Rabbit Apc6/CDC16 Monoclonal Antibody | anti-Apc6/CDC16 antibody
Anti-Apc6/CDC16 Rabbit Monoclonal Antibody
Gene Names
CDC16; APC6; CUT9; ANAPC6
Reactivity
Human, Mouse, Rat
Applications
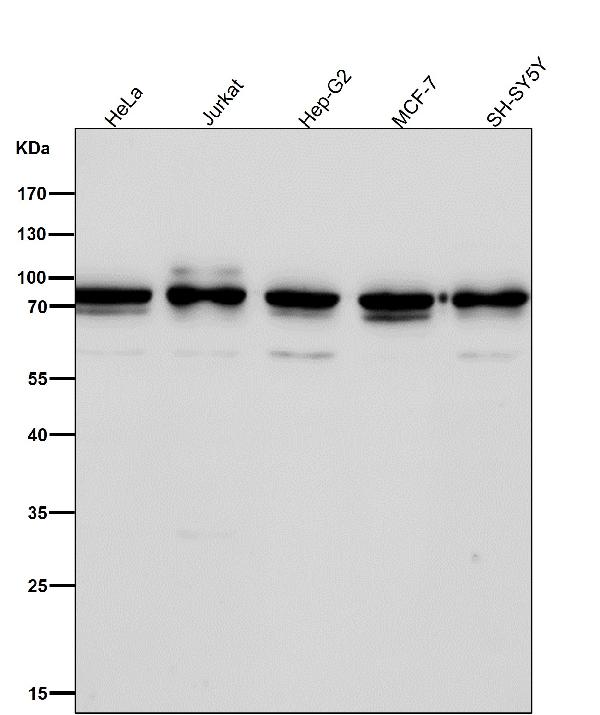
Immunoprecipitation, Western Blot
Purity
Affinity-chromatography
Synonyms
Apc6/CDC16, Antibody; Anti-Apc6/CDC16 Rabbit Monoclonal Antibody; anti-Apc6/CDC16 antibody
Host
Rabbit
Reactivity
Human, Mouse, Rat
Clonality
Monoclonal
Isotype
IgG
Clone Number
31C86
Purity/Purification
Affinity-chromatography
Form/Format
Liquid. Rabbit IgG in phosphate buffered saline, pH 7.4, 150mM NaCl, 0.02% sodium azide and 50% glycerol, 0.4-0.5mg/ml BSA.
Applicable Applications for anti-Apc6/CDC16 antibody
IP (Immunoprecipitation), WB (Western Blot)
Immunogen
A synthesized peptide derived from human Apc6/CDC16
Preparation and Storage
Store at -20 degree C for one year. For short term storage and frequent use, store at 4 degree C for up to one month. Avoid repeated freeze-thaw cycles.
Product Categories/Family for anti-Apc6/CDC16 antibody
NCBI and Uniprot Product Information
NCBI GI #
NCBI GeneID
NCBI Accession #
NCBI GenBank Nucleotide #
Molecular Weight
71,656 Da
NCBI Official Full Name
cell division cycle protein 16 homolog
NCBI Official Synonym Full Names
cell division cycle 16
NCBI Official Symbol
CDC16
NCBI Official Synonym Symbols
APC6; CUT9; ANAPC6
NCBI Protein Information
cell division cycle protein 16 homolog; CDC16Hs; cyclosome subunit 6; cell division cycle 16 homolog; anaphase-promoting complex subunit 6; anaphase-promoting complex, subunit 6
UniProt Protein Name
Cell division cycle protein 16 homolog
UniProt Gene Name
CDC16
UniProt Synonym Gene Names
ANAPC6; APC6; CDC16Hs
UniProt Entry Name
CDC16_HUMAN
Customer Reviews
Loading reviews...
Share Your Experience
Similar Products
Product Notes
The Apc6/CDC16 cdc16 (Catalog #AAA128167) is an Antibody produced from Rabbit and is intended for research purposes only. The product is available for immediate purchase. The Anti-Apc6/CDC16 Rabbit Monoclonal Antibody reacts with Human, Mouse, Rat and may cross-react with other species as described in the data sheet. AAA Biotech's Apc6/CDC16 can be used in a range of immunoassay formats including, but not limited to, IP (Immunoprecipitation), WB (Western Blot). Researchers should empirically determine the suitability of the Apc6/CDC16 cdc16 for an application not listed in the data sheet. Researchers commonly develop new applications and it is an integral, important part of the investigative research process. It is sometimes possible for the material contained within the vial of "Apc6/CDC16, Monoclonal Antibody" to become dispersed throughout the inside of the vial, particularly around the seal of said vial, during shipment and storage. We always suggest centrifuging these vials to consolidate all of the liquid away from the lid and to the bottom of the vial prior to opening. Please be advised that certain products may require dry ice for shipping and that, if this is the case, an additional dry ice fee may also be required.Precautions
All products in the AAA Biotech catalog are strictly for research-use only, and are absolutely not suitable for use in any sort of medical, therapeutic, prophylactic, in-vivo, or diagnostic capacity. By purchasing a product from AAA Biotech, you are explicitly certifying that said products will be properly tested and used in line with industry standard. AAA Biotech and its authorized distribution partners reserve the right to refuse to fulfill any order if we have any indication that a purchaser may be intending to use a product outside of our accepted criteria.Disclaimer
Though we do strive to guarantee the information represented in this datasheet, AAA Biotech cannot be held responsible for any oversights or imprecisions. AAA Biotech reserves the right to adjust any aspect of this datasheet at any time and without notice. It is the responsibility of the customer to inform AAA Biotech of any product performance issues observed or experienced within 30 days of receipt of said product. To see additional details on this or any of our other policies, please see our Terms & Conditions page.Item has been added to Shopping Cart
If you are ready to order, navigate to Shopping Cart and get ready to checkout.
