Mouse Caspase-8 Monoclonal Antibody | anti-CASP8 antibody
Caspase-8 Monoclonal Antibody (2G12)
Gene Names
CASP8; CAP4; MACH; MCH5; FLICE; ALPS2B; Casp-8
Reactivity
Human, Mouse, Rat
Applications
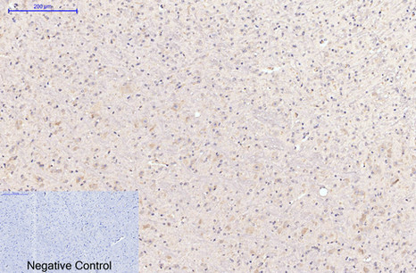
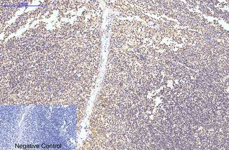
Immunofluorescence, Immunohistochemistry, Western Blot
Synonyms
Caspase-8, Antibody; Caspase-8 Monoclonal Antibody (2G12); CASP8; MCH5; Caspase-8; CASP-8; Apoptotic cysteine protease; Apoptotic protease Mch-5; CAP4; FADD-homologous ICE/ced-3-like protease; FADD-like ICE; FLICE; ICE-like apoptotic protease 5; MORT1-associated ced-3 homolog; MACH; anti-CASP8 antibody
Host
Mouse
Reactivity
Human, Mouse, Rat
Clonality
Monoclonal
Clone Number
2G12
Form/Format
PBS, pH 7.4, containing 0.09% (W/V) sodium azide as Preservative and 50% Glycerol.
Applicable Applications for anti-CASP8 antibody
IF (Immunofluorescence), IHC (Immunohistochemistry), WB (Western Blot)
Tissue Location
Isoform 1, isoform 5 and isoform 7 are expressed in a wide variety of tissues. Highest expression in peripheral blood leukocytes, spleen, thymus and liver. Barely detectable in brain, testis and skeletal muscle
Notes
ECO:0000303|PubMed:9931493, ECO:0000312|HGNC: HGNC:1509
Preparation and Storage
Maintain refrigerated at 2-8 degree C for up to 2 weeks. For long term storage store at -20 degree C in small aliquots to prevent freeze-thaw cycles.
Related Product Information for anti-CASP8 antibody
Most upstream protease of the activation cascade of caspases responsible for the TNFRSF6/FAS mediated and TNFRSF1A induced cell death. Binding to the adapter molecule FADD recruits it to either receptor. The resulting aggregate called death- inducing signaling complex (DISC) performs CASP8 proteolytic activation. The active dimeric enzyme is then liberated from the DISC and free to activate downstream apoptotic proteases. Proteolytic fragments of the N-terminal propeptide (termed CAP3, CAP5 and CAP6) are likely retained in the DISC. Cleaves and activates CASP3, CASP4, CASP6, CASP7, CASP9 and CASP10. May participate in the GZMB apoptotic pathways. Cleaves ADPRT. Hydrolyzes the small-molecule substrate, Ac-Asp-Glu-Val-Asp-|-AMC. Likely target for the cowpox virus CRMA death inhibitory protein. Isoform 5, isoform 6, isoform 7 and isoform 8 lack the catalytic site and may interfere with the pro-apoptotic activity of the complex.
Thiol protease that plays a key role in programmed cell death by acting as a molecular switch for apoptosis, necroptosis and pyroptosis, and is required to prevent tissue damage during embryonic development and adulthood (By similarity). Initiator protease that induces extrinsic apoptosis by mediating cleavage and activation of effector caspases responsible for the TNFRSF6/FAS mediated and TNFRSF1A induced cell death (PubMed:23516580, PubMed:8681376, PubMed:8681377, PubMed:9006941, PubMed:9184224, PubMed:8962078). Cleaves and activates effector caspases CASP3, CASP4, CASP6, CASP7, CASP9 and CASP10 (PubMed:8962078, PubMed:9006941). Binding to the adapter molecule FADD recruits it to either receptor TNFRSF6/FAS mediated or TNFRSF1A (PubMed:8681376, PubMed:8681377). The resulting aggregate called death- inducing signaling complex (DISC) performs CASP8 proteolytic activation (PubMed:9184224). The active dimeric enzyme is then liberated from the DISC and free to activate downstream apoptotic proteases (PubMed:9184224). Proteolytic fragments of the N-terminal propeptide (termed CAP3, CAP5 and CAP6) are likely retained in the DISC (PubMed:9184224). In addition to extrinsic apoptosis, also acts as a negative regulator of necroptosis: acts by cleaving RIPK1 at 'Asp-324', which is crucial to inhibit RIPK1 kinase activity, limiting TNF-induced apoptosis, necroptosis and inflammatory response (PubMed:31827280, PubMed:31827281). Also able to initiate pyroptosis by mediating cleavage and activation of gasdermin-D (GSDMD): GSDMD cleavage promoting release of the N-terminal moiety (Gasdermin-D, N-terminal) that binds to membranes and forms pores, triggering pyroptosis (By similarity). Initiates pyroptosis following inactivation of MAP3K7/TAK1 (By similarity). Also acts as a regulator of innate immunity by mediating cleavage and inactivation of N4BP1 downstream of TLR3 or TLR4, thereby promoting cytokine production (By similarity). May participate in the Granzyme B (GZMB) cell death pathways (PubMed:8755496). Cleaves PARP1 (PubMed:8681376).
