Mouse anti-Human Carcinoembryonic Antigen (CEA) /CD66 Monoclonal Antibody | anti-CEACAM1 antibody
Carcinoembryonic Antigen (CEA) /CD66 Mouse Monoclonal Antibody
Gene Names
CEACAM5; CEA; CD66e
Reactivity
Human
Applications
Immunohistochemistry, Western Blot, Immunofluorescence, Flow Cytometry, Functional Assay
Synonyms
Carcinoembryonic Antigen (CEA) /CD66, Antibody; Carcinoembryonic Antigen (CEA) /CD66 Mouse Monoclonal Antibody; Carcinoembryonic Antigen-related Cell Adhesion Molecule 5, CEACAM5, CD66, Biliary Glycoprotein (BGP-1); anti-CEACAM1 antibody
Host
Mouse
Reactivity
Human
Clonality
Monoclonal
Isotype
IgG2a, kappa
Clone Number
COL-1
Specificity
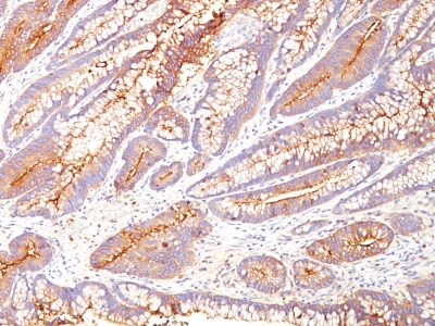
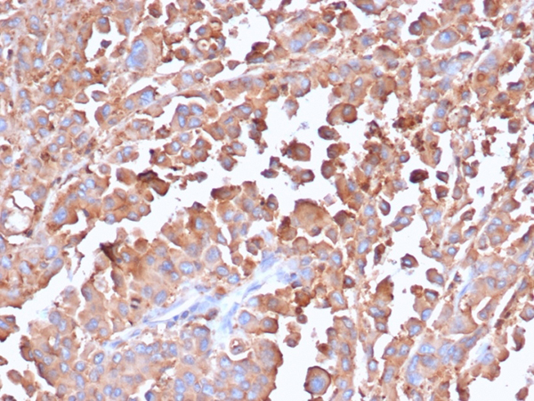
This antibody recognizes proteins of 80-200kDa, identified as different members of CEA family. CEA is synthesized during development in the fetal gut and is re-expressed in increased amounts in intestinal carcinomas and several other tumors. This MAb does not react with nonspecific cross-reacting antigen (NCA) and with human polymorphonuclear leucocytes. It shows no reaction with a variety of normal tissues and is suitable for staining of formalin/paraffin tissues. CEA is not found in benign glands, stroma, or malignant prostatic cells. Antibody to CEA is useful in detecting early foci of gastric carcinoma and in distinguishing pulmonary adenocarcinomas (60-70% are CEA+) from pleural mesotheliomas (rarely or weakly CEA+). Anti-CEA positivity is seen in adenocarcinomas from the lung, colon, stomach, esophagus, pancreas, gallbadder, urachus, salivary gland, ovary, and endocervix.
Form/Format
200ug/ml of Ab purified from Bioreactor Concentrate by Protein A/G. Prepared in 10mM PBS with 0.05% BSA & 0.05% azide. Also available WITHOUT BSA & azide at 1.0mg/ml.
Sequence Length
702
Applicable Applications for anti-CEACAM1 antibody
IHC (Immunohistochemistry), WB (Western Blot), IF (Immunofluorescence), FCM/FACS (Flow Cytometry)
Cellular Localization
Cytoplasmic and luminal surface
Immunogen
Human colon carcinoma extract
Hu-Chromosome Location
19q13.1-19q13.2
Positive Control
MCF7 or 293T cells. Colon carcinoma
Preparation and Storage
Antibody with azide - store at 2 to 8 degree C. Antibody without azide - store at -20 to -80 degree C. Antibody is stable for 24 months. Non-hazardous. No MSDS required.
References
Muraro R, et. al. Cancer Research, 1985, 45:5769-80. Siler K, et. al. Biotechnology Therapeutics, 1993, 4(3-4):163-81. Robbins PF, et. al. International Journal of Cancer, 1993, 53(6):892-7. Shi ZR, et. al. Journal of Histochemistry and Cytochemistry, 1994, 42(9):1215-9
NCBI and Uniprot Product Information
NCBI GI #
NCBI GeneID
NCBI Accession #
NCBI GenBank Nucleotide #
Molecular Weight
80-200kDa
NCBI Official Full Name
carcinoembryonic antigen-related cell adhesion molecule 5 isoform 1 preproprotein
NCBI Official Synonym Full Names
carcinoembryonic antigen related cell adhesion molecule 5
NCBI Official Symbol
CEACAM5
NCBI Official Synonym Symbols
CEA; CD66e
NCBI Protein Information
carcinoembryonic antigen-related cell adhesion molecule 5
UniProt Protein Name
Carcinoembryonic antigen-related cell adhesion molecule 5
UniProt Gene Name
CEACAM5
UniProt Synonym Gene Names
CEA; CEA
UniProt Entry Name
CEAM5_HUMAN
Customer Reviews
Loading reviews...
Share Your Experience
Similar Products
Product Notes
The CEACAM1 ceacam5 (Catalog #AAA62666) is an Antibody produced from Mouse and is intended for research purposes only. The product is available for immediate purchase. The Carcinoembryonic Antigen (CEA) /CD66 Mouse Monoclonal Antibody reacts with Human and may cross-react with other species as described in the data sheet. AAA Biotech's Carcinoembryonic Antigen (CEA) /CD66 can be used in a range of immunoassay formats including, but not limited to, IHC (Immunohistochemistry), WB (Western Blot), IF (Immunofluorescence), FCM/FACS (Flow Cytometry). Researchers should empirically determine the suitability of the CEACAM1 ceacam5 for an application not listed in the data sheet. Researchers commonly develop new applications and it is an integral, important part of the investigative research process. It is sometimes possible for the material contained within the vial of "Carcinoembryonic Antigen (CEA) /CD66, Monoclonal Antibody" to become dispersed throughout the inside of the vial, particularly around the seal of said vial, during shipment and storage. We always suggest centrifuging these vials to consolidate all of the liquid away from the lid and to the bottom of the vial prior to opening. Please be advised that certain products may require dry ice for shipping and that, if this is the case, an additional dry ice fee may also be required.Precautions
All products in the AAA Biotech catalog are strictly for research-use only, and are absolutely not suitable for use in any sort of medical, therapeutic, prophylactic, in-vivo, or diagnostic capacity. By purchasing a product from AAA Biotech, you are explicitly certifying that said products will be properly tested and used in line with industry standard. AAA Biotech and its authorized distribution partners reserve the right to refuse to fulfill any order if we have any indication that a purchaser may be intending to use a product outside of our accepted criteria.Disclaimer
Though we do strive to guarantee the information represented in this datasheet, AAA Biotech cannot be held responsible for any oversights or imprecisions. AAA Biotech reserves the right to adjust any aspect of this datasheet at any time and without notice. It is the responsibility of the customer to inform AAA Biotech of any product performance issues observed or experienced within 30 days of receipt of said product. To see additional details on this or any of our other policies, please see our Terms & Conditions page.Item has been added to Shopping Cart
If you are ready to order, navigate to Shopping Cart and get ready to checkout.
