Host
Mouse
Reactivity
Human, Mouse, Rat
Clonality
Monoclonal
Clone Number
1C1
Applicable Applications for anti-Bax antibody
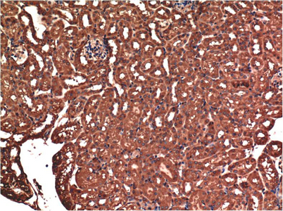
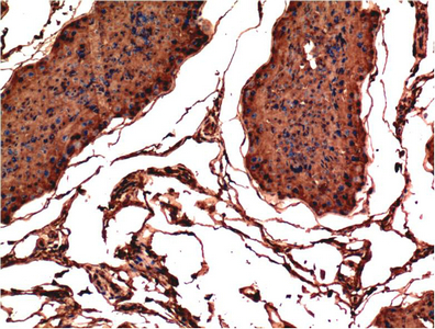
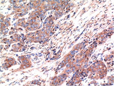
IHC (Immunohistochemistry), WB (Western Blot)
Preparation and Storage
Maintain refrigerated at 2-8 degree C for up to 2 weeks. For long term storage store at -20 degree C in small aliquots to prevent freeze-thaw cycles.
Related Product Information for anti-Bax antibody
Plays a role in the mitochondrial apoptotic process. Under normal conditions, BAX is largely cytosolic via constant retrotranslocation from mitochondria to the cytosol mediated by BCL2L1/Bcl-xL, which avoids accumulation of toxic BAX levels at the mitochondrial outer membrane (MOM)(PubMed:21458670). Under stress conditions, undergoes a conformation change that causes translocation to the mitochondrion membrane, leading to the release of cytochrome c that then triggers apoptosis. Promotes activation of CASP3, and thereby apoptosis.
NCBI and Uniprot Product Information
NCBI GI #
NCBI GeneID
NCBI Accession #
NCBI GenBank Nucleotide #
UniProt Accession #
Molecular Weight
21,184 Da
NCBI Official Full Name
apoptosis regulator BAX isoform beta
NCBI Official Synonym Full Names
BCL2-associated X protein
NCBI Official Symbol
BAX
NCBI Official Synonym Symbols
BCL2L4
NCBI Protein Information
apoptosis regulator BAX; bcl2-L-4; bcl-2-like protein 4; BCL2-associated X protein omega; BCL2-associated X protein transcript variant delta2
UniProt Protein Name
Apoptosis regulator BAX
UniProt Gene Name
BAX
UniProt Synonym Gene Names
BCL2L4; Bcl2-L-4
UniProt Entry Name
BAX_HUMAN
Customer Reviews
Loading reviews...
Share Your Experience
Similar Products
Product Notes
The Bax bax (Catalog #AAA293777) is an Antibody produced from Mouse and is intended for research purposes only. The product is available for immediate purchase. The Bax mouse Monoclonal Antibody (1C1) reacts with Human, Mouse, Rat and may cross-react with other species as described in the data sheet. AAA Biotech's Bax can be used in a range of immunoassay formats including, but not limited to, IHC (Immunohistochemistry), WB (Western Blot). Researchers should empirically determine the suitability of the Bax bax for an application not listed in the data sheet. Researchers commonly develop new applications and it is an integral, important part of the investigative research process. It is sometimes possible for the material contained within the vial of "Bax, Monoclonal Antibody" to become dispersed throughout the inside of the vial, particularly around the seal of said vial, during shipment and storage. We always suggest centrifuging these vials to consolidate all of the liquid away from the lid and to the bottom of the vial prior to opening. Please be advised that certain products may require dry ice for shipping and that, if this is the case, an additional dry ice fee may also be required.Precautions
All products in the AAA Biotech catalog are strictly for research-use only, and are absolutely not suitable for use in any sort of medical, therapeutic, prophylactic, in-vivo, or diagnostic capacity. By purchasing a product from AAA Biotech, you are explicitly certifying that said products will be properly tested and used in line with industry standard. AAA Biotech and its authorized distribution partners reserve the right to refuse to fulfill any order if we have any indication that a purchaser may be intending to use a product outside of our accepted criteria.Disclaimer
Though we do strive to guarantee the information represented in this datasheet, AAA Biotech cannot be held responsible for any oversights or imprecisions. AAA Biotech reserves the right to adjust any aspect of this datasheet at any time and without notice. It is the responsibility of the customer to inform AAA Biotech of any product performance issues observed or experienced within 30 days of receipt of said product. To see additional details on this or any of our other policies, please see our Terms & Conditions page.Item has been added to Shopping Cart
If you are ready to order, navigate to Shopping Cart and get ready to checkout.
