Mouse Bcl-2 Monoclonal Antibody | anti-Bcl-2 antibody
Bcl-2 Mouse mAb
Gene Names
BCL2; Bcl-2; PPP1R50
Reactivity
Human, Rat, Mouse
Applications
Immunofluorescence, Immunohistochemistry, Western Blot
Synonyms
Bcl-2, Antibody; Bcl-2 Mouse mAb; B-Cell Leukemia/Lymphoma 2 ;B-Cell CLL/Lymphoma 2; anti-Bcl-2 antibody
Host
Mouse
Reactivity
Human, Rat, Mouse
Clonality
Monoclonal
Isotype
IgG1
Form/Format
PBS with 0.02% sodium azide and 50% glycerol pH7.4.
Concentration
1mg/ml (varies by lot)
Applicable Applications for anti-Bcl-2 antibody
IF (Immunofluorescence), IHC (Immunohistochemistry), WB (Western Blot)
Species
Human
Immunogen
Synthetic Peptide
Preparation and Storage
Store at -20 degree C. Avoid repeated freeze-thaw cycles.
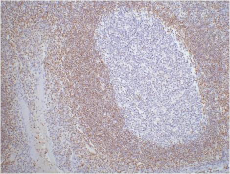
IHC (Immunohiostchemistry)
(IHC staining of Human tonsil tissue paraffin-embedded with Bcl-2 mouse mAb(6B5)diluted at 1:200.)
Related Product Information for anti-Bcl-2 antibody
BCL2 is an integral outer mitochondrial membrane protein that blocks the apoptotic death of some cells such as lymphocytes. Constitutive expression of BCL2, such as in the case of translocation of BCL2 to Ig heavy chain locus, is thought to be the cause of follicular lymphoma. BCL2 suppresses apoptosis in a variety of cell systems including factor-dependent lymphohematopoietic and neural cells. It regulates cell death by controlling the mitochondrial membrane permeability.
Product Categories/Family for anti-Bcl-2 antibody
NCBI and Uniprot Product Information
NCBI GI #
NCBI GeneID
NCBI Accession #
NCBI GenBank Nucleotide #
Molecular Weight
26,266 Da
NCBI Official Full Name
apoptosis regulator Bcl-2 alpha isoform
NCBI Official Synonym Full Names
B-cell CLL/lymphoma 2
NCBI Official Symbol
BCL2
NCBI Official Synonym Symbols
Bcl-2; PPP1R50
NCBI Protein Information
apoptosis regulator Bcl-2; protein phosphatase 1, regulatory subunit 50
UniProt Protein Name
Apoptosis regulator Bcl-2
UniProt Gene Name
BCL2
UniProt Entry Name
BCL2_HUMAN
Similar Products
Product Notes
The Bcl-2 bcl2 (Catalog #AAA276784) is an Antibody produced from Mouse and is intended for research purposes only. The product is available for immediate purchase. The Bcl-2 Mouse mAb reacts with Human, Rat, Mouse and may cross-react with other species as described in the data sheet. AAA Biotech's Bcl-2 can be used in a range of immunoassay formats including, but not limited to, IF (Immunofluorescence), IHC (Immunohistochemistry), WB (Western Blot). Researchers should empirically determine the suitability of the Bcl-2 bcl2 for an application not listed in the data sheet. Researchers commonly develop new applications and it is an integral, important part of the investigative research process. It is sometimes possible for the material contained within the vial of "Bcl-2, Monoclonal Antibody" to become dispersed throughout the inside of the vial, particularly around the seal of said vial, during shipment and storage. We always suggest centrifuging these vials to consolidate all of the liquid away from the lid and to the bottom of the vial prior to opening. Please be advised that certain products may require dry ice for shipping and that, if this is the case, an additional dry ice fee may also be required.Precautions
All products in the AAA Biotech catalog are strictly for research-use only, and are absolutely not suitable for use in any sort of medical, therapeutic, prophylactic, in-vivo, or diagnostic capacity. By purchasing a product from AAA Biotech, you are explicitly certifying that said products will be properly tested and used in line with industry standard. AAA Biotech and its authorized distribution partners reserve the right to refuse to fulfill any order if we have any indication that a purchaser may be intending to use a product outside of our accepted criteria.Disclaimer
Though we do strive to guarantee the information represented in this datasheet, AAA Biotech cannot be held responsible for any oversights or imprecisions. AAA Biotech reserves the right to adjust any aspect of this datasheet at any time and without notice. It is the responsibility of the customer to inform AAA Biotech of any product performance issues observed or experienced within 30 days of receipt of said product. To see additional details on this or any of our other policies, please see our Terms & Conditions page.Item has been added to Shopping Cart
If you are ready to order, navigate to Shopping Cart and get ready to checkout.
