Mouse Beclin-1 Monoclonal Antibody | anti-BECN1 antibody
Beclin-1 mouse Monoclonal Antibody (5C2)
Gene Names
BECN1; ATG6; VPS30; beclin1
Reactivity
Human, Mouse, Rat
Applications
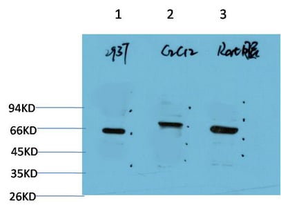
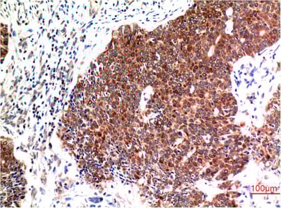
Immunohistochemistry, Western Blot
Synonyms
Beclin-1, Antibody; Beclin-1 mouse Monoclonal Antibody (5C2); BECN1; anti-BECN1 antibody
Host
Mouse
Reactivity
Human, Mouse, Rat
Clonality
Monoclonal
Clone Number
5C2
Applicable Applications for anti-BECN1 antibody
IHC (Immunohistochemistry), WB (Western Blot)
Preparation and Storage
Maintain refrigerated at 2-8 degree C for up to 2 weeks. For long term storage store at -20 degree C in small aliquots to prevent freeze-thaw cycles.
Related Product Information for anti-BECN1 antibody
Plays a central role in autophagy (PubMed:28445460). Acts as core subunit of the PI3K complex that mediates formation of phosphatidylinositol 3-phosphate; different complex forms are believed to play a role in multiple membrane trafficking pathways: PI3KC3-C1 is involved in initiation of autophagosomes and PI3KC3-C2 in maturation of autophagosomes and endocytosis. Involved in regulation of degradative endocytic trafficking and required for the abcission step in cytokinesis, probably in the context of PI3KC3-C2 (PubMed:20208530, PubMed:26783301). Essential for the formation of PI3KC3-C2 but not PI3KC3-C1 PI3K complex forms. Involved in endocytosis (PubMed:25275521). Protects against infection by a neurovirulent strain of Sindbis virus (PubMed:9765397). May play a role in antiviral host defense.
NCBI and Uniprot Product Information
NCBI GI #
NCBI GeneID
Molecular Weight
51,896 Da
NCBI Official Full Name
beclin 1
NCBI Official Synonym Full Names
beclin 1, autophagy related
NCBI Official Symbol
BECN1
NCBI Official Synonym Symbols
ATG6; VPS30; beclin1
NCBI Protein Information
beclin-1; ATG6 autophagy related 6 homolog; coiled-coil myosin-like BCL2-interacting protein; beclin 1 (coiled-coil, moesin-like BCL2 interacting protein); beclin 1 (coiled-coil, moesin-like BCL2-interacting protein)
UniProt Protein Name
Beclin-1
UniProt Gene Name
BECN1
UniProt Synonym Gene Names
GT197
UniProt Entry Name
BECN1_HUMAN
Customer Reviews
Loading reviews...
Share Your Experience
Similar Products
Product Notes
The BECN1 becn1 (Catalog #AAA293791) is an Antibody produced from Mouse and is intended for research purposes only. The product is available for immediate purchase. The Beclin-1 mouse Monoclonal Antibody (5C2) reacts with Human, Mouse, Rat and may cross-react with other species as described in the data sheet. AAA Biotech's Beclin-1 can be used in a range of immunoassay formats including, but not limited to, IHC (Immunohistochemistry), WB (Western Blot). Researchers should empirically determine the suitability of the BECN1 becn1 for an application not listed in the data sheet. Researchers commonly develop new applications and it is an integral, important part of the investigative research process. It is sometimes possible for the material contained within the vial of "Beclin-1, Monoclonal Antibody" to become dispersed throughout the inside of the vial, particularly around the seal of said vial, during shipment and storage. We always suggest centrifuging these vials to consolidate all of the liquid away from the lid and to the bottom of the vial prior to opening. Please be advised that certain products may require dry ice for shipping and that, if this is the case, an additional dry ice fee may also be required.Precautions
All products in the AAA Biotech catalog are strictly for research-use only, and are absolutely not suitable for use in any sort of medical, therapeutic, prophylactic, in-vivo, or diagnostic capacity. By purchasing a product from AAA Biotech, you are explicitly certifying that said products will be properly tested and used in line with industry standard. AAA Biotech and its authorized distribution partners reserve the right to refuse to fulfill any order if we have any indication that a purchaser may be intending to use a product outside of our accepted criteria.Disclaimer
Though we do strive to guarantee the information represented in this datasheet, AAA Biotech cannot be held responsible for any oversights or imprecisions. AAA Biotech reserves the right to adjust any aspect of this datasheet at any time and without notice. It is the responsibility of the customer to inform AAA Biotech of any product performance issues observed or experienced within 30 days of receipt of said product. To see additional details on this or any of our other policies, please see our Terms & Conditions page.Item has been added to Shopping Cart
If you are ready to order, navigate to Shopping Cart and get ready to checkout.