Thiol protease that plays a key role in programmed cell death by acting as a molecular switch for apoptosis, necroptosis and pyroptosis, and is required to prevent tissue damage during embryonic development and adulthood (By similarity). Initiator protease that induces extrinsic apoptosis by mediating cleavage and activation of effector caspases responsible for the TNFRSF6/FAS mediated and TNFRSF1A induced cell death (PubMed:23516580, PubMed:8681376, PubMed:8681377, PubMed:9006941, PubMed:9184224, PubMed:8962078). Cleaves and activates effector caspases CASP3, CASP4, CASP6, CASP7, CASP9 and CASP10 (PubMed:8962078, PubMed:9006941). Binding to the adapter molecule FADD recruits it to either receptor TNFRSF6/FAS mediated or TNFRSF1A (PubMed:8681376, PubMed:8681377). The resulting aggregate called death- inducing signaling complex (DISC) performs CASP8 proteolytic activation (PubMed:9184224). The active dimeric enzyme is then liberated from the DISC and free to activate downstream apoptotic proteases (PubMed:9184224). Proteolytic fragments of the N-terminal propeptide (termed CAP3, CAP5 and CAP6) are likely retained in the DISC (PubMed:9184224). In addition to extrinsic apoptosis, also acts as a negative regulator of necroptosis: acts by cleaving RIPK1 at 'Asp-324', which is crucial to inhibit RIPK1 kinase activity, limiting TNF-induced apoptosis, necroptosis and inflammatory response (PubMed:31827280, PubMed:31827281). Also able to initiate pyroptosis by mediating cleavage and activation of gasdermin-D (GSDMD): GSDMD cleavage promoting release of the N-terminal moiety (Gasdermin-D, N-terminal) that binds to membranes and forms pores, triggering pyroptosis (By similarity). Initiates pyroptosis following inactivation of MAP3K7/TAK1 (By similarity). Also acts as a regulator of innate immunity by mediating cleavage and inactivation of N4BP1 downstream of TLR3 or TLR4, thereby promoting cytokine production (By similarity). May participate in the Granzyme B (GZMB) cell death pathways (PubMed:8755496). Cleaves PARP1 (PubMed:8681376).
NCBI and Uniprot Product Information
NCBI GI #
NCBI GeneID
NCBI Accession #
NCBI GenBank Nucleotide #
UniProt Accession #
Molecular Weight
55,391 Da
NCBI Official Full Name
caspase-8 isoform C
NCBI Official Synonym Full Names
caspase 8, apoptosis-related cysteine peptidase
NCBI Official Symbol
CASP8
NCBI Official Synonym Symbols
CAP4; MACH; MCH5; FLICE; ALPS2B; Casp-8
NCBI Protein Information
caspase-8; FADD-like ICE; MACH-alpha-1/2/3 protein; apoptotic protease Mch-5; MACH-beta-1/2/3/4 protein; apoptotic cysteine protease; ICE-like apoptotic protease 5; MORT1-associated ced-3 homolog; FADD-homologous ICE/CED-3-like protease; caspase 8, apopto
UniProt Protein Name
Caspase-8
UniProt Gene Name
CASP8
UniProt Synonym Gene Names
MCH5; CASP-8; FLICE; MACH
UniProt Entry Name
CASP8_HUMAN
Customer Reviews
Loading reviews...
Share Your Experience
Similar Products
Product Notes
The CASP8 casp8 (Catalog #AAA293653) is an Antibody produced from Mouse and is intended for research purposes only. The product is available for immediate purchase. The Caspase-8 Monoclonal Antibody (2G12) reacts with Human, Mouse, Rat and may cross-react with other species as described in the data sheet. AAA Biotech's Caspase-8 can be used in a range of immunoassay formats including, but not limited to, IF (Immunofluorescence), IHC (Immunohistochemistry), WB (Western Blot). Researchers should empirically determine the suitability of the CASP8 casp8 for an application not listed in the data sheet. Researchers commonly develop new applications and it is an integral, important part of the investigative research process. It is sometimes possible for the material contained within the vial of "Caspase-8, Monoclonal Antibody" to become dispersed throughout the inside of the vial, particularly around the seal of said vial, during shipment and storage. We always suggest centrifuging these vials to consolidate all of the liquid away from the lid and to the bottom of the vial prior to opening. Please be advised that certain products may require dry ice for shipping and that, if this is the case, an additional dry ice fee may also be required.Precautions
All products in the AAA Biotech catalog are strictly for research-use only, and are absolutely not suitable for use in any sort of medical, therapeutic, prophylactic, in-vivo, or diagnostic capacity. By purchasing a product from AAA Biotech, you are explicitly certifying that said products will be properly tested and used in line with industry standard. AAA Biotech and its authorized distribution partners reserve the right to refuse to fulfill any order if we have any indication that a purchaser may be intending to use a product outside of our accepted criteria.Disclaimer
Though we do strive to guarantee the information represented in this datasheet, AAA Biotech cannot be held responsible for any oversights or imprecisions. AAA Biotech reserves the right to adjust any aspect of this datasheet at any time and without notice. It is the responsibility of the customer to inform AAA Biotech of any product performance issues observed or experienced within 30 days of receipt of said product. To see additional details on this or any of our other policies, please see our Terms & Conditions page.Item has been added to Shopping Cart
If you are ready to order, navigate to Shopping Cart and get ready to checkout.
