Host
Mouse
Clonality
Monoclonal
Isotype
IgG1
Clone Number
WM59
Form/Format
Purified IgG conjugated to R. Phycoerythrin (RPE) - liquid
Sequence Length
738
Applicable Applications for anti-CD31 antibody
FCM/FACS (Flow Cytometry)
Perservative Stabilisers
0.09% Sodium Azide
1% Bovine Serum Albumin
5% Sucrose
Preparation
1% Bovine Serum Albumin
5% Sucrose
Preparation
Buffer Solution
Phosphate buffered saline
Target Species
Human
Preparation and Storage
Store at 4 degree C. DO NOT FREEZE. This product should be stored undiluted. This product is photosensitive and should be protected from light. Should this product contain a precipitate we recommend microcentrifugation before use.
Shelf Life: 12 months from date of despatch.
Shelf Life: 12 months from date of despatch.
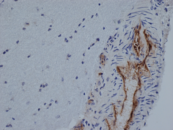
Application Data
(Staining of human peripheral blood lymphocytes with Mouse anti Human CD31: Alexa Fluor 647)
Related Product Information for anti-CD31 antibody
Mouse anti Human CD31 monoclonal antibody, clone WM59 recognizes the human CD31 antigen, a ~130kD single pass type I transmembrane glycoprotein bearing six C2 immunoglobulin domains. CD31 is expressed by all continuous endothelia including arteries, veins and non-sinusoidal capillaries, platelets,granulocytes and some lymphocytes. CD31 is not expressed by discontinuous endothelia such as hepatic sinusoids and splenic red pulp (Muller et al. 1989).CD31 is also known as PECAM-1. The binding epitope for mouse anti human CD31, clone WM59 has been mapped to the Ig-like domain 2 (Fawcett et al. 1995).
NCBI and Uniprot Product Information
NCBI GI #
NCBI GeneID
NCBI Accession #
NCBI GenBank Nucleotide #
UniProt Accession #
Molecular Weight
81,378 Da
NCBI Official Full Name
platelet endothelial cell adhesion molecule
NCBI Official Synonym Full Names
platelet/endothelial cell adhesion molecule 1
NCBI Official Symbol
PECAM1
NCBI Official Synonym Symbols
CD31; PECA1; GPIIA'; PECAM-1; endoCAM; CD31/EndoCAM
NCBI Protein Information
platelet endothelial cell adhesion molecule; CD31 antigen
UniProt Protein Name
Platelet endothelial cell adhesion molecule
UniProt Gene Name
PECAM1
UniProt Synonym Gene Names
PECAM-1
UniProt Entry Name
PECA1_HUMAN
Customer Reviews
Loading reviews...
Share Your Experience
Similar Products
Product Notes
The CD31 pecam1 (Catalog #AAA49599) is an Antibody produced from Mouse and is intended for research purposes only. The product is available for immediate purchase. AAA Biotech's CD31 can be used in a range of immunoassay formats including, but not limited to, FCM/FACS (Flow Cytometry). Researchers should empirically determine the suitability of the CD31 pecam1 for an application not listed in the data sheet. Researchers commonly develop new applications and it is an integral, important part of the investigative research process. It is sometimes possible for the material contained within the vial of "CD31, Monoclonal Antibody" to become dispersed throughout the inside of the vial, particularly around the seal of said vial, during shipment and storage. We always suggest centrifuging these vials to consolidate all of the liquid away from the lid and to the bottom of the vial prior to opening. Please be advised that certain products may require dry ice for shipping and that, if this is the case, an additional dry ice fee may also be required.Precautions
All products in the AAA Biotech catalog are strictly for research-use only, and are absolutely not suitable for use in any sort of medical, therapeutic, prophylactic, in-vivo, or diagnostic capacity. By purchasing a product from AAA Biotech, you are explicitly certifying that said products will be properly tested and used in line with industry standard. AAA Biotech and its authorized distribution partners reserve the right to refuse to fulfill any order if we have any indication that a purchaser may be intending to use a product outside of our accepted criteria.Disclaimer
Though we do strive to guarantee the information represented in this datasheet, AAA Biotech cannot be held responsible for any oversights or imprecisions. AAA Biotech reserves the right to adjust any aspect of this datasheet at any time and without notice. It is the responsibility of the customer to inform AAA Biotech of any product performance issues observed or experienced within 30 days of receipt of said product. To see additional details on this or any of our other policies, please see our Terms & Conditions page.Item has been added to Shopping Cart
If you are ready to order, navigate to Shopping Cart and get ready to checkout.
