Mouse ATG5 Monoclonal Antibody | anti-ATG5 antibody
ATG5 mouse Monoclonal Antibody (3C7)
Gene Names
ATG5; ASP; APG5; APG5L; hAPG5; APG5-LIKE
Reactivity
Human, Mouse, Rat
Applications
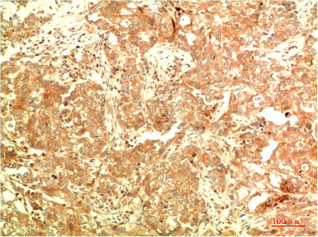
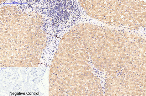
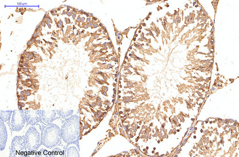
Immunofluorescence, Immunohistochemistry, Western Blot
Synonyms
ATG5, Antibody; ATG5 mouse Monoclonal Antibody (3C7); Autophagy protein 5 (APG5-like)(Apoptosis-specific protein); anti-ATG5 antibody
Host
Mouse
Reactivity
Human, Mouse, Rat
Clonality
Monoclonal
Clone Number
3C7
Applicable Applications for anti-ATG5 antibody
IF (Immunofluorescence), IHC (Immunohistochemistry), WB (Western Blot)
Preparation and Storage
Maintain refrigerated at 2-8 degree C for up to 2 weeks. For long term storage store at -20 degree C in small aliquots to prevent freeze-thaw cycles.
Related Product Information for anti-ATG5 antibody
Involved in autophagic vesicle formation. Conjugation with ATG12, through a ubiquitin-like conjugating system involving ATG7 as an E1-like activating enzyme and ATG10 as an E2-like conjugating enzyme, is essential for its function. The ATG12-ATG5 conjugate acts as an E3-like enzyme which is required for lipidation of ATG8 family proteins and their association to the vesicle membranes. Involved in mitochondrial quality control after oxidative damage, and in subsequent cellular longevity. Plays a critical role in multiple aspects of lymphocyte development and is essential for both B and T lymphocyte survival and proliferation. Required for optimal processing and presentation of antigens for MHC II. Involved in the maintenance of axon morphology and membrane structures, as well as in normal adipocyte differentiation. Promotes primary ciliogenesis through removal of OFD1 from centriolar satellites and degradation of IFT20 via the autophagic pathway.
NCBI and Uniprot Product Information
NCBI GI #
NCBI GeneID
Molecular Weight
275
NCBI Official Full Name
Autophagy protein 5
NCBI Official Synonym Full Names
autophagy related 5
NCBI Official Symbol
ATG5
NCBI Official Synonym Symbols
ASP; APG5; APG5L; hAPG5; APG5-LIKE
NCBI Protein Information
autophagy protein 5; apoptosis-specific protein; ATG5 autophagy related 5 homolog
UniProt Protein Name
Autophagy protein 5
UniProt Gene Name
ATG5
UniProt Synonym Gene Names
APG5L; ASP
UniProt Entry Name
ATG5_HUMAN
Customer Reviews
Loading reviews...
Share Your Experience
Similar Products
Product Notes
The ATG5 atg5 (Catalog #AAA293851) is an Antibody produced from Mouse and is intended for research purposes only. The product is available for immediate purchase. The ATG5 mouse Monoclonal Antibody (3C7) reacts with Human, Mouse, Rat and may cross-react with other species as described in the data sheet. AAA Biotech's ATG5 can be used in a range of immunoassay formats including, but not limited to, IF (Immunofluorescence), IHC (Immunohistochemistry), WB (Western Blot). Researchers should empirically determine the suitability of the ATG5 atg5 for an application not listed in the data sheet. Researchers commonly develop new applications and it is an integral, important part of the investigative research process. It is sometimes possible for the material contained within the vial of "ATG5, Monoclonal Antibody" to become dispersed throughout the inside of the vial, particularly around the seal of said vial, during shipment and storage. We always suggest centrifuging these vials to consolidate all of the liquid away from the lid and to the bottom of the vial prior to opening. Please be advised that certain products may require dry ice for shipping and that, if this is the case, an additional dry ice fee may also be required.Precautions
All products in the AAA Biotech catalog are strictly for research-use only, and are absolutely not suitable for use in any sort of medical, therapeutic, prophylactic, in-vivo, or diagnostic capacity. By purchasing a product from AAA Biotech, you are explicitly certifying that said products will be properly tested and used in line with industry standard. AAA Biotech and its authorized distribution partners reserve the right to refuse to fulfill any order if we have any indication that a purchaser may be intending to use a product outside of our accepted criteria.Disclaimer
Though we do strive to guarantee the information represented in this datasheet, AAA Biotech cannot be held responsible for any oversights or imprecisions. AAA Biotech reserves the right to adjust any aspect of this datasheet at any time and without notice. It is the responsibility of the customer to inform AAA Biotech of any product performance issues observed or experienced within 30 days of receipt of said product. To see additional details on this or any of our other policies, please see our Terms & Conditions page.Item has been added to Shopping Cart
If you are ready to order, navigate to Shopping Cart and get ready to checkout.
