Mouse anti-Human CD19 Monoclonal Antibody | anti-CD19 antibody
CD19 (PTR2046) Antibody
Gene Names
CD19; B4; CVID3
Reactivity
Human
Applications
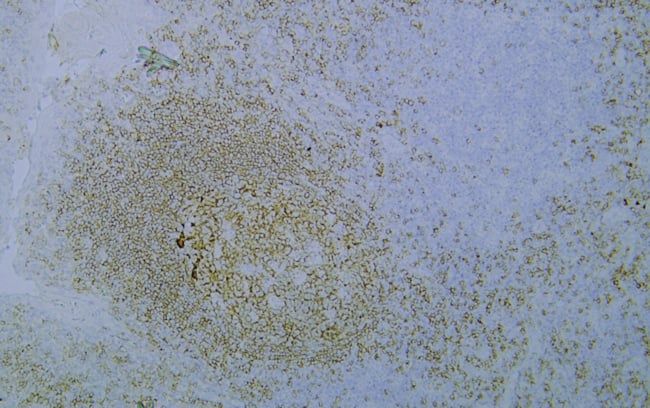
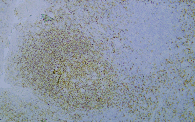
ELISA, Immunofluorescence, Western Blot, Immunohistochemistry
Purity
Protein G
Synonyms
CD19, Antibody; CD19 (PTR2046) Antibody; B-lymphocyte antigen CD19 (B-lymphocyte surface antigen B4)(Differentiation antigen CD19)(T-cell surface antigen Leu-12)(CD antigen CD19); anti-CD19 antibody
Host
Mouse
Reactivity
Human
Clonality
Monoclonal
Isotype
Mouse IgG
Clone Number
PTR2046
Specificity
This antibody detects endogenous levels of CD19 protein.
Purity/Purification
Protein G
Form/Format
PBS, 50% glycerol, 0.05% Proclin 300, 0.05%BSA
Applicable Applications for anti-CD19 antibody
ELISA, IF (Immunofluorescence), WB (Western Blot), IHC (Immunohistochemistry)
Preparation and Storage
Store at -20 degree C/1 year
Product Categories/Family for anti-CD19 antibody
NCBI and Uniprot Product Information
NCBI GI #
NCBI GeneID
NCBI Accession #
NCBI GenBank Nucleotide #
Molecular Weight
61,128 Da
NCBI Official Full Name
B-lymphocyte antigen CD19 isoform 1
NCBI Official Synonym Full Names
CD19 molecule
NCBI Official Symbol
CD19
NCBI Official Synonym Symbols
B4; CVID3
NCBI Protein Information
B-lymphocyte antigen CD19; differentiation antigen CD19; T-cell surface antigen Leu-12; B-lymphocyte surface antigen B4
UniProt Protein Name
B-lymphocyte antigen CD19
UniProt Gene Name
CD19
UniProt Entry Name
CD19_HUMAN
Customer Reviews
Loading reviews...
Share Your Experience
Similar Products
Product Notes
The CD19 cd19 (Catalog #AAA320569) is an Antibody produced from Mouse and is intended for research purposes only. The product is available for immediate purchase. The CD19 (PTR2046) Antibody reacts with Human and may cross-react with other species as described in the data sheet. AAA Biotech's CD19 can be used in a range of immunoassay formats including, but not limited to, ELISA, IF (Immunofluorescence), WB (Western Blot), IHC (Immunohistochemistry). Researchers should empirically determine the suitability of the CD19 cd19 for an application not listed in the data sheet. Researchers commonly develop new applications and it is an integral, important part of the investigative research process. It is sometimes possible for the material contained within the vial of "CD19, Monoclonal Antibody" to become dispersed throughout the inside of the vial, particularly around the seal of said vial, during shipment and storage. We always suggest centrifuging these vials to consolidate all of the liquid away from the lid and to the bottom of the vial prior to opening. Please be advised that certain products may require dry ice for shipping and that, if this is the case, an additional dry ice fee may also be required.Precautions
All products in the AAA Biotech catalog are strictly for research-use only, and are absolutely not suitable for use in any sort of medical, therapeutic, prophylactic, in-vivo, or diagnostic capacity. By purchasing a product from AAA Biotech, you are explicitly certifying that said products will be properly tested and used in line with industry standard. AAA Biotech and its authorized distribution partners reserve the right to refuse to fulfill any order if we have any indication that a purchaser may be intending to use a product outside of our accepted criteria.Disclaimer
Though we do strive to guarantee the information represented in this datasheet, AAA Biotech cannot be held responsible for any oversights or imprecisions. AAA Biotech reserves the right to adjust any aspect of this datasheet at any time and without notice. It is the responsibility of the customer to inform AAA Biotech of any product performance issues observed or experienced within 30 days of receipt of said product. To see additional details on this or any of our other policies, please see our Terms & Conditions page.Item has been added to Shopping Cart
If you are ready to order, navigate to Shopping Cart and get ready to checkout.
