Rabbit anti-Human Caldesmon, HMW (h-Caldesmon) Monoclonal Antibody | anti-CALD1 antibody
Caldesmon, HMW (h-Caldesmon)(Smooth Muscle Marker) Recombinant Rabbit Monoclonal Antibody [Clone CALD1/7024R]
Gene Names
CALD1; CDM; HCAD; LCAD; H-CAD; L-CAD; NAG22
Reactivity
Human
Applications
Immunohistochemistry, Western Blot
Synonyms
Caldesmon, HMW (h-Caldesmon), Antibody; Caldesmon, HMW (h-Caldesmon)(Smooth Muscle Marker) Recombinant Rabbit Monoclonal Antibody [Clone CALD1/7024R]; Caldesmon, HMW (h-Caldesmon)(Smooth Muscle Marker); CAD; CALD1; Caldesmon 1 Isoform 1; Caldesmon 1 Isoform 2; Caldesmon 1 Isoform 3; Caldesmon 1 Isoform 4; Caldesmon 1 Isoform 5; CDM; HCAD; LCAD; NAG22; anti-CALD1 antibody
Host
Rabbit
Reactivity
Human
Clonality
Monoclonal
Isotype
Rabbit/IgG
Clone Number
CALD1/7024R
Form/Format
200ug/ml of Ab purified by Protein A/G. Prepared in 10mM PBS with0. 05% BSA & 0. 05% azide. Also available WITHOUT BSA & azide at 1.0mg/ml.
Concentration
Purified Ab with BSA and Azide at 200ug/ml
OR
Purified Ab WITHOUT BSA and Azide at 1.0mg/ml (varies by lot)
OR
Purified Ab WITHOUT BSA and Azide at 1.0mg/ml (varies by lot)
Applicable Applications for anti-CALD1 antibody
IHC (Immunohistochemistry), WB (Western Blot)
Antibody Type
Recombinant Antibody
Immunogen
Recombinant human full-length CALD1 protein
Cellular Localization
Cytoplasm
Positive Control
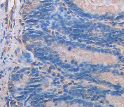
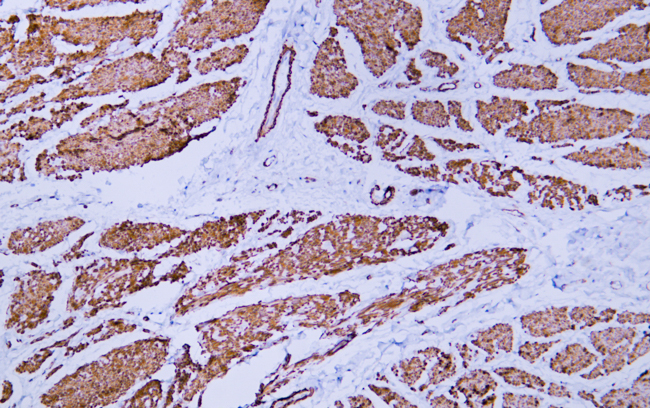
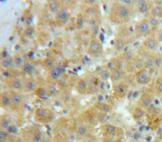
Blood vessels in all tissues, smooth muscle or leiomyosarcoma.
Hu-chromosome Location
7q33
Unigene
490203
Preparation and Storage
Antibody with azide: store at 2 to 8 degree C
Antibody without azide: store at -20 to -80 degree C
Antibody is stable for 24 months. Non-hazardous. No MSDS required.
Antibody without azide: store at -20 to -80 degree C
Antibody is stable for 24 months. Non-hazardous. No MSDS required.
Related Product Information for anti-CALD1 antibody
Recognizes a protein of 150kDa, which is identified as the high molecular weight variant of Caldesmon. Two closely related variants of human caldesmon have been identified which are different in their electrophoretic mobility and cellular distribution. The h-caldesmon variant (120 150kDa) is predominantly expressed in smooth muscle whereas l-caldesmon (70 80kDa) is found in non- muscle tissue and cells. Neither of the two variants has been detected in skeletal muscle. This MAb recognizes only the 150kDa variant (h-caldesmon) in Western blots of human aortic media extracts and is unreactive with fibroblast extracts from cultivated human foreskin. Caldesmon is a developmentally regulated protein involved in smooth muscle and non-muscle contraction.
NCBI and Uniprot Product Information
NCBI GI #
NCBI GeneID
NCBI Accession #
NCBI GenBank Nucleotide #
Molecular Weight
93,231 Da
NCBI Official Full Name
caldesmon isoform 2
NCBI Official Synonym Full Names
caldesmon 1
NCBI Official Symbol
CALD1
NCBI Official Synonym Symbols
CDM; HCAD; LCAD; H-CAD; L-CAD; NAG22
NCBI Protein Information
caldesmon
UniProt Protein Name
Caldesmon
UniProt Gene Name
CALD1
UniProt Synonym Gene Names
CAD; CDM; CDM
UniProt Entry Name
CALD1_HUMAN
Customer Reviews
Loading reviews...
Share Your Experience
Similar Products
Product Notes
The CALD1 cald1 (Catalog #AAA215996) is an Antibody produced from Rabbit and is intended for research purposes only. The product is available for immediate purchase. The Caldesmon, HMW (h-Caldesmon)(Smooth Muscle Marker) Recombinant Rabbit Monoclonal Antibody [Clone CALD1/7024R] reacts with Human and may cross-react with other species as described in the data sheet. AAA Biotech's Caldesmon, HMW (h-Caldesmon) can be used in a range of immunoassay formats including, but not limited to, IHC (Immunohistochemistry), WB (Western Blot). Researchers should empirically determine the suitability of the CALD1 cald1 for an application not listed in the data sheet. Researchers commonly develop new applications and it is an integral, important part of the investigative research process. It is sometimes possible for the material contained within the vial of "Caldesmon, HMW (h-Caldesmon), Monoclonal Antibody" to become dispersed throughout the inside of the vial, particularly around the seal of said vial, during shipment and storage. We always suggest centrifuging these vials to consolidate all of the liquid away from the lid and to the bottom of the vial prior to opening. Please be advised that certain products may require dry ice for shipping and that, if this is the case, an additional dry ice fee may also be required.Precautions
All products in the AAA Biotech catalog are strictly for research-use only, and are absolutely not suitable for use in any sort of medical, therapeutic, prophylactic, in-vivo, or diagnostic capacity. By purchasing a product from AAA Biotech, you are explicitly certifying that said products will be properly tested and used in line with industry standard. AAA Biotech and its authorized distribution partners reserve the right to refuse to fulfill any order if we have any indication that a purchaser may be intending to use a product outside of our accepted criteria.Disclaimer
Though we do strive to guarantee the information represented in this datasheet, AAA Biotech cannot be held responsible for any oversights or imprecisions. AAA Biotech reserves the right to adjust any aspect of this datasheet at any time and without notice. It is the responsibility of the customer to inform AAA Biotech of any product performance issues observed or experienced within 30 days of receipt of said product. To see additional details on this or any of our other policies, please see our Terms & Conditions page.Item has been added to Shopping Cart
If you are ready to order, navigate to Shopping Cart and get ready to checkout.
