Mouse Annexin A2 Monoclonal Antibody | anti-ANXA2 antibody
Annexin A2 Mouse Monoclonal Antibody
Prediction: Pig, Bovine, Horse, Sheep, Rabbit, Dog, Chicken
Prediction: Pig, Bovine, Horse, Sheep, Rabbit, Dog, Chicken
IF (Immunofluorescence)
(AAA330074 staining HepG2 cells by IF/ICC. The samples were fixed with PFA and permeabilized in 0.1% Triton X-100, then blocked in 10% serum for 45 minutes at 25 degree C. Samples were then incubated with primary Ab(#AAA330074) and rabbit anti-beta tubulin Ab for 1 hour at 37 degree C. An AlexaFluor594 conjugated goat anti-mouse IgG Ab(Red) and an AlexaFluor488 conjugated goat anti-rabbit IgG Ab(Green) were used as the secondary antibody. The nuclear counter stain is DAPI (blue).)
IHC (Immunohistochemisry)
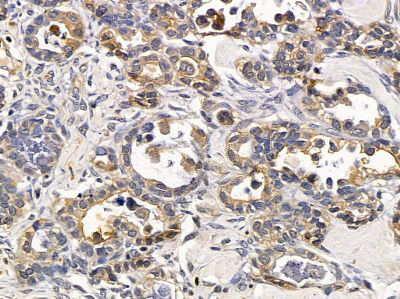
(AAA330074 at 1/100 staining aaaaaa by IHC-P. The sample was formaldehyde fixed and a heat mediated antigen retrieval step in citrate buffer was performed. The sample was then blocked and incubated with the primary antibody at 4 degree C overnight. An HRP conjugated anti-mouse antibody was used as the secondary antibody.)
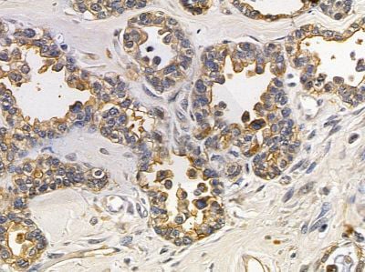
IHC (Immunohiostchemistry)
(AAA330074 at 1/100 staining human ovarian cancer by IHC-P. The sample was formaldehyde fixed and a heat mediated antigen retrieval step in citrate buffer was performed. The sample was then blocked and incubated with the primary antibody at 4 degree C overnight. An HRP conjugated anti-mouse antibody was used as the secondary antibody.)
WB (Western Blot)
(Western blot analysis of extracts from various samples, using Annexin A2 Mouse Monoclonal Antibody. Lane 1: HepG2 cells treated with blocking peptide; Lane 2: HepG2 cells; Lane 3: PC12 cells. Lane 4: 3T3-L1P6 cells.)
NCBI and Uniprot Product Information
Customer Reviews
Loading reviews...
Share Your Experience
Similar Products
Product Notes
The ANXA2 (Catalog #AAA330074) is an Antibody produced from Mouse and is intended for research purposes only. The product is available for immediate purchase. The Annexin A2 Mouse Monoclonal Antibody reacts with Human, Mouse, Rat Prediction: Pig, Bovine, Horse, Sheep, Rabbit, Dog, Chicken and may cross-react with other species as described in the data sheet. AAA Biotech's Annexin A2 can be used in a range of immunoassay formats including, but not limited to, ELISA, ICC (Immunocytochemistry), IF (Immunofluorescence), IHC (Immunohistochemistry), WB (Western Blot). Researchers should empirically determine the suitability of the ANXA2 for an application not listed in the data sheet. Researchers commonly develop new applications and it is an integral, important part of the investigative research process. The amino acid sequence is listed below: MSTVHEILCK LSLEGDHSTP PSAYGSVKAY TNFDAERDAL NIETAIKTKG VDEVTIVNIL TNRSNAQRQD IAFAYQRRTK KELASALKSA LSGHLETVIL GLLKTPAQYD ASELKASMKG LGTDEDSLIE IICSRTNQEL QEINRVYKEM YKTDLEKDII SDTSGDFRKL MVALAKGRRA EDGSVIDYEL IDQDARDLYD AGVKRKGTDV PKWISIMTER SVPHLQKVFD RYKSYSPYDM LESIRKEVKG DLENAFLNLV QCIQNKPLYF ADRLYDSMKG KGTRDKVLIR IMVSRSEVDM LKIRSEFKRK YGKSLYYYIQ QDTKGDYQKA LLYLCGGDD. It is sometimes possible for the material contained within the vial of "Annexin A2, Monoclonal Antibody" to become dispersed throughout the inside of the vial, particularly around the seal of said vial, during shipment and storage. We always suggest centrifuging these vials to consolidate all of the liquid away from the lid and to the bottom of the vial prior to opening. Please be advised that certain products may require dry ice for shipping and that, if this is the case, an additional dry ice fee may also be required.Precautions
All products in the AAA Biotech catalog are strictly for research-use only, and are absolutely not suitable for use in any sort of medical, therapeutic, prophylactic, in-vivo, or diagnostic capacity. By purchasing a product from AAA Biotech, you are explicitly certifying that said products will be properly tested and used in line with industry standard. AAA Biotech and its authorized distribution partners reserve the right to refuse to fulfill any order if we have any indication that a purchaser may be intending to use a product outside of our accepted criteria.Disclaimer
Though we do strive to guarantee the information represented in this datasheet, AAA Biotech cannot be held responsible for any oversights or imprecisions. AAA Biotech reserves the right to adjust any aspect of this datasheet at any time and without notice. It is the responsibility of the customer to inform AAA Biotech of any product performance issues observed or experienced within 30 days of receipt of said product. To see additional details on this or any of our other policies, please see our Terms & Conditions page.Item has been added to Shopping Cart
If you are ready to order, navigate to Shopping Cart and get ready to checkout.
