Mouse anti-Mouse, Rat CD20 Monoclonal Antibody | anti-CD20 antibody
CD20 (PTR1337) Antibody
Gene Names
MS4A1; B1; S7; Bp35; CD20; CVID5; MS4A2; LEU-16
Reactivity
Mouse, Rat
Applications
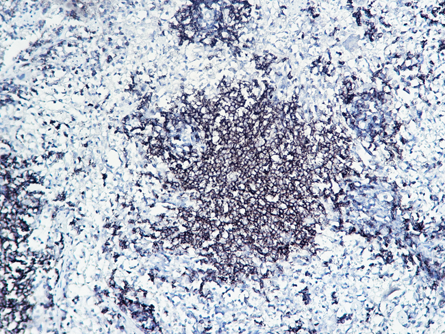
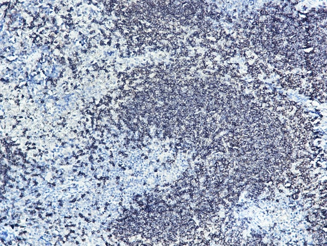
ELISA, Immunofluorescence, Immunohistochemistry
Purity
Protein G
Synonyms
CD20, Antibody; CD20 (PTR1337) Antibody; CD20; B-lymphocyte antigen CD20 (B-lymphocyte surface antigen B1; Bp35; Leukocyte surface antigen Leu-16; Membrane-spanning 4-domains subfamily A member 1; CD antigen CD20); anti-CD20 antibody
Host
Mouse
Reactivity
Mouse, Rat
Clonality
Monoclonal
Isotype
Mouse IgG1, kappa
Clone Number
PTR1337
Specificity
This antibody detects endogenous levels of CD20 protein.
Purity/Purification
Protein G
Form/Format
PBS, 50% glycerol, 0.05% Proclin 300, 0.05%BSA
Applicable Applications for anti-CD20 antibody
ELISA, IF (Immunofluorescence), IHC (Immunohistochemistry)
Preparation and Storage
Store at -20 degree C/1 year
Product Categories/Family for anti-CD20 antibody
NCBI and Uniprot Product Information
NCBI GI #
NCBI GeneID
Molecular Weight
297
NCBI Official Full Name
B-lymphocyte antigen CD20
NCBI Official Synonym Full Names
membrane-spanning 4-domains, subfamily A, member 1
NCBI Official Symbol
MS4A1
NCBI Official Synonym Symbols
B1; S7; Bp35; CD20; CVID5; MS4A2; LEU-16
NCBI Protein Information
B-lymphocyte antigen CD20; CD20 antigen; CD20 receptor; leukocyte surface antigen Leu-16; B-lymphocyte cell-surface antigen B1
UniProt Protein Name
B-lymphocyte antigen CD20
UniProt Gene Name
MS4A1
UniProt Synonym Gene Names
CD20
UniProt Entry Name
CD20_HUMAN
Customer Reviews
Loading reviews...
Share Your Experience
Similar Products
Product Notes
The CD20 ms4a1 (Catalog #AAA320589) is an Antibody produced from Mouse and is intended for research purposes only. The product is available for immediate purchase. The CD20 (PTR1337) Antibody reacts with Mouse, Rat and may cross-react with other species as described in the data sheet. AAA Biotech's CD20 can be used in a range of immunoassay formats including, but not limited to, ELISA, IF (Immunofluorescence), IHC (Immunohistochemistry). Researchers should empirically determine the suitability of the CD20 ms4a1 for an application not listed in the data sheet. Researchers commonly develop new applications and it is an integral, important part of the investigative research process. It is sometimes possible for the material contained within the vial of "CD20, Monoclonal Antibody" to become dispersed throughout the inside of the vial, particularly around the seal of said vial, during shipment and storage. We always suggest centrifuging these vials to consolidate all of the liquid away from the lid and to the bottom of the vial prior to opening. Please be advised that certain products may require dry ice for shipping and that, if this is the case, an additional dry ice fee may also be required.Precautions
All products in the AAA Biotech catalog are strictly for research-use only, and are absolutely not suitable for use in any sort of medical, therapeutic, prophylactic, in-vivo, or diagnostic capacity. By purchasing a product from AAA Biotech, you are explicitly certifying that said products will be properly tested and used in line with industry standard. AAA Biotech and its authorized distribution partners reserve the right to refuse to fulfill any order if we have any indication that a purchaser may be intending to use a product outside of our accepted criteria.Disclaimer
Though we do strive to guarantee the information represented in this datasheet, AAA Biotech cannot be held responsible for any oversights or imprecisions. AAA Biotech reserves the right to adjust any aspect of this datasheet at any time and without notice. It is the responsibility of the customer to inform AAA Biotech of any product performance issues observed or experienced within 30 days of receipt of said product. To see additional details on this or any of our other policies, please see our Terms & Conditions page.Item has been added to Shopping Cart
If you are ready to order, navigate to Shopping Cart and get ready to checkout.
