Mouse Basal cell cytokeRatin Monoclonal Antibody
Mouse anti Basal cell cytokeRatin
Reactivity
Canine, Chicken, Guinea Pig, Hamster, Human, Quail, Rabbit, Rat, Zebrafish
Applications
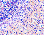
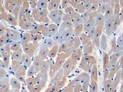
Western Blot, Immunohistochemistry, Immunocytochemistry, Flow Cytometry, Functional Assay
Synonyms
Basal cell cytokeRatin, Antibody; Mouse anti Basal cell cytokeRatin; anti-Basal cell cytokeRatin antibody
Host
Mouse
Reactivity
Canine, Chicken, Guinea Pig, Hamster, Human, Quail, Rabbit, Rat, Zebrafish
Clonality
Monoclonal
Isotype
IgG1
Clone Number
RCK103
Specificity
RCK103 is a cytokeRatin antibody recognizing (amongst others) cytokeRatin 5. This monoclonal antibody stains basal cells in combined and stRatified epithelial tissues. It recognizes the stem cell population, including the so-called amplifying cells in the prostate epithelium.
Form/Format
Each vial contains 100 ul 1 mg/ml purified monoclonal antibody in PBS containing 0.09% sodium azide.
Applicable Applications for anti-Basal cell cytokeRatin antibody
WB (Western Blot), IHC (Immunohistochemistry), ICC (Immunocytochemistry), FCM/FACS (Flow Cytometry)
Source Note
RCK103 is a Mouse monoclonal IgG1 antibody derived by fusion of SP2/0-Ag14 Mouse myeloma cells with spleen cells from a Mouse immunized with a mix of cell prepaRations containing Human cytokeRatins.
Preparation and Storage
Store at 4 degree C, or in small aliquots at -20 degree C.
Related Product Information for anti-Basal cell cytokeRatin antibody
CytokeRatins are a subfamily of intermediate filament proteins and are characterized by a remarkable biochemical diversity, represented in Human epithelial tissues by at least 20 different polypeptides. They range in molecular weight between 40 kDa and 68 kDa and isoelectric pH between 4.9 - 7.8. The individual Human cytokeRatins are numbered 1 to 20. The various epithelia in the Human body usually express cytokeRatins which are not only characteristic of the type of epithelium, but also related to the degree of matuRation or differentiation within an epithelium. CytokeRatin subtype expression patterns are used to an increasing extent in the distinction of different types of epithelial malignancies. The cytokeRatin antibodies are not only of assistance in the differential identification of tumors using immunohistochemistry on tissue sections, but are also a useful tool in cytopathology and flow cytometric assays.
Product Categories/Family for anti-Basal cell cytokeRatin antibody
References
Feitz, W. F., Debruyne, F. M., Vooijs, G. P., Herman, C. J., and Ramaekers, F. C. (1986). Intermediate filament proteins as tissue specific markers in normal and malignant urological tissues, J Urol 136, 922-31. Verhagen, A. P., Aalders, T. W., Ramaekers, F. C., Debruyne, F. M., and Schalken, J. A. (1988). Differential expression of keRatins in the basal and luminal compartments of Rat prostatic epithelium during degeneRation and regeneRation, Prostate 13, 25-38.Schaafsma, H. E., Ramaekers, F. C., van Muijen, G. N., Ooms, E. C., and Ruiter, D. J. (1989). Distribution of cytokeRatin polypeptides in epithelia of the adult Human urinary tract, Histochemistry 91, 151-9.Smedts, F., Ramaekers, F., Robben, H., Pruszczynski, M., van Muijen, G., Lane, B., Leigh, I., and Vooijs, P. (1990). Changing patterns of keRatin expression during progression of cervical intraepithelial neoplasia, Am J Pathol 136, 657-68.Kuijpers, W., Tonnaer, E. L., Peters, T. A., and Ramaekers, F. C. (1991). Expression of intermediate filament proteins in the mature inner ear of the Rat and Guinea Pig, Hear Res 52, 133-46.Vos, J. H., van den Ingh, T. S., de Neijs, M., van Mil, F. N., Ivanyi, D., and Ramaekers, F. C. (1992). Immunohistochemistry with keRatin monoclonal antibodies in canine tissues: urogenital tract, respiRatory tract, (neuro-) endocrine tissues, choroid plexus and spinal cord, J Vet Med 39, 721-40.Vos, J. H., van den Ingh, T. S., Ramaekers, F. C., Molenbeek, R. F., de Neijs, M., van Mil, F. N., and Ivanyi, D. (1993). The expression of keRatins, vimentin, neurofilament proteins, smooth muscle actin, neuron-specific enolase, and synaptophysin in tumors of the specific glands in the canine anal region, Vet Pathol 30, 352-61.Verhagen, A. P., Ramaekers, F. C., Aalders, T. W., Schaafsma, H. E., Debruyne, F. M., and Schalken, J. A. (1992). Colocalization of basal and luminal cell-type cytokeRatins in Human prostate cancer, Cancer Res 52, 6182-7.van Leenders, G., Dijkman, H., Hulsbergen-van de Kaa, C., Ruiter, D., and Schalken, J. (2000). DemonstRation of intermediate cells during Human prostate epithelial differentiation in situ and in vitro using triple-staining confocal scanning microscopy, Lab Invest 80, 1251-8.
Customer Reviews
Loading reviews...
Share Your Experience
Similar Products
Product Notes
The Basal cell cytokeRatin (Catalog #AAA77471) is an Antibody produced from Mouse and is intended for research purposes only. The product is available for immediate purchase. The Mouse anti Basal cell cytokeRatin reacts with Canine, Chicken, Guinea Pig, Hamster, Human, Quail, Rabbit, Rat, Zebrafish and may cross-react with other species as described in the data sheet. AAA Biotech's Basal cell cytokeRatin can be used in a range of immunoassay formats including, but not limited to, WB (Western Blot), IHC (Immunohistochemistry), ICC (Immunocytochemistry), FCM/FACS (Flow Cytometry). Researchers should empirically determine the suitability of the Basal cell cytokeRatin for an application not listed in the data sheet. Researchers commonly develop new applications and it is an integral, important part of the investigative research process. It is sometimes possible for the material contained within the vial of "Basal cell cytokeRatin, Monoclonal Antibody" to become dispersed throughout the inside of the vial, particularly around the seal of said vial, during shipment and storage. We always suggest centrifuging these vials to consolidate all of the liquid away from the lid and to the bottom of the vial prior to opening. Please be advised that certain products may require dry ice for shipping and that, if this is the case, an additional dry ice fee may also be required.Precautions
All products in the AAA Biotech catalog are strictly for research-use only, and are absolutely not suitable for use in any sort of medical, therapeutic, prophylactic, in-vivo, or diagnostic capacity. By purchasing a product from AAA Biotech, you are explicitly certifying that said products will be properly tested and used in line with industry standard. AAA Biotech and its authorized distribution partners reserve the right to refuse to fulfill any order if we have any indication that a purchaser may be intending to use a product outside of our accepted criteria.Disclaimer
Though we do strive to guarantee the information represented in this datasheet, AAA Biotech cannot be held responsible for any oversights or imprecisions. AAA Biotech reserves the right to adjust any aspect of this datasheet at any time and without notice. It is the responsibility of the customer to inform AAA Biotech of any product performance issues observed or experienced within 30 days of receipt of said product. To see additional details on this or any of our other policies, please see our Terms & Conditions page.Item has been added to Shopping Cart
If you are ready to order, navigate to Shopping Cart and get ready to checkout.
