Host
Mouse
Reactivity
Paraffin, Frozen
Clonality
Monoclonal
Isotype
IgM
Clone Number
MMA
Form/Format
CD15 is a mouse monoclonal antibody derived from cell culture supernatant that is concentrated, dialyzed, filter sterilized and diluted in buffer pH 7.5, containing BSA and sodium azide as a preservative.
Control
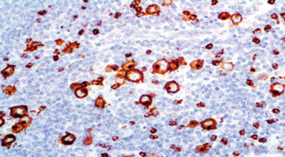
Tonsil, Lymph Node, Hodgkin's Lymphoma
Immunogen
The U937 histiocytic cell line was used as the immunogen for the CD15 Leu-M1 antibody.
Localization
Cytoplasmic, Membranous
Precautions
1. For professional users only. Results should be interpreted by a qualified medical professional.
2. This product contains <0.1% sodium azide (NaN3) as a preservative. Ensure proper handling procedures are used with this reagent.
3. Always wear personal protective equipment such as a laboratorycoat, goggles, and gloves when handling reagents.
4. Dispose of unused solution with copious amounts of water.
5. Do not ingest reagent. If reagent is ingested, seek medical advice immediately.
6. Avoid contact with eyes. If contact occurs, flush with large quantities of water.
7. Follow safety precautions of the heating device used for epitope retrieval (TintoRetriever Pressure Cooker or similar).
8. For additional safetyinformation refer to Safety Data Sheet for this product.
9. For complete recommendations for handling biological specimens, please refer to the CDC document,“Guidelines for Safe Work Practices in Human and AMDL” (see References in this document).
2. This product contains <0.1% sodium azide (NaN3) as a preservative. Ensure proper handling procedures are used with this reagent.
3. Always wear personal protective equipment such as a laboratorycoat, goggles, and gloves when handling reagents.
4. Dispose of unused solution with copious amounts of water.
5. Do not ingest reagent. If reagent is ingested, seek medical advice immediately.
6. Avoid contact with eyes. If contact occurs, flush with large quantities of water.
7. Follow safety precautions of the heating device used for epitope retrieval (TintoRetriever Pressure Cooker or similar).
8. For additional safetyinformation refer to Safety Data Sheet for this product.
9. For complete recommendations for handling biological specimens, please refer to the CDC document,“Guidelines for Safe Work Practices in Human and AMDL” (see References in this document).
Staining Procedure
1. Cut and mount 3-5 micron formalin-fixed paraffin-embedded tissues on positive charged slides such as Hydrophilic Plus Slides
2. Air dry for 2 hours at 58° C.
3. Deparaffinize, dehydrate and rehydrate tissues.
4. Subject tissues to heat epitope retrieval using a suitable retrieval solution such as ImmunoDNA Retriever with Citrate .
5. Any of three heating methods may be used:
a. TintoRetriever r Pressure Cooker or Equivalent
Place tissues/slides in a staining dish or coplin jar containing the ImmunoDNA Retriever with Citrate or EDTA, and place in the pressure cooker. Add 1-2 inches of distilled water to the pressure cooker and turn heat to high. Incubate for 15 minutes. Open and immediately transfer slides to room temperature.
b. TintoRetriever PT Module or Water Bath Method
Place tissues/slides in a pre-warmed staining dish or coplin jar containing the ImmunoDNA
Retriever with Citrate or EDTA at 95°-99° C. Incubate for 30-60 minutes.
c. Conventional Steamer Method
Place tissues/slides in a pre-warmed staining dish or coplin jar containing the ImmunoDNA
Retriever with Citrate or EDTA in a Steamer, cover and steam for 30-60 minutes.
6. After heat treatment, transfer slides in ImmunoDNA Retriever with Citrate or EDTA to room temperature and let stand for 15-20 minutes.
7. For manual staining, perform antibody incubation at ambient temperature. For automated staining methods, perform antibody incubation according to instrument manufacturer’s instructions.
8. Wash slides with IHC wash buffer or DI water.
9. Continue IHC staining protocol. Wash slides between each step with ImmunoDNA washer solution.
2. Air dry for 2 hours at 58° C.
3. Deparaffinize, dehydrate and rehydrate tissues.
4. Subject tissues to heat epitope retrieval using a suitable retrieval solution such as ImmunoDNA Retriever with Citrate .
5. Any of three heating methods may be used:
a. TintoRetriever r Pressure Cooker or Equivalent
Place tissues/slides in a staining dish or coplin jar containing the ImmunoDNA Retriever with Citrate or EDTA, and place in the pressure cooker. Add 1-2 inches of distilled water to the pressure cooker and turn heat to high. Incubate for 15 minutes. Open and immediately transfer slides to room temperature.
b. TintoRetriever PT Module or Water Bath Method
Place tissues/slides in a pre-warmed staining dish or coplin jar containing the ImmunoDNA
Retriever with Citrate or EDTA at 95°-99° C. Incubate for 30-60 minutes.
c. Conventional Steamer Method
Place tissues/slides in a pre-warmed staining dish or coplin jar containing the ImmunoDNA
Retriever with Citrate or EDTA in a Steamer, cover and steam for 30-60 minutes.
