Mouse beta II tubulin Monoclonal Antibody | anti-TUBB2A antibody
beta II tubulin Monoclonal Antibody (Mix)
Gene Names
TUBB2A; TUBB; TUBB2; dJ40E16.7
Reactivity
Mouse, Rat, Human
Applications
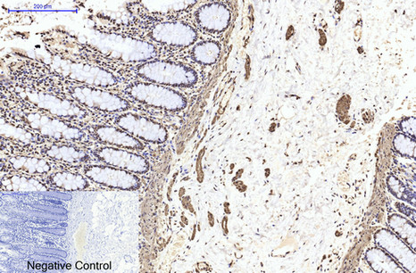
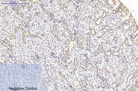
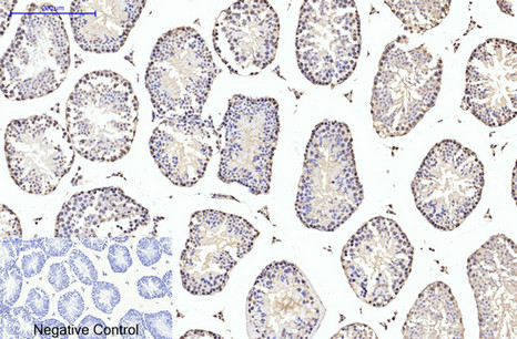
Immunoprecipitation, Immunofluorescence, Immunohistochemistry, Western Blot
Purity
The antibody was affinity-purified from mouse ascites by affinity-chromatography using specific immunogen.
Synonyms
beta II tubulin, Antibody; beta II tubulin Monoclonal Antibody (Mix); Tubulin beta-2A chain; anti-TUBB2A antibody
Host
Mouse
Reactivity
Mouse, Rat, Human
Clonality
Monoclonal
Clone Number
Mix
Specificity
The antibody detects endogenous beta II tubulin protein.
Purity/Purification
The antibody was affinity-purified from mouse ascites by affinity-chromatography using specific immunogen.
Form/Format
PBS, pH 7.4, containing 0.5%BSA, 0.02% sodium azide as Preservative and 50% Glycerol.
Applicable Applications for anti-TUBB2A antibody
IP (Immunoprecipitation), IF (Immunofluorescence), IHC (Immunohistochemistry), WB (Western Blot)
Immunogen
Synthetic Peptide of beta II tubulin
Modification
Unmodified/Total
Preparation and Storage
Store at -20 degree C/1 year
Related Product Information for anti-TUBB2A antibody
Microtubules, key participants in processes such as mitosis and intracellular transport, are composed of heterodimers of alpha- and beta-tubulins.The protein encoded by this gene is a beta-tubulin. Defects in this gene are associated with complex cortical dysplasia with other brain malformations-5. Two transcript variants encoding distinct isoforms have been found for this gene. [provided by RefSeq, Jul 2015]
Product Categories/Family for anti-TUBB2A antibody
NCBI and Uniprot Product Information
NCBI GI #
NCBI GeneID
Molecular Weight
49,907 Da
NCBI Official Full Name
TUBB
NCBI Official Synonym Full Names
tubulin, beta 2A class IIa
NCBI Official Symbol
TUBB2A
NCBI Official Synonym Symbols
TUBB; TUBB2; dJ40E16.7
NCBI Protein Information
tubulin beta-2A chain; class IIa beta-tubulin; tubulin beta class IIa; tubulin, beta polypeptide 2
UniProt Protein Name
Tubulin beta-2A chain
UniProt Gene Name
TUBB2A
UniProt Synonym Gene Names
TUBB2
UniProt Entry Name
TBB2A_HUMAN
Customer Reviews
Loading reviews...
Share Your Experience
Similar Products
Product Notes
The TUBB2A tubb2a (Catalog #AAA320448) is an Antibody produced from Mouse and is intended for research purposes only. The product is available for immediate purchase. The beta II tubulin Monoclonal Antibody (Mix) reacts with Mouse, Rat, Human and may cross-react with other species as described in the data sheet. AAA Biotech's beta II tubulin can be used in a range of immunoassay formats including, but not limited to, IP (Immunoprecipitation), IF (Immunofluorescence), IHC (Immunohistochemistry), WB (Western Blot). Researchers should empirically determine the suitability of the TUBB2A tubb2a for an application not listed in the data sheet. Researchers commonly develop new applications and it is an integral, important part of the investigative research process. It is sometimes possible for the material contained within the vial of "beta II tubulin, Monoclonal Antibody" to become dispersed throughout the inside of the vial, particularly around the seal of said vial, during shipment and storage. We always suggest centrifuging these vials to consolidate all of the liquid away from the lid and to the bottom of the vial prior to opening. Please be advised that certain products may require dry ice for shipping and that, if this is the case, an additional dry ice fee may also be required.Precautions
All products in the AAA Biotech catalog are strictly for research-use only, and are absolutely not suitable for use in any sort of medical, therapeutic, prophylactic, in-vivo, or diagnostic capacity. By purchasing a product from AAA Biotech, you are explicitly certifying that said products will be properly tested and used in line with industry standard. AAA Biotech and its authorized distribution partners reserve the right to refuse to fulfill any order if we have any indication that a purchaser may be intending to use a product outside of our accepted criteria.Disclaimer
Though we do strive to guarantee the information represented in this datasheet, AAA Biotech cannot be held responsible for any oversights or imprecisions. AAA Biotech reserves the right to adjust any aspect of this datasheet at any time and without notice. It is the responsibility of the customer to inform AAA Biotech of any product performance issues observed or experienced within 30 days of receipt of said product. To see additional details on this or any of our other policies, please see our Terms & Conditions page.Item has been added to Shopping Cart
If you are ready to order, navigate to Shopping Cart and get ready to checkout.
