Host
Rabbit
Reactivity
Human
Clonality
Monoclonal
Isotype
IgG
Clone Number
RBT-CD33
Sequence Length
183
Intended Use
This antibody is intended for use in Immunohistochemical applications on formalinfixed paraffin-embedded tissues (FFPE), frozen tissue sections and cell preparations. Interpretation of results should be performed by a qualified medical professional.
Immunogen
Recombinant protein encoding the extracellular domain of human CD33.
Summary and Explanation
CD33 (gp62 or siglec-3) is a glycosylated transmembrane protein that is a member of the sialic acid-binding immunoglobulin-like lectin (siglec) family. The genomic locus of this protein has been mapped to chromosome 19q13.1-3.5. The function of CD33 is not known, but it may have a role in cell-to-cell adhesion. In maturing granulocytic cells, there is progressive down-regulation of CD33 from the blast stage to mature neutrophils. However, in monocytes and macrophages/histiocytes, strong expression of CD33 is maintained throughout maturation.
Detection of CD33 using monoclonal antibodies has been a critical component in immunophenotyping acute leukemias, particularly Acute Myeloid Leukemias.
Detection of CD33 using monoclonal antibodies has been a critical component in immunophenotyping acute leukemias, particularly Acute Myeloid Leukemias.
Localization
Membranous
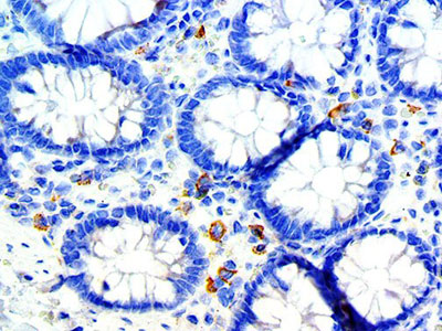
Control
Placenta, Myometrium, Lung, Colon, Spleen, Lymph Node, Tonsil, Acute Myeloid Leukemia
Presentation
CD33 is a rabbit monoclonal antibody derived from cell culture supernatant that is concentrated, dialyzed, filter sterilized and diluted in buffer pH 7.5, containing BSA and sodium azide as a preservative.
Precautions
1. This product contains sodium azide (NaN3), a toxic chemical which may react with plumbing to form highly explosive build-ups of metal azides. Upon disposal, flush with large volumes of water to prevent sodium azide build-up.
2. Ensure proper handling procedures are used with reagent. Always wear proper laboratory equipment such as laboratory coat and gloves when handling reagents.
3. Unused solution should be disposed of according to local and federal regulations.
4. Do not ingest reagent. If reagent ingested, contact a poison control center immediately.
5. For complete recommendations for handling biological specimens please refer to the CDC document, “Guidelines for Safe Work Practices in Human and Animal Laboratories” (5).
2. Ensure proper handling procedures are used with reagent. Always wear proper laboratory equipment such as laboratory coat and gloves when handling reagents.
3. Unused solution should be disposed of according to local and federal regulations.
4. Do not ingest reagent. If reagent ingested, contact a poison control center immediately.
5. For complete recommendations for handling biological specimens please refer to the CDC document, “Guidelines for Safe Work Practices in Human and Animal Laboratories” (5).
Specimen Preparation
Paraffin sections: The antibody can be used on formalin-fixed paraffin-embedded (FFPE) tissue sections. Ensure tissue undergoes appropriate fixation to ensure best results. Pre-treatment of tissues with heat-induced epitope retrieval (HIER) is recommended using ImmunoDNA Retriever with Citrate (Please Inquire), ImmunoDNA Retriever with EDTA (Please Inquire) or ImmunoDNA Digestor (Please Inquire). See reverse side for complete protocol. Tissue should remain hydrated via use Immuno/DNA Washer solutions (Please Inquire).
Frozen sections and cell preparations: The antibody can be used for labeling acetone-fixed frozen sections and acetone-fixed cell preparations.
Frozen sections and cell preparations: The antibody can be used for labeling acetone-fixed frozen sections and acetone-fixed cell preparations.
Staining Procedure
1. Cut and mount 3-5 micron formalin-fixed paraffin-embedded tissues on positive charged slides such as Hydrophilic Plus Slides (Please Inquire).
2. Air dry for 2 hours at 58° C.
3. Deparaffinize, dehydrate and rehydrate tissues.
4. Subject tissues to heat epitope retrieval using a suitable retrieval solution such as ImmunoDNA Retriever with Citrate (Please Inquire) or EDTA (Please Inquire).
