Mouse anti-Human AMP Deaminase, Isoform E (AMPD3) Monoclonal Antibody | anti-AMPD3 antibody
AMP Deaminase, Isoform E (AMPD3) (Erythroid Marker) Mouse Monoclonal Antibody
Reactivity
Human
Applications
Immunohistochemistry, Immunocytochemistry, Immunofluorescence, Flow Cytometry, Functional Assay
Synonyms
AMP Deaminase, Isoform E (AMPD3), Antibody; AMP Deaminase, Isoform E (AMPD3) (Erythroid Marker) Mouse Monoclonal Antibody; Adenosine monophosphate deaminase (isoform E); AMP aminohydrolase; AMP deaminase 3; AMP deaminase isoform E; Ampd3; Erythrocyte AMP deaminase; Erythrocyte specific AMP deaminase; Erythrocyte specific protein; Erythrocyte type AMP deaminase; Myoadenylate deaminase; anti-AMPD3 antibody
Host
Mouse
Reactivity
Human
Clonality
Monoclonal
Isotype
IgG2b, kappa
Clone Number
AMPD3/901
Specificity
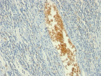
It recognizes a protein of ~90kDa, which is identified as Adenosine Monophosphate Deaminase, isoform E (AMPD3). It has 767 amino acids and is assigned an EC 3.5.4.6. It is a highly regulated enzyme that catalyzes the hydrolytic deamination of adenosine monophosphate to inosine monophosphate, a branch point in the adenylate catabolic pathway. AMPD3 gene encodes the erythrocyte (E) isoforms, whereas other family members encode isoforms that predominate in muscle (M) and liver (L) cells. This MAb shows reactivity with cells of the erythroid lineage at all stages of maturation in the peripheral blood, bone marrow, and fetal liver. Non-erythroid lineages are negative by flow cytometry. This MAb is useful in the erythroleukemia, identification of bone marrow erythroid precursors, gating erythroid nucleated precursor cells from malignant cells in bone marrow specimens.
Form/Format
200ug/ml of Ab purified from Bioreactor Concentrate by Protein A/G. Prepared in 10mM PBS with 0.05% BSA & 0.05% azide. Also available WITHOUT BSA & azide at 1.0mg/ml.
Sequence Length
776
Applicable Applications for anti-AMPD3 antibody
IHC (Immunohistochemistry), ICC (Immunocytochemistry), IF (Immunofluorescence), FCM/FACS (Flow Cytometry)
Cellular Localization
Cell Surface
Immunogen
Recombinant full-length human AMDP3 protein
Hu-Chromosome Location
11p15.4
Positive Control
RBC. Fetal liver; Spleen or Placenta
Preparation and Storage
Antibody with azide - store at 2 to 8 degree C. Antibody without azide - store at -20 to -80 degree C. Antibody is stable for 24 months. Non-hazardous. No MSDS required.
References
Sabina RL, Waldenstrm A, Ronquist G. The contribution of Ca+ calmodulin activation of human erythrocyte AMP deaminase (isoform E) to the erythrocyte metabolic dysregulation of familial phosphofructokinase deficiency. Haematologica. 2006;91(5):652-5
NCBI and Uniprot Product Information
NCBI GI #
NCBI GeneID
NCBI Accession #
NCBI GenBank Nucleotide #
Molecular Weight
~90kDa
NCBI Official Full Name
AMP deaminase 3 isoform 1A
NCBI Official Synonym Full Names
adenosine monophosphate deaminase 3
NCBI Official Symbol
AMPD3
NCBI Protein Information
AMP deaminase 3
UniProt Protein Name
AMP deaminase 3
UniProt Gene Name
AMPD3
UniProt Entry Name
AMPD3_HUMAN
Customer Reviews
Loading reviews...
Share Your Experience
Similar Products
Product Notes
The AMPD3 ampd3 (Catalog #AAA62754) is an Antibody produced from Mouse and is intended for research purposes only. The product is available for immediate purchase. The AMP Deaminase, Isoform E (AMPD3) (Erythroid Marker) Mouse Monoclonal Antibody reacts with Human and may cross-react with other species as described in the data sheet. AAA Biotech's AMP Deaminase, Isoform E (AMPD3) can be used in a range of immunoassay formats including, but not limited to, IHC (Immunohistochemistry), ICC (Immunocytochemistry), IF (Immunofluorescence), FCM/FACS (Flow Cytometry). Researchers should empirically determine the suitability of the AMPD3 ampd3 for an application not listed in the data sheet. Researchers commonly develop new applications and it is an integral, important part of the investigative research process. It is sometimes possible for the material contained within the vial of "AMP Deaminase, Isoform E (AMPD3), Monoclonal Antibody" to become dispersed throughout the inside of the vial, particularly around the seal of said vial, during shipment and storage. We always suggest centrifuging these vials to consolidate all of the liquid away from the lid and to the bottom of the vial prior to opening. Please be advised that certain products may require dry ice for shipping and that, if this is the case, an additional dry ice fee may also be required.Precautions
All products in the AAA Biotech catalog are strictly for research-use only, and are absolutely not suitable for use in any sort of medical, therapeutic, prophylactic, in-vivo, or diagnostic capacity. By purchasing a product from AAA Biotech, you are explicitly certifying that said products will be properly tested and used in line with industry standard. AAA Biotech and its authorized distribution partners reserve the right to refuse to fulfill any order if we have any indication that a purchaser may be intending to use a product outside of our accepted criteria.Disclaimer
Though we do strive to guarantee the information represented in this datasheet, AAA Biotech cannot be held responsible for any oversights or imprecisions. AAA Biotech reserves the right to adjust any aspect of this datasheet at any time and without notice. It is the responsibility of the customer to inform AAA Biotech of any product performance issues observed or experienced within 30 days of receipt of said product. To see additional details on this or any of our other policies, please see our Terms & Conditions page.Item has been added to Shopping Cart
If you are ready to order, navigate to Shopping Cart and get ready to checkout.
