Rabbit AMACR/p504S Monoclonal Antibody | anti-AMACR antibody
AMACR/p504S (Prostate Cancer Marker)
Gene Names
AMACR; RM; RACE; CBAS4; P504S; AMACRD
Reactivity
Human. Others not known.
Applications
Immunohistochemistry
Synonyms
AMACR/p504S, Antibody; AMACR/p504S (Prostate Cancer Marker); Alpha-methylacyl-CoA Racemase; CBAS4; Da1-8; Macr1; RACE; RM; anti-AMACR antibody
Host
Rabbit
Reactivity
Human. Others not known.
Clonality
Monoclonal
Isotype
IgG, kappa
Clone Number
13H4
Specificity
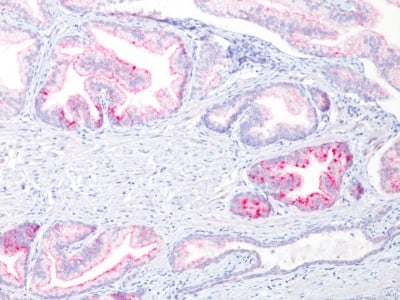
This antibody recognizes a protein of 54kDa, which is identified as AMACR, also known as p504S. It is an enzyme that is involved in bile acid biosynthesis and beta-oxidation of branched-chain fatty acids. AMACR is essential in lipid metabolism. It is expressed in cells of premalignant high-grade prostatic intraepithelial neoplasia (HGPIN) and prostate adenocarcinoma. The majority of the carcinoma cells show a distinct granular cytoplasmic staining reaction. AMACR is present at low or undetectable levels in glandular epithelial cells of normal prostate and benign prostatic hyperplasia. A spotty granular cytoplasmic staining is seen in a few cells of the benign glands. AMACR is expressed in normal liver (hepatocytes), kidney (tubular epithelial cells) and gall bladder (epithelial cells). Expression has also been found in lung (bronchial epithelial cells) and colon (colonic surface epithelium). AMACR expression can also be found in hepatocellular carcinoma and kidney carcinoma. Past studies have also shown that AMACR is expressed in various colon carcinomas (well, moderately and poorly differentiated) and over expressed in prostate carcinoma.
Form/Format
Culture Supernatant with 0.05% Azide.
Sequence Length
394
Applicable Applications for anti-AMACR antibody
IHC (Immunohistochemistry)
Immunogen
Full length human recombinant AMACR protein
Cellular Localization
Cytoplasmic
Hu-chromosome Location
5p13.3
Positive Control
HEK cells or Prostate Adenocarcinoma
Preparation and Storage
Antibody with azide - store at 4 to 8 degree C.
Antibody is stable for 24 months. Non-hazardous. No MSDS required.
Antibody is stable for 24 months. Non-hazardous. No MSDS required.
References
Xu J et. al. Canc Res. 2000; 60:1677. Jiang Z et. al. Human Pathology. 2003; 34(8):792. Jiang Z et. al. Am J Surg Pathol. 2001; 25(11):139.
NCBI and Uniprot Product Information
NCBI GI #
NCBI GeneID
NCBI Accession #
NCBI GenBank Nucleotide #
Molecular Weight
54kDa
NCBI Official Full Name
alpha-methylacyl-CoA racemase isoform 3
NCBI Official Synonym Full Names
alpha-methylacyl-CoA racemase
NCBI Official Symbol
AMACR
NCBI Official Synonym Symbols
RM; RACE; CBAS4; P504S; AMACRD
NCBI Protein Information
alpha-methylacyl-CoA racemase
UniProt Protein Name
Alpha-methylacyl-CoA racemase
UniProt Gene Name
AMACR
Customer Reviews
Loading reviews...
Share Your Experience
Similar Products
Product Notes
The AMACR amacr (Catalog #AAA62985) is an Antibody produced from Rabbit and is intended for research purposes only. The product is available for immediate purchase. The AMACR/p504S (Prostate Cancer Marker) reacts with Human. Others not known. and may cross-react with other species as described in the data sheet. AAA Biotech's AMACR/p504S can be used in a range of immunoassay formats including, but not limited to, IHC (Immunohistochemistry). Researchers should empirically determine the suitability of the AMACR amacr for an application not listed in the data sheet. Researchers commonly develop new applications and it is an integral, important part of the investigative research process. It is sometimes possible for the material contained within the vial of "AMACR/p504S, Monoclonal Antibody" to become dispersed throughout the inside of the vial, particularly around the seal of said vial, during shipment and storage. We always suggest centrifuging these vials to consolidate all of the liquid away from the lid and to the bottom of the vial prior to opening. Please be advised that certain products may require dry ice for shipping and that, if this is the case, an additional dry ice fee may also be required.Precautions
All products in the AAA Biotech catalog are strictly for research-use only, and are absolutely not suitable for use in any sort of medical, therapeutic, prophylactic, in-vivo, or diagnostic capacity. By purchasing a product from AAA Biotech, you are explicitly certifying that said products will be properly tested and used in line with industry standard. AAA Biotech and its authorized distribution partners reserve the right to refuse to fulfill any order if we have any indication that a purchaser may be intending to use a product outside of our accepted criteria.Disclaimer
Though we do strive to guarantee the information represented in this datasheet, AAA Biotech cannot be held responsible for any oversights or imprecisions. AAA Biotech reserves the right to adjust any aspect of this datasheet at any time and without notice. It is the responsibility of the customer to inform AAA Biotech of any product performance issues observed or experienced within 30 days of receipt of said product. To see additional details on this or any of our other policies, please see our Terms & Conditions page.Item has been added to Shopping Cart
If you are ready to order, navigate to Shopping Cart and get ready to checkout.
