Rabbit anti-Human CD22/BL-CAM Monoclonal Antibody | anti-CD22 antibody
CD22/BL-CAM (B-Cell Marker)
Gene Names
CD22; SIGLEC2; SIGLEC-2
Reactivity
Human
Applications
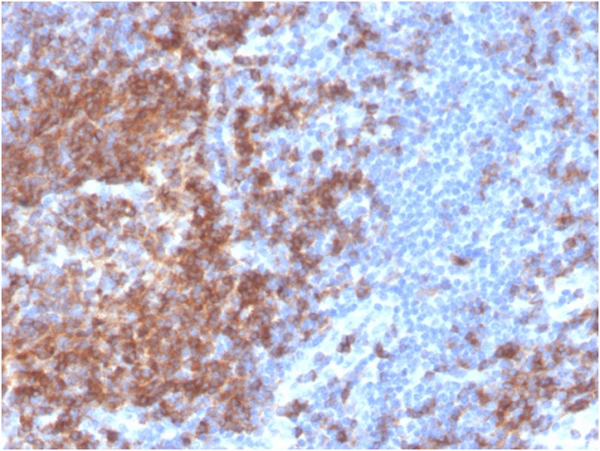
Immunohistochemistry
Purity
Purified Ab with BSA and Azide at 200ug/ml or Purified Ab with BSA and Azide at 200ug/ml or Purified Ab WITHOUT BSA and Azide at 1.0mg/ml
Synonyms
CD22/BL-CAM, Antibody; CD22/BL-CAM (B-Cell Marker); B-lymphocyte cell adhesion molecule (BL-CAM); B-cell receptor CD22; CD22; Lectin 2; Lyb8; Sialic acid-binding Ig-like lectin 2 (Siglec-2); SIGLEC2; T-cell surface antigen Leu-14; anti-CD22 antibody
Host
Rabbit
Reactivity
Human
Clonality
Monoclonal
Isotype
IgG
Clone Number
BLCAM/2637R
Specificity
Recognizes a protein of 130-140kDa, identified as CD22 (also known as BL-CAM). CD22 expression is restricted to normal and neoplastic B cells and is absent from other haemopoietic cell types. In B-cell ontogeny, CD22 is first expressed in the cytoplasm of pro-B and pre-B cells, and on the surface as B cells mature to become IgD+. It is not expressed by plasma cells, CD22 is found highly expressed in follicular mantle and marginal zone B-cells, and while germinal center B-cells are relatively weak. CD22 is a member of the immunoglobulin superfamily and serves as an adhesion receptor for sialic acid-bearing ligands expressed on erythrocytes and all leukocyte classes. It also associates with tyrosine kinases and play a role in signal transduction and B-cell activation.
Purity/Purification
Purified Ab with BSA and Azide at 200ug/ml or Purified Ab with BSA and Azide at 200ug/ml or Purified Ab WITHOUT BSA and Azide at 1.0mg/ml
Form/Format
200ug/ml of Ab purified from Bioreactor Concentrate by Protein A/G. Prepared in 10mM PBS with 0.05% BSA & 0.05% azide. Also available WITHOUT BSA & azide at 1.0mg/ml.
Sequence Length
759
Applicable Applications for anti-CD22 antibody
IHC (Immunohistochemistry)
Immunogen
Recombinant fragment (around aa52-178) of Human BL-CAM/CD22 protein (exact sequence is proprietary)
Cellular Localization
Cell Surface
Antibody Type
Recombinant Antibody
Hu-chromosome Location
19q13.1
Positive Control
Raji cells or human peripheral blood lymphocytes (hPBL). Human Tonsil, Lymph node or spleen.
Preparation and Storage
Antibody with azide: store at 2 to 8 degree C.
Antibody without azide: store at -20 to -80 degree C.
Antibody is stable for 24 months. Non-hazardous. No MSDS required.
Antibody without azide: store at -20 to -80 degree C.
Antibody is stable for 24 months. Non-hazardous. No MSDS required.
References
Sato S et al. Semin Immunol 1998, 10:287-297.
NCBI and Uniprot Product Information
NCBI GI #
NCBI GeneID
NCBI Accession #
NCBI GenBank Nucleotide #
UniProt Accession #
Molecular Weight
130-140kDa
NCBI Official Full Name
B-cell receptor CD22 isoform 2
NCBI Official Synonym Full Names
CD22 molecule
NCBI Official Symbol
CD22
NCBI Official Synonym Symbols
SIGLEC2; SIGLEC-2
NCBI Protein Information
B-cell receptor CD22
UniProt Protein Name
B-cell receptor CD22
UniProt Gene Name
CD22
UniProt Synonym Gene Names
SIGLEC2; BL-CAM; Siglec-2
UniProt Entry Name
CD22_HUMAN
Customer Reviews
Loading reviews...
Share Your Experience
Similar Products
Product Notes
The CD22 cd22 (Catalog #AAA215498) is an Antibody produced from Rabbit and is intended for research purposes only. The product is available for immediate purchase. The CD22/BL-CAM (B-Cell Marker) reacts with Human and may cross-react with other species as described in the data sheet. AAA Biotech's CD22/BL-CAM can be used in a range of immunoassay formats including, but not limited to, IHC (Immunohistochemistry). Researchers should empirically determine the suitability of the CD22 cd22 for an application not listed in the data sheet. Researchers commonly develop new applications and it is an integral, important part of the investigative research process. It is sometimes possible for the material contained within the vial of "CD22/BL-CAM, Monoclonal Antibody" to become dispersed throughout the inside of the vial, particularly around the seal of said vial, during shipment and storage. We always suggest centrifuging these vials to consolidate all of the liquid away from the lid and to the bottom of the vial prior to opening. Please be advised that certain products may require dry ice for shipping and that, if this is the case, an additional dry ice fee may also be required.Precautions
All products in the AAA Biotech catalog are strictly for research-use only, and are absolutely not suitable for use in any sort of medical, therapeutic, prophylactic, in-vivo, or diagnostic capacity. By purchasing a product from AAA Biotech, you are explicitly certifying that said products will be properly tested and used in line with industry standard. AAA Biotech and its authorized distribution partners reserve the right to refuse to fulfill any order if we have any indication that a purchaser may be intending to use a product outside of our accepted criteria.Disclaimer
Though we do strive to guarantee the information represented in this datasheet, AAA Biotech cannot be held responsible for any oversights or imprecisions. AAA Biotech reserves the right to adjust any aspect of this datasheet at any time and without notice. It is the responsibility of the customer to inform AAA Biotech of any product performance issues observed or experienced within 30 days of receipt of said product. To see additional details on this or any of our other policies, please see our Terms & Conditions page.Item has been added to Shopping Cart
If you are ready to order, navigate to Shopping Cart and get ready to checkout.
