmic actin was counterstained with Alexa Fluor 555 conjugated with Phalloidin (red).)
Association study between single-nucleotide polymorphisms in 199 drug-related genes and commonly measured quantitative traits of 752 healthy Japanese subjects. Saito A, et al. J Hum Genet, 2009 Jun. PMID 19343046.
Physical mapping of CHX10, ALDH6A1, and ABCD4 on bovine chromosome 10q34. Kuiper H, et al. Cytogenet Genome Res, 2005. PMID 15909363.
The status, quality, and expansion of the NIH full-length cDNA project: the Mammalian Gene Collection (MGC). Gerhard DS, et al. Genome Res, 2004 Oct. PMID 15489334.
The human plasma proteome: a nonredundant list developed by combination of four separate sources. Anderson NL, et al. Mol Cell Proteomics, 2004 Apr. PMID 14718574.
NCBI and Uniprot Product Information
Customer Reviews
Loading reviews...
Share Your Experience
Similar Products
Product Notes
The ALDH6A1 aldh6a1 (Catalog #AAA283519) is an Antibody produced from Mouse and is intended for research purposes only. The product is available for immediate purchase. The ALDH6A1 Antibody reacts with Human and may cross-react with other species as described in the data sheet. AAA Biotech's ALDH6A1 can be used in a range of immunoassay formats including, but not limited to, IHC (Immunohistochemistry), WB (Western Blot), ELISA, IF (Immunofluorescence). Researchers should empirically determine the suitability of the ALDH6A1 aldh6a1 for an application not listed in the data sheet. Researchers commonly develop new applications and it is an integral, important part of the investigative research process. It is sometimes possible for the material contained within the vial of "ALDH6A1, Monoclonal Antibody" to become dispersed throughout the inside of the vial, particularly around the seal of said vial, during shipment and storage. We always suggest centrifuging these vials to consolidate all of the liquid away from the lid and to the bottom of the vial prior to opening. Please be advised that certain products may require dry ice for shipping and that, if this is the case, an additional dry ice fee may also be required.Precautions
All products in the AAA Biotech catalog are strictly for research-use only, and are absolutely not suitable for use in any sort of medical, therapeutic, prophylactic, in-vivo, or diagnostic capacity. By purchasing a product from AAA Biotech, you are explicitly certifying that said products will be properly tested and used in line with industry standard. AAA Biotech and its authorized distribution partners reserve the right to refuse to fulfill any order if we have any indication that a purchaser may be intending to use a product outside of our accepted criteria.Disclaimer
Though we do strive to guarantee the information represented in this datasheet, AAA Biotech cannot be held responsible for any oversights or imprecisions. AAA Biotech reserves the right to adjust any aspect of this datasheet at any time and without notice. It is the responsibility of the customer to inform AAA Biotech of any product performance issues observed or experienced within 30 days of receipt of said product. To see additional details on this or any of our other policies, please see our Terms & Conditions page.Item has been added to Shopping Cart
If you are ready to order, navigate to Shopping Cart and get ready to checkout.