6. After heat treatment, transfer slides in ImmunoDNA Retriever with Citrate or EDTA to room temperature and let stand for 15-20 minutes.
7. For manual staining, perform antibody incubation at ambient temperature. For automated staining methods, perform antibody incubation according to instrument manufacturer’s instructions.
8. Wash slides with IHC wash buffer or DI water.
9. Continue IHC staining protocol. Wash slides between each step with ImmunoDNA washer solution.
Sepcimen Preperation
Paraffin sections: The antibodycan be used on formalin-fixed paraffin-embedded (FFPE) tissue sections. Ensure tissue undergoes appropriate fixation for best results. Pre-treatment of tissues with heat-induced epitope retrieval (HIER) is recommended using ImmunoDNA Retriever with Citrate (Please Inquire), ImmunoDNA Retriever with EDTA (Please Inquire), or ImmunoDNA Digestor (Please Inquire). See reverse side for complete protocol. Tissue should remain hydrated via use of Immuno/DNAWasher solutions (Please Inquire).
Frozen sections and cell preperations: The antibodycan be used on acetone-fixed frozen sections and acetone-fixed cell preparations.
Frozen sections and cell preperations: The antibodycan be used on acetone-fixed frozen sections and acetone-fixed cell preparations.
Species Reactivity
Human
Preparation and Storage
Store at 2-8°C.
Related Product Information for anti-CD15 antibody
This antibody is intended for use in immunohistochemical applications on formalin-fixed paraffin- embedded tissues (FFPE), frozen tissue sections and cell preparations. Interpretation of results should be performed by a qualified medical professional.
CD15 is a phosphatidylinositol-anchored transmembrane protein found on neutrophils and which may be involved in phagocytosis. It is expressed in patients with Hodgkin's Disease, some B-cell Chronic Lymphocytic Leukemias, Acute Lymphoblastic Leukemias, and most Acute Non-Lymphocytic Leukemias. It is also called Lewis x.
A positive reaction for CD15 combined with a negative reaction for CD45 and other B and T-lineage markers provides support for Reed-Sternberg cells found in Hodgkin's disease. Also, this antibody does not detect Mesotheliomas, making it a more frequently used antibody to distinguish Epithelial Mesothelioma from Adenocarcinoma.
CD15 is a phosphatidylinositol-anchored transmembrane protein found on neutrophils and which may be involved in phagocytosis. It is expressed in patients with Hodgkin's Disease, some B-cell Chronic Lymphocytic Leukemias, Acute Lymphoblastic Leukemias, and most Acute Non-Lymphocytic Leukemias. It is also called Lewis x.
A positive reaction for CD15 combined with a negative reaction for CD45 and other B and T-lineage markers provides support for Reed-Sternberg cells found in Hodgkin's disease. Also, this antibody does not detect Mesotheliomas, making it a more frequently used antibody to distinguish Epithelial Mesothelioma from Adenocarcinoma.
Customer Reviews
Loading reviews...
Share Your Experience
Similar Products
Product Notes
The CD15 (Catalog #AAA59180) is an Antibody produced from Mouse and is intended for research purposes only. The product is available for immediate purchase. The CD15 reacts with Paraffin, Frozen and may cross-react with other species as described in the data sheet. It is sometimes possible for the material contained within the vial of "CD15, Monoclonal Antibody" to become dispersed throughout the inside of the vial, particularly around the seal of said vial, during shipment and storage. We always suggest centrifuging these vials to consolidate all of the liquid away from the lid and to the bottom of the vial prior to opening. Please be advised that certain products may require dry ice for shipping and that, if this is the case, an additional dry ice fee may also be required.Precautions
All products in the AAA Biotech catalog are strictly for research-use only, and are absolutely not suitable for use in any sort of medical, therapeutic, prophylactic, in-vivo, or diagnostic capacity. By purchasing a product from AAA Biotech, you are explicitly certifying that said products will be properly tested and used in line with industry standard. AAA Biotech and its authorized distribution partners reserve the right to refuse to fulfill any order if we have any indication that a purchaser may be intending to use a product outside of our accepted criteria.Disclaimer
Though we do strive to guarantee the information represented in this datasheet, AAA Biotech cannot be held responsible for any oversights or imprecisions. AAA Biotech reserves the right to adjust any aspect of this datasheet at any time and without notice. It is the responsibility of the customer to inform AAA Biotech of any product performance issues observed or experienced within 30 days of receipt of said product. To see additional details on this or any of our other policies, please see our Terms & Conditions page.Item has been added to Shopping Cart
If you are ready to order, navigate to Shopping Cart and get ready to checkout.
