Rat CD204 Monoclonal Antibody | anti-CD204 antibody
RAT ANTI MOUSE CD204
Purified IgG - liquid
Immunohistology - Frozen: Application Note: The epitope recognised by this antibody is reported to be sensitive to formaldehyde fixation and tissue processing. We recommends the use of acetone fixation for frozen sections.
Flow Cytometry: Minimum Dilution: 1/50; Maximum Dilution: 1/100
Western Blotting: Application Note: This product recognises CD204 in J774 cells under non-reduced conditions only.
Preparation
Fusion Partners
Shelf Life: 18 months from date of despatch.
Application Data
(Staining of mouse peritoneal macrophages with Rat anti Mouse CD204: Alexa Fluor 488)
Application Data
(Staining of mouse peritoneal macrophages with Rat anti Mouse CD204: Low Endotoxin)
Application Data
(Immunoperoxidase staining of a mouse lymph node cryosection with Rat anti Mouse CD204 antibody, clone 2F8 followed by horseradish peroxidase Goat anti Rat IgG antibody . Low power)
Application Data
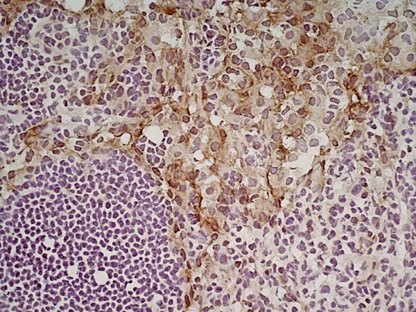
(Immunoperoxidase staining of a mouse lymph node cryosection with Rat anti Mouse CD204 antibody, clone 2F8 followed by horseradish peroxidase Goat anti Rat IgG antibody . Medium power)
Application Data
(Western Blot staining of J774 lysate (non reduced) probed with Rat anti Mouse CD204)
Application Data
(Immunoperoxidase staining of a mouse lymph node cryosection with Rat anti Mouse CD204 antibody, clone 2F8 followed by horseradish peroxidase Goat anti Rat IgG antibody . High power)
Application Data
(Staining of mouse peritoneal macrophages with Rat anti Mouse CD204: Alexa Fluor 647)
NCBI and Uniprot Product Information
Similar Products
Product Notes
The CD204 msr1 (Catalog #AAA12080) is an Antibody produced from Rat and is intended for research purposes only. The product is available for immediate purchase. AAA Biotech's CD204 can be used in a range of immunoassay formats including, but not limited to, IHC (Immunohistochemistry), ELISA, FCM/FACS (Flow Cytometry), IP (Immunoprecipitation), WB (Western Blot). Flow Cytometry: Use 10ul of the suggested working dilution to label 106 cells in 100ul. Immunohistology - Frozen: Application Note: The epitope recognised by this antibody is reported to be sensitive to formaldehyde fixation and tissue processing. We recommends the use of acetone fixation for frozen sections. Flow Cytometry: Minimum Dilution: 1/50; Maximum Dilution: 1/100 Western Blotting: Application Note: This product recognises CD204 in J774 cells under non-reduced conditions only. Researchers should empirically determine the suitability of the CD204 msr1 for an application not listed in the data sheet. Researchers commonly develop new applications and it is an integral, important part of the investigative research process. It is sometimes possible for the material contained within the vial of "CD204, Monoclonal Antibody" to become dispersed throughout the inside of the vial, particularly around the seal of said vial, during shipment and storage. We always suggest centrifuging these vials to consolidate all of the liquid away from the lid and to the bottom of the vial prior to opening. Please be advised that certain products may require dry ice for shipping and that, if this is the case, an additional dry ice fee may also be required.Precautions
All products in the AAA Biotech catalog are strictly for research-use only, and are absolutely not suitable for use in any sort of medical, therapeutic, prophylactic, in-vivo, or diagnostic capacity. By purchasing a product from AAA Biotech, you are explicitly certifying that said products will be properly tested and used in line with industry standard. AAA Biotech and its authorized distribution partners reserve the right to refuse to fulfill any order if we have any indication that a purchaser may be intending to use a product outside of our accepted criteria.Disclaimer
Though we do strive to guarantee the information represented in this datasheet, AAA Biotech cannot be held responsible for any oversights or imprecisions. AAA Biotech reserves the right to adjust any aspect of this datasheet at any time and without notice. It is the responsibility of the customer to inform AAA Biotech of any product performance issues observed or experienced within 30 days of receipt of said product. To see additional details on this or any of our other policies, please see our Terms & Conditions page.Item has been added to Shopping Cart
If you are ready to order, navigate to Shopping Cart and get ready to checkout.
