Mouse c-Myc Oncoprotein Monoclonal Antibody | anti-MYC antibody
c-Myc Oncoprotein
Gene Names
MYC; MRTL; MYCC; c-Myc; bHLHe39
Reactivity
HumanDoes not react with Mouse, Rat,, Chicken
Applications
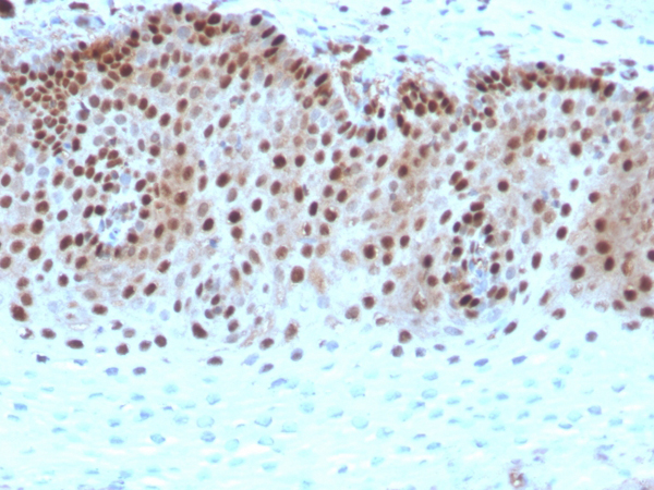
Immunohistochemistry
Purity
Purified Ab with BSA and Azide at 200ug/ml or Purified Ab with BSA and Azide at 200ug/ml or Purified Ab WITHOUT BSA and Azide at 1.0mg/ml
Synonyms
c-Myc Oncoprotein, Antibody; c-Myc Oncoprotein; Class E basic helix-loop-helix protein 39 (bHLHe39); MRTL; Myc2; Niard; Nird; Proto-oncogene c-Myc; RNCMYC; Transcription factor p64; Transcriptional regulator Myc-A; V-Myc avian myelocytomatosis viral oncogene homolog; anti-MYC antibody
Host
Mouse
Reactivity
Human
Does not react with Mouse, Rat,, Chicken
Does not react with Mouse, Rat,, Chicken
Clonality
Monoclonal
Isotype
IgG1, kappa
Clone Number
rMYC909
Specificity
It recognizes a transcription factor of 64-67kDa, identified as c-myc. Its epitope spans between aa 410-419 (EQKLISEEDL) which is a specific portion of an alpha helical region of human c-myc protein. This MAb shows no cross-reaction with v-myc. c-myc is involved in the control of cell proliferation and differentiation and is amplified and/or overexpressed in a variety of tumors. Over-expression of c-myc protein occurs frequently in luminal cells of prostate intraepithelial neoplasia as well as in most primary carcinomas and metastatic disease.
Purity/Purification
Purified Ab with BSA and Azide at 200ug/ml or Purified Ab with BSA and Azide at 200ug/ml or Purified Ab WITHOUT BSA and Azide at 1.0mg/ml
Form/Format
200ug/ml of Ab purified from Bioreactor Concentrate by Protein A/G. Prepared in 10mM PBS with 0.05% BSA & 0.05% azide. Also available WITHOUT BSA & azide at 1.0mg/ml.
Sequence Length
454
Applicable Applications for anti-MYC antibody
IHC (Immunohistochemistry)
Immunogen
A synthetic peptide, corresponding to aa 408-439 (AEEQKLISEEDLLRKRREQLKHKLEQLRNSCA) from C-terminus of Human c-myc, coupled to KLH.
Cellular Localization
Nuclear
Antibody Type
Recombinant Antibody
Hu-chromosome Location
8q24.21
Positive Control
HL-60 cells or Cervical Carcinoma
Preparation and Storage
Antibody with azide: store at 2 to 8 degree C.
Antibody without azide: store at -20 to -80 degree C.
Antibody is stable for 24 months. Non-hazardous. No MSDS required.
Antibody without azide: store at -20 to -80 degree C.
Antibody is stable for 24 months. Non-hazardous. No MSDS required.
References
Evan GI, et. al. Molecular and Cellular Biology, 1985, 5(12):3610-6.
NCBI and Uniprot Product Information
NCBI GI #
NCBI GeneID
NCBI Accession #
NCBI GenBank Nucleotide #
UniProt Accession #
Molecular Weight
62-64kDa
NCBI Official Full Name
myc proto-oncogene protein isoform 1
NCBI Official Synonym Full Names
MYC proto-oncogene, bHLH transcription factor
NCBI Official Symbol
MYC
NCBI Official Synonym Symbols
MRTL; MYCC; c-Myc; bHLHe39
NCBI Protein Information
myc proto-oncogene protein
UniProt Protein Name
Myc proto-oncogene protein
UniProt Gene Name
MYC
UniProt Synonym Gene Names
BHLHE39; bHLHe39
UniProt Entry Name
MYC_HUMAN
Customer Reviews
Loading reviews...
Share Your Experience
Similar Products
Product Notes
The MYC myc (Catalog #AAA215381) is an Antibody produced from Mouse and is intended for research purposes only. The product is available for immediate purchase. The c-Myc Oncoprotein reacts with Human Does not react with Mouse, Rat,, Chicken and may cross-react with other species as described in the data sheet. AAA Biotech's c-Myc Oncoprotein can be used in a range of immunoassay formats including, but not limited to, IHC (Immunohistochemistry). Researchers should empirically determine the suitability of the MYC myc for an application not listed in the data sheet. Researchers commonly develop new applications and it is an integral, important part of the investigative research process. It is sometimes possible for the material contained within the vial of "c-Myc Oncoprotein, Monoclonal Antibody" to become dispersed throughout the inside of the vial, particularly around the seal of said vial, during shipment and storage. We always suggest centrifuging these vials to consolidate all of the liquid away from the lid and to the bottom of the vial prior to opening. Please be advised that certain products may require dry ice for shipping and that, if this is the case, an additional dry ice fee may also be required.Precautions
All products in the AAA Biotech catalog are strictly for research-use only, and are absolutely not suitable for use in any sort of medical, therapeutic, prophylactic, in-vivo, or diagnostic capacity. By purchasing a product from AAA Biotech, you are explicitly certifying that said products will be properly tested and used in line with industry standard. AAA Biotech and its authorized distribution partners reserve the right to refuse to fulfill any order if we have any indication that a purchaser may be intending to use a product outside of our accepted criteria.Disclaimer
Though we do strive to guarantee the information represented in this datasheet, AAA Biotech cannot be held responsible for any oversights or imprecisions. AAA Biotech reserves the right to adjust any aspect of this datasheet at any time and without notice. It is the responsibility of the customer to inform AAA Biotech of any product performance issues observed or experienced within 30 days of receipt of said product. To see additional details on this or any of our other policies, please see our Terms & Conditions page.Item has been added to Shopping Cart
If you are ready to order, navigate to Shopping Cart and get ready to checkout.
