Rabbit anti-Human CD274/B7-H1/PD-L1 Monoclonal Antibody | anti-CD274 antibody
CD274/B7-H1/PD-L1 Rabbit anti-Human Monoclonal (AHC0271) Antibody
Gene Names
CD274; B7-H; B7H1; PDL1; PD-L1; PDCD1L1; PDCD1LG1
Reactivity
Human
Applications
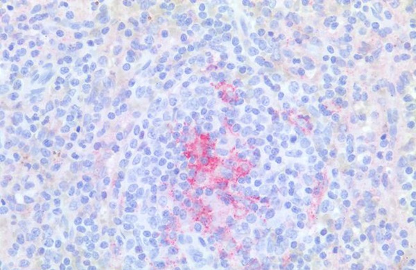
Immunohistochemistry
Purity
Protein G purified
Synonyms
CD274/B7-H1/PD-L1, Antibody; CD274/B7-H1/PD-L1 Rabbit anti-Human Monoclonal (AHC0271) Antibody; PathPlus CD274/B7-H1/PD-L1 Antibody (clone AHC0271); CD274; B7-H; B7 homolog 1; B7-H1; B7H1; CD274 molecule; CD274 antigen; PDCD1 ligand 1; PDL1; PD-L1; PDCD1L1; PDCD1LG1; Programmed death ligand 1; anti-CD274 antibody
Host
Rabbit
Reactivity
Human
Clonality
Monoclonal
Isotype
IgG
Clone Number
AHC0271
Specificity
Human PD-L1
Purity/Purification
Protein G purified
Form/Format
PBS, pH7.4 with 0.02% Sodium Azide
Applicable Applications for anti-CD274 antibody
IHC (Immunohistochemistry)
Target
Human CD274/B7-H1/PD-L1
Immunogen
Recombinant Human PD-L1
Conjugation
Unconjugated
Preparation and Storage
This product is stable for several weeks at 4 degree C as an undiluted liquid. Dilute only prior to immediate use. For extended storage, aliquot contents and freeze at -20 degree C or below. Avoid cycles of freezing and thawing. Expiration date is one (1) year from date of receipt.
Related Product Information for anti-CD274 antibody
PD-L1 antibody is an unconjugated rabbit monoclonal antibody to human PD-L1 (CD274/B7-H1). Validated for IHC.
PDL1 (CD274), or programmed cell death-ligand 1, is a transmembrane protein expressed in B and T cells that acts as an immune checkpoint regulator by suppressing the T-cell response. The primary receptor for PDL1 is PD1 (PDCD1), and binding of PDL1 to PD1 suppresses T cell migration, proliferation, and restricts tumor cell death. High levels of expression of PDL1 are associated with poor prognosis in certain carcinomas, and expression is also associated with EGFR mutations, the onset of which may directly lead to upregulation of PDL1. Current trials involving PDL1 inhibitors have shown impressive results in treating advanced stage cancers such as melanomas. This protein is expressed in the cytoplasm and membrane in normal immune cells, placental trophoblasts, and some cancers.
PDL1 (CD274), or programmed cell death-ligand 1, is a transmembrane protein expressed in B and T cells that acts as an immune checkpoint regulator by suppressing the T-cell response. The primary receptor for PDL1 is PD1 (PDCD1), and binding of PDL1 to PD1 suppresses T cell migration, proliferation, and restricts tumor cell death. High levels of expression of PDL1 are associated with poor prognosis in certain carcinomas, and expression is also associated with EGFR mutations, the onset of which may directly lead to upregulation of PDL1. Current trials involving PDL1 inhibitors have shown impressive results in treating advanced stage cancers such as melanomas. This protein is expressed in the cytoplasm and membrane in normal immune cells, placental trophoblasts, and some cancers.
References
Dong, H. et al. Nat Med. 2002 Aug;8(8):793-800. Epub 2002 Jun 24; Zhang, 2016; Chen 2015; Tang 2015; Nat Med 2002(8):793
NCBI and Uniprot Product Information
NCBI GI #
NCBI GeneID
NCBI Accession #
NCBI GenBank Nucleotide #
Molecular Weight
20,246 Da
NCBI Official Full Name
programmed cell death 1 ligand 1 isoform a
NCBI Official Synonym Full Names
CD274 molecule
NCBI Official Symbol
CD274
NCBI Official Synonym Symbols
B7-H; B7H1; PDL1; PD-L1; PDCD1L1; PDCD1LG1
NCBI Protein Information
programmed cell death 1 ligand 1
UniProt Protein Name
Programmed cell death 1 ligand 1
UniProt Gene Name
CD274
UniProt Synonym Gene Names
B7H1; PDCD1L1; PDCD1LG1; PDL1; PD-L1; PDCD1 ligand 1; Programmed death ligand 1; B7-H1
UniProt Entry Name
PD1L1_HUMAN
Customer Reviews
Loading reviews...
Share Your Experience
Similar Products
Product Notes
The CD274 cd274 (Catalog #AAA163104) is an Antibody produced from Rabbit and is intended for research purposes only. The product is available for immediate purchase. The CD274/B7-H1/PD-L1 Rabbit anti-Human Monoclonal (AHC0271) Antibody reacts with Human and may cross-react with other species as described in the data sheet. AAA Biotech's CD274/B7-H1/PD-L1 can be used in a range of immunoassay formats including, but not limited to, IHC (Immunohistochemistry). Researchers should empirically determine the suitability of the CD274 cd274 for an application not listed in the data sheet. Researchers commonly develop new applications and it is an integral, important part of the investigative research process. It is sometimes possible for the material contained within the vial of "CD274/B7-H1/PD-L1, Monoclonal Antibody" to become dispersed throughout the inside of the vial, particularly around the seal of said vial, during shipment and storage. We always suggest centrifuging these vials to consolidate all of the liquid away from the lid and to the bottom of the vial prior to opening. Please be advised that certain products may require dry ice for shipping and that, if this is the case, an additional dry ice fee may also be required.Precautions
All products in the AAA Biotech catalog are strictly for research-use only, and are absolutely not suitable for use in any sort of medical, therapeutic, prophylactic, in-vivo, or diagnostic capacity. By purchasing a product from AAA Biotech, you are explicitly certifying that said products will be properly tested and used in line with industry standard. AAA Biotech and its authorized distribution partners reserve the right to refuse to fulfill any order if we have any indication that a purchaser may be intending to use a product outside of our accepted criteria.Disclaimer
Though we do strive to guarantee the information represented in this datasheet, AAA Biotech cannot be held responsible for any oversights or imprecisions. AAA Biotech reserves the right to adjust any aspect of this datasheet at any time and without notice. It is the responsibility of the customer to inform AAA Biotech of any product performance issues observed or experienced within 30 days of receipt of said product. To see additional details on this or any of our other policies, please see our Terms & Conditions page.Item has been added to Shopping Cart
If you are ready to order, navigate to Shopping Cart and get ready to checkout.