5. Any of three heating methods may be used:
a. TintoRetriever Pressure Cooker or Equivalent
Place tissues/slides in a staining dish or coplin jar containing the ImmunoDNA Retriever with Citrate or EDTA, and place in the pressure cooker. Add 1-2 inches of distilled water to the pressure cooker and turn heat to high. Incubate for 15 minutes. Open and immediately transfer slides to room temperature.
b. TintoRetriever PT Module or Water Bath Method
Place tissues/slides in a pre-warmed staining dish or coplin jar containing the ImmunoDNA Retriever with Citrate or EDTA at 95°-99° C. Incubate for 30-60 minutes.
c. Conventional Steamer Method
Place tissues/slides in a pre-warmed staining dish or coplin jar containing the ImmunoDNA Retriever with Citrate or EDTA in a Steamer, cover and steam for 30-60 minutes.
6. After heat treatment, transfer slides in ImmunoDNA Retriever with Citrate or EDTA to room temperature and let stand for 15-20 minutes.
7. For manual staining, perform antibody incubation at ambient temperature. For automated staining methods, perform antibody incubation according to instrument manufacturer’s instructions.
8. Wash slides with IHC wash buffer or DI water.
9. Continue IHC staining protocol.
2. Air dry for 2 hours at 58° C.
3. Deparaffinize, dehydrate and rehydrate tissues.
4. Subject tissues to heat epitope retrieval using a suitable retrieval solution such as ImmunoDNA Retriever with Citrate (Please Inquire) or EDTA (Please Inquire).
5. Any of three heating methods may be used:
a. TintoRetriever Pressure Cooker or Equivalent
Place tissues/slides in a staining dish or coplin jar containing the ImmunoDNA Retriever with Citrate or EDTA, and place in the pressure cooker. Add 1-2 inches of distilled water to the pressure cooker and turn heat to high. Incubate for 15 minutes. Open and immediately transfer slides to room temperature.
b. TintoRetriever PT Module or Water Bath Method
Place tissues/slides in a pre-warmed staining dish or coplin jar containing the ImmunoDNA Retriever with Citrate or EDTA at 95°-99° C. Incubate for 30-60 minutes.
c. Conventional Steamer Method
Place tissues/slides in a pre-warmed staining dish or coplin jar containing the ImmunoDNA Retriever with Citrate or EDTA in a Steamer, cover and steam for 30-60 minutes.
6. After heat treatment, transfer slides in ImmunoDNA Retriever with Citrate or EDTA to room temperature and let stand for 15-20 minutes.
7. For manual staining, perform antibody incubation at ambient temperature. For automated staining methods, perform antibody incubation according to instrument manufacturer’s instructions.
8. Wash slides with IHC wash buffer or DI water.
9. Continue IHC staining protocol.
Preparation and Storage
Store at 2-8 °C. Do not use after expiration date listed on package label. Temperature fluctuations should be avoided. Store appropriately when not in use, and avoid prolonged exposure to room temperature conditions.
NCBI and Uniprot Product Information
NCBI GI #
NCBI GeneID
Molecular Weight
25,293 Da
NCBI Official Full Name
CD33 molecule transcript variant
NCBI Official Synonym Full Names
CD33 molecule
NCBI Official Symbol
CD33
NCBI Official Synonym Symbols
p67; SIGLEC3; SIGLEC-3
NCBI Protein Information
myeloid cell surface antigen CD33
UniProt Protein Name
Myeloid cell surface antigen CD33
UniProt Gene Name
CD33
UniProt Synonym Gene Names
SIGLEC3; Siglec-3
UniProt Entry Name
CD33_HUMAN
Customer Reviews
Loading reviews...
Share Your Experience
Similar Products
Product Notes
The CD33 cd33 (Catalog #AAA59308) is an Antibody produced from Rabbit and is intended for research purposes only. The product is available for immediate purchase. The CD33 Rmab reacts with Human and may cross-react with other species as described in the data sheet. It is sometimes possible for the material contained within the vial of "CD33, Monoclonal Antibody" to become dispersed throughout the inside of the vial, particularly around the seal of said vial, during shipment and storage. We always suggest centrifuging these vials to consolidate all of the liquid away from the lid and to the bottom of the vial prior to opening. Please be advised that certain products may require dry ice for shipping and that, if this is the case, an additional dry ice fee may also be required.Precautions
All products in the AAA Biotech catalog are strictly for research-use only, and are absolutely not suitable for use in any sort of medical, therapeutic, prophylactic, in-vivo, or diagnostic capacity. By purchasing a product from AAA Biotech, you are explicitly certifying that said products will be properly tested and used in line with industry standard. AAA Biotech and its authorized distribution partners reserve the right to refuse to fulfill any order if we have any indication that a purchaser may be intending to use a product outside of our accepted criteria.Disclaimer
Though we do strive to guarantee the information represented in this datasheet, AAA Biotech cannot be held responsible for any oversights or imprecisions. AAA Biotech reserves the right to adjust any aspect of this datasheet at any time and without notice. It is the responsibility of the customer to inform AAA Biotech of any product performance issues observed or experienced within 30 days of receipt of said product. To see additional details on this or any of our other policies, please see our Terms & Conditions page.Item has been added to Shopping Cart
If you are ready to order, navigate to Shopping Cart and get ready to checkout.
