Mouse anti-Human CD3 Monoclonal Antibody | anti-CD3 antibody
CD3 (ABT295) Antibody
Gene Names
CD3E; T3E; TCRE; IMD18
Reactivity
Human
Applications
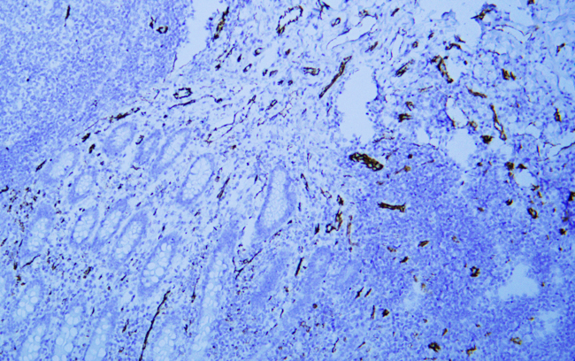
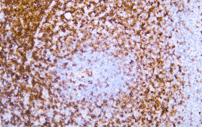
ELISA, Immunofluorescence, Western Blot, Immunohistochemistry
Purity
Protein G
Synonyms
CD3, Antibody; CD3 (ABT295) Antibody; CD3, CD3E; 4930549J05Rik; A430104F18Rik; AW552088; Cd247; CD247antigen; CD247 antigen, zeta subunit; CD247 molecule; CD3; CD3antigen, delta subunit; CD3 delta; CD3 epsilon; CD3 eta; CD3gamma; CD3 molecule delta polypeptide; CD3 molecule, epsilonpolypeptide; CD3 molecule, gamma; anti-CD3 antibody
Host
Mouse
Reactivity
Human
Clonality
Monoclonal
Isotype
Mouse IgG2a, kappa
Clone Number
ABT295
Specificity
The antibody can specifically recognize human CD3e protein, and shows no reaction with CD3d or CD3g. In western blotting of Jurkat cell lysate, the antibody can label a 23 kDa band corresponding to CD3e.
Purity/Purification
Protein G
Form/Format
PBS, 50% glycerol, 0.05% Proclin 300, 0.05%BSA
Applicable Applications for anti-CD3 antibody
ELISA, IF (Immunofluorescence), WB (Western Blot), IHC (Immunohistochemistry)
Preparation and Storage
Store at -20 degree C/1 year
Product Categories/Family for anti-CD3 antibody
NCBI and Uniprot Product Information
NCBI GI #
NCBI GeneID
Molecular Weight
207
NCBI Official Full Name
T-cell surface glycoprotein CD3 epsilon chain
NCBI Official Synonym Full Names
CD3e molecule, epsilon (CD3-TCR complex)
NCBI Official Symbol
CD3E
NCBI Official Synonym Symbols
T3E; TCRE; IMD18
NCBI Protein Information
T-cell surface glycoprotein CD3 epsilon chain; CD3-epsilon; T-cell surface antigen T3/Leu-4 epsilon chain; CD3e antigen, epsilon polypeptide (TiT3 complex); T-cell antigen receptor complex, epsilon subunit of T3
UniProt Protein Name
T-cell surface glycoprotein CD3 epsilon chain
UniProt Gene Name
CD3E
UniProt Synonym Gene Names
T3E
UniProt Entry Name
CD3E_HUMAN
Customer Reviews
Loading reviews...
Share Your Experience
Similar Products
Product Notes
The CD3 cd3e (Catalog #AAA320711) is an Antibody produced from Mouse and is intended for research purposes only. The product is available for immediate purchase. The CD3 (ABT295) Antibody reacts with Human and may cross-react with other species as described in the data sheet. AAA Biotech's CD3 can be used in a range of immunoassay formats including, but not limited to, ELISA, IF (Immunofluorescence), WB (Western Blot), IHC (Immunohistochemistry). Researchers should empirically determine the suitability of the CD3 cd3e for an application not listed in the data sheet. Researchers commonly develop new applications and it is an integral, important part of the investigative research process. It is sometimes possible for the material contained within the vial of "CD3, Monoclonal Antibody" to become dispersed throughout the inside of the vial, particularly around the seal of said vial, during shipment and storage. We always suggest centrifuging these vials to consolidate all of the liquid away from the lid and to the bottom of the vial prior to opening. Please be advised that certain products may require dry ice for shipping and that, if this is the case, an additional dry ice fee may also be required.Precautions
All products in the AAA Biotech catalog are strictly for research-use only, and are absolutely not suitable for use in any sort of medical, therapeutic, prophylactic, in-vivo, or diagnostic capacity. By purchasing a product from AAA Biotech, you are explicitly certifying that said products will be properly tested and used in line with industry standard. AAA Biotech and its authorized distribution partners reserve the right to refuse to fulfill any order if we have any indication that a purchaser may be intending to use a product outside of our accepted criteria.Disclaimer
Though we do strive to guarantee the information represented in this datasheet, AAA Biotech cannot be held responsible for any oversights or imprecisions. AAA Biotech reserves the right to adjust any aspect of this datasheet at any time and without notice. It is the responsibility of the customer to inform AAA Biotech of any product performance issues observed or experienced within 30 days of receipt of said product. To see additional details on this or any of our other policies, please see our Terms & Conditions page.Item has been added to Shopping Cart
If you are ready to order, navigate to Shopping Cart and get ready to checkout.
