Cathepsin D Recombinant Antibody | CTSD recombinant antibody
Cathepsin D Rabbit mAb
Gene Names
CTSD; CPSD; CLN10
Reactivity
Human, Mouse, Rat
Applications
Flow Cytometry, Functional Assay, Immunoprecipitation, Immunofluorescence, Immunocytochemistry, Immunohistochemistry, Western Blot
Purity
Affinity-chromatography
Synonyms
Cathepsin D, Recombinant Antibody; Cathepsin D Rabbit mAb; CATD; Cathepsin D; Cathepsin D heavy chain; Cathepsin D light chain; ceroid-lipofuscinosis, neuronal 10; CLN10; CPSD; CTSD; lysosomal aspartyl peptidase; lysosomal aspartyl protease; MGC2311; CTSD recombinant antibody
Host
Rabbit
Reactivity
Human, Mouse, Rat
Clonality
Monoclonal
Isotype
Rabbit IgG
Specificity
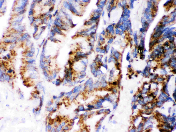
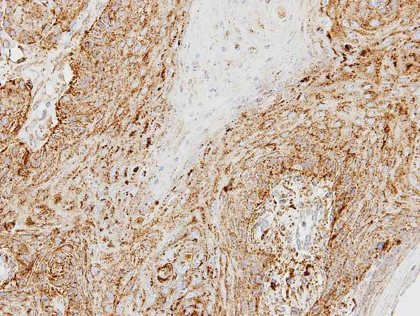
Cathepsin D Antibody detects endogenous levels of total Cathepsin D
Purity/Purification
Affinity-chromatography
Form/Format
Rabbit IgG in phosphate buffered saline, pH7.4, 150mM NaCl, 0.02% sodium azide and 50% glycerol.
Applicable Applications for CTSD recombinant antibody
FCM/FACS (Flow Cytometry), IP (Immunoprecipitation), IF (Immunofluorescence), ICC (Immunocytochemistry), IHC (Immunohistochemistry), WB (Western Blot)
Immunogen
A synthesized peptide derived from human Cathepsin D
Preparation and Storage
Store at +4 degree C short term. Store at -20 degree C long term. Avoid freeze/thaw cycle.
Related Product Information for CTSD recombinant antibody
This gene encodes a lysosomal aspartyl protease composed of a dimer of disulfide-linked heavy and light chains, both produced from a single protein precursor. This proteinase, which is a member of the peptidase C1 family, has a specificity similar to but narrower than that of pepsin A. Transcription of this gene is initiated from several sites, including one which is a start site for an estrogen-regulated transcript. Mutations in this gene are involved in the pathogenesis of several diseases, including breast cancer and possibly Alzheimer disease.
Product Categories/Family for CTSD recombinant antibody
NCBI and Uniprot Product Information
NCBI GI #
NCBI GeneID
NCBI Accession #
NCBI GenBank Nucleotide #
Molecular Weight
44,552 Da
NCBI Official Full Name
cathepsin D preproprotein
NCBI Official Synonym Full Names
cathepsin D
NCBI Official Symbol
CTSD
NCBI Official Synonym Symbols
CPSD; CLN10
NCBI Protein Information
cathepsin D; lysosomal aspartyl protease; lysosomal aspartyl peptidase; ceroid-lipofuscinosis, neuronal 10
UniProt Protein Name
Cathepsin D
UniProt Gene Name
CTSD
UniProt Synonym Gene Names
CPSD
UniProt Entry Name
CATD_HUMAN
Customer Reviews
Loading reviews...
Share Your Experience
Similar Products
Product Notes
The CTSD ctsd (Catalog #AAA315147) is a Recombinant Antibody produced from Rabbit and is intended for research purposes only. The product is available for immediate purchase. The Cathepsin D Rabbit mAb reacts with Human, Mouse, Rat and may cross-react with other species as described in the data sheet. AAA Biotech's Cathepsin D can be used in a range of immunoassay formats including, but not limited to, FCM/FACS (Flow Cytometry), IP (Immunoprecipitation), IF (Immunofluorescence), ICC (Immunocytochemistry), IHC (Immunohistochemistry), WB (Western Blot). Researchers should empirically determine the suitability of the CTSD ctsd for an application not listed in the data sheet. Researchers commonly develop new applications and it is an integral, important part of the investigative research process. It is sometimes possible for the material contained within the vial of "Cathepsin D, Monoclonal Recombinant Antibody" to become dispersed throughout the inside of the vial, particularly around the seal of said vial, during shipment and storage. We always suggest centrifuging these vials to consolidate all of the liquid away from the lid and to the bottom of the vial prior to opening. Please be advised that certain products may require dry ice for shipping and that, if this is the case, an additional dry ice fee may also be required.Precautions
All products in the AAA Biotech catalog are strictly for research-use only, and are absolutely not suitable for use in any sort of medical, therapeutic, prophylactic, in-vivo, or diagnostic capacity. By purchasing a product from AAA Biotech, you are explicitly certifying that said products will be properly tested and used in line with industry standard. AAA Biotech and its authorized distribution partners reserve the right to refuse to fulfill any order if we have any indication that a purchaser may be intending to use a product outside of our accepted criteria.Disclaimer
Though we do strive to guarantee the information represented in this datasheet, AAA Biotech cannot be held responsible for any oversights or imprecisions. AAA Biotech reserves the right to adjust any aspect of this datasheet at any time and without notice. It is the responsibility of the customer to inform AAA Biotech of any product performance issues observed or experienced within 30 days of receipt of said product. To see additional details on this or any of our other policies, please see our Terms & Conditions page.Item has been added to Shopping Cart
If you are ready to order, navigate to Shopping Cart and get ready to checkout.
