Caspase-2 Recombinant Antibody | CASP2 recombinant antibody
Caspase-2 Rabbit mAb
Gene Names
CASP2; ICH1; NEDD2; CASP-2; NEDD-2; PPP1R57
Reactivity
Human, Mouse, Rat
Applications
Flow Cytometry, Functional Assay, Immunofluorescence, Immunocytochemistry, Immunohistochemistry, Western Blot
Purity
Affinity-chromatography
Synonyms
Caspase-2, Recombinant Antibody; Caspase-2 Rabbit mAb; Caspase-2; Caspase 2; Caspase2; CASP-2; Neural precursor cell expressed developmentally down-regulated protein 2; NEDD-2; Protease ICH-1; CASP2; ICH1; NEDD2; CASP2 recombinant antibody
Host
Rabbit
Reactivity
Human, Mouse, Rat
Clonality
Monoclonal
Isotype
Rabbit IgG
Specificity
Caspase-2 Antibody detects endogenous levels of total Caspase-2
Purity/Purification
Affinity-chromatography
Form/Format
Rabbit IgG in phosphate buffered saline, pH7.4, 150mM NaCl, 0.02% sodium azide and 50% glycerol.
Applicable Applications for CASP2 recombinant antibody
FCM/FACS (Flow Cytometry), IF (Immunofluorescence), ICC (Immunocytochemistry), IHC (Immunohistochemistry), WB (Western Blot)
Immunogen
A synthesized peptide derived from human Caspase-2
Preparation and Storage
Store at +4 degree C short term. Store at -20 degree C long term. Avoid freeze/thaw cycle.
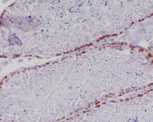
IHC (Immunohiostchemistry)
(Immunohistochemical analysis of paraffin-embedded mouse testis, using Caspase-2 Antibody.)
Product Categories/Family for CASP2 recombinant antibody
NCBI and Uniprot Product Information
NCBI GI #
NCBI GeneID
NCBI Accession #
NCBI GenBank Nucleotide #
UniProt Accession #
Molecular Weight
50,685 Da
NCBI Official Full Name
caspase-2 isoform 2
NCBI Official Synonym Full Names
caspase 2, apoptosis-related cysteine peptidase
NCBI Official Symbol
CASP2
NCBI Official Synonym Symbols
ICH1; NEDD2; CASP-2; NEDD-2; PPP1R57
NCBI Protein Information
caspase-2; protease ICH-1; protein phosphatase 1, regulatory subunit 57; neural precursor cell expressed developmentally down-regulated protein 2
UniProt Protein Name
Caspase-2
UniProt Gene Name
CASP2
UniProt Synonym Gene Names
ICH1; NEDD2; CASP-2; NEDD-2
UniProt Entry Name
CASP2_HUMAN
Customer Reviews
Loading reviews...
Share Your Experience
Similar Products
Product Notes
The CASP2 casp2 (Catalog #AAA314924) is a Recombinant Antibody produced from Rabbit and is intended for research purposes only. The product is available for immediate purchase. The Caspase-2 Rabbit mAb reacts with Human, Mouse, Rat and may cross-react with other species as described in the data sheet. AAA Biotech's Caspase-2 can be used in a range of immunoassay formats including, but not limited to, FCM/FACS (Flow Cytometry), IF (Immunofluorescence), ICC (Immunocytochemistry), IHC (Immunohistochemistry), WB (Western Blot). Researchers should empirically determine the suitability of the CASP2 casp2 for an application not listed in the data sheet. Researchers commonly develop new applications and it is an integral, important part of the investigative research process. It is sometimes possible for the material contained within the vial of "Caspase-2, Monoclonal Recombinant Antibody" to become dispersed throughout the inside of the vial, particularly around the seal of said vial, during shipment and storage. We always suggest centrifuging these vials to consolidate all of the liquid away from the lid and to the bottom of the vial prior to opening. Please be advised that certain products may require dry ice for shipping and that, if this is the case, an additional dry ice fee may also be required.Precautions
All products in the AAA Biotech catalog are strictly for research-use only, and are absolutely not suitable for use in any sort of medical, therapeutic, prophylactic, in-vivo, or diagnostic capacity. By purchasing a product from AAA Biotech, you are explicitly certifying that said products will be properly tested and used in line with industry standard. AAA Biotech and its authorized distribution partners reserve the right to refuse to fulfill any order if we have any indication that a purchaser may be intending to use a product outside of our accepted criteria.Disclaimer
Though we do strive to guarantee the information represented in this datasheet, AAA Biotech cannot be held responsible for any oversights or imprecisions. AAA Biotech reserves the right to adjust any aspect of this datasheet at any time and without notice. It is the responsibility of the customer to inform AAA Biotech of any product performance issues observed or experienced within 30 days of receipt of said product. To see additional details on this or any of our other policies, please see our Terms & Conditions page.Item has been added to Shopping Cart
If you are ready to order, navigate to Shopping Cart and get ready to checkout.
