Rabbit anti-Human, Mouse Caspase 3 Monoclonal Antibody | anti-CASP3 antibody
pro Caspase 3 Antibody
Gene Names
CASP3; CPP32; SCA-1; CPP32B
Reactivity
Human, Mouse
Applications
Flow Cytometry, Functional Assay, Immunoprecipitation, Immunohistochemistry, Immunocytochemistry, Western Blot
Purity
Affinity chromatography.
Synonyms
Caspase 3, Antibody; pro Caspase 3 Antibody; CASP3 antibody; Caspase 3 antibody; Caspase 3 apoptosis related cysteine peptidase antibody; CPP32 antibody; CPP32B antibody; Procaspase 3 antibody; SCA 1 antibody; SCA1 antibody; Yama antibody; Yama protein antibody; anti-CASP3 antibody
Host
Rabbit
Reactivity
Human, Mouse
Clonality
Monoclonal
Clone Number
SZ02-08
Purity/Purification
Affinity chromatography.
Form/Format
Rabbit IgG in 10mM phosphate buffered saline, pH 7.4, 150 mM sodium chloride, 0.05% BSA, 0.02% sodium azide and 50% glycerol.
Concentration
1 mg/mL (varies by lot)
Applicable Applications for anti-CASP3 antibody
FCM/FACS (Flow Cytometry), IP (Immunoprecipitation), IHC (Immunohistochemistry), ICC (Immunocytochemistry), WB (Western Blot)
Immunogen description
A synthesized peptide derived from human Caspase-3.
Conjugation
Unconjugated
Preparation and Storage
Store at 4 degree for short term. Store at -20 degree for long term. Avoid freeze/ thaw cycles.
IHC (Immunohistochemisry)
(Immunohistochemical analysis of paraffin-embedded human colon, using pro Caspase 3 Antibody.)
Related Product Information for anti-CASP3 antibody
Caspase-3, also known as apopain, SCA-1, Yama and CPP32, is an aspartate-specific cysteine protease that belongs to the ICE subfamily of caspases. Caspase-3 is expressed in cells as an inactive precursor from which the p17 and p11 subunits of the mature caspase-3 are proteolytically generated during apoptosis. The caspase-3 precursor is first cleaved at Asp175-Ser176 to produce the p11 subunit and the p20 peptide. Subsequently, the p20 peptide is cleaved at Asp28-Ser29 to generate the mature p17 subunit. The active caspase-3 enzyme is a heterodimer composed of two p17 and two p11 subunits. At the onset of apoptosis, caspase-3 proteolytically cleaves PARP at an Asp216-Gly217 bond. During the execution of the apoptotic cascade, activated caspase-3 releases SREBP from the membrane of the ER in a proteolytic reaction that is distinct from their normal sterol-dependent activation. Caspase-3 cleaves and activates SREBPs between the basic helix-loop-helix leucine zipper domain and the membrane attachment domain. Caspase-3 also cleaves and activates caspase-6, -7 and -9. The human caspase-3 gene encodes a cytoplasmic protein that is highly expressed in lung, spleen, heart, liver, kidney and cells of the immune system.
Product Categories/Family for anti-CASP3 antibody
NCBI and Uniprot Product Information
NCBI GI #
NCBI GeneID
NCBI Accession #
NCBI GenBank Nucleotide #
Molecular Weight
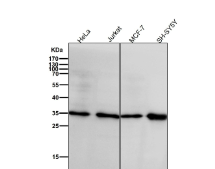
Calculated MW: 35 kDa
NCBI Official Full Name
caspase-3 preproprotein
NCBI Official Synonym Full Names
caspase 3, apoptosis-related cysteine peptidase
NCBI Official Symbol
CASP3
NCBI Official Synonym Symbols
CPP32; SCA-1; CPP32B
NCBI Protein Information
caspase-3; CASP-3; CPP-32; apopain; procaspase3; protein Yama; PARP cleavage protease; cysteine protease CPP32; SREBP cleavage activity 1; caspase 3, apoptosis-related cysteine protease
UniProt Protein Name
Caspase-3
UniProt Gene Name
CASP3
UniProt Synonym Gene Names
CPP32; CASP-3; CPP-32; SCA-1
UniProt Entry Name
CASP3_HUMAN
Customer Reviews
Loading reviews...
Share Your Experience
Similar Products
Product Notes
The CASP3 casp3 (Catalog #AAA312165) is an Antibody produced from Rabbit and is intended for research purposes only. The product is available for immediate purchase. The pro Caspase 3 Antibody reacts with Human, Mouse and may cross-react with other species as described in the data sheet. AAA Biotech's Caspase 3 can be used in a range of immunoassay formats including, but not limited to, FCM/FACS (Flow Cytometry), IP (Immunoprecipitation), IHC (Immunohistochemistry), ICC (Immunocytochemistry), WB (Western Blot). Researchers should empirically determine the suitability of the CASP3 casp3 for an application not listed in the data sheet. Researchers commonly develop new applications and it is an integral, important part of the investigative research process. It is sometimes possible for the material contained within the vial of "Caspase 3, Monoclonal Antibody" to become dispersed throughout the inside of the vial, particularly around the seal of said vial, during shipment and storage. We always suggest centrifuging these vials to consolidate all of the liquid away from the lid and to the bottom of the vial prior to opening. Please be advised that certain products may require dry ice for shipping and that, if this is the case, an additional dry ice fee may also be required.Precautions
All products in the AAA Biotech catalog are strictly for research-use only, and are absolutely not suitable for use in any sort of medical, therapeutic, prophylactic, in-vivo, or diagnostic capacity. By purchasing a product from AAA Biotech, you are explicitly certifying that said products will be properly tested and used in line with industry standard. AAA Biotech and its authorized distribution partners reserve the right to refuse to fulfill any order if we have any indication that a purchaser may be intending to use a product outside of our accepted criteria.Disclaimer
Though we do strive to guarantee the information represented in this datasheet, AAA Biotech cannot be held responsible for any oversights or imprecisions. AAA Biotech reserves the right to adjust any aspect of this datasheet at any time and without notice. It is the responsibility of the customer to inform AAA Biotech of any product performance issues observed or experienced within 30 days of receipt of said product. To see additional details on this or any of our other policies, please see our Terms & Conditions page.Item has been added to Shopping Cart
If you are ready to order, navigate to Shopping Cart and get ready to checkout.
