Rabbit anti-Mouse CD34 Monoclonal Antibody | anti-CD34 antibody
Recombinant Anti-CD34 Antibody, Rabbit Monoclonal
IF (Immunofluorescence)
(Immunofluorescence staining of CD34 in M1 cells. Cells were fixed with 4% PFA, blocked with 10% serum, and incubated with rabbit anti-mouse CD34 monoclonal antibody (1:300) at 4 degree C overnight. Then cells were stained with the Alexa Fluor 488-conjugated Goat Anti-rabbit IgG secondary antibody (green) and counterstained with DAPI (blue).)
IP (Immunoprecipitation)
(Mouse CD34 was immunoprecipitated using:Lane A:0.5 mg Hela Whole Cell LysateLane B:0.5 mg 293T Whole Cell Lysate0.5 uL anti-Mouse CD34 rabbit monoclonal antibody and 15 ul of 50 % Protein G agarose.Primary antibody:Anti-Mouse CD34 rabbit monoclonal antibody,at 1:350 dilutionSecondary antibody:Dylight 800-labeled antibody to rabbit IgG (H+L), at 1:5000 dilutionDeveloped using the odssey technique.Performed under reducing conditions.Predicted band size: 41 kDaObserved band size: 130 kDa)
FCM/FACS (Flow Cytometry)
(Flow cytometric analysis of CD34 expression on M1 cells. Cells were stained with purified anti-Mouse CD34, then a FITC-conjugated second step antibody. The fluorescence histograms were derived from gated events with the forward and side light-scatter characteristics of intact cells.)
IHC (Immunohiostchemistry)
(Immunochemical Staining of mouse CD34 in mouse kidney with Rabbit Monoclonal Antibody at 1:5000 dilution, formalin-fixed paraffin embedded sections. Positive staining was localized to vascular endothelial cells.)
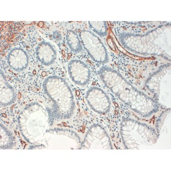
IHC (Immunohistochemistry)
(Immunochemical Staining of mouse CD34 in mouse stomach with Rabbit Monoclonal Antibody at 1:5000 dilution, formalin-fixed paraffin embedded sections. Positive staining was localized to vascular endothelial cells.)
NCBI and Uniprot Product Information
Customer Reviews
Loading reviews...
Share Your Experience
Similar Products
Product Notes
The CD34 (Catalog #AAA257189) is an Antibody produced from Rabbit and is intended for research purposes only. The product is available for immediate purchase. The Recombinant Anti-CD34 Antibody, Rabbit Monoclonal reacts with Mouse and may cross-react with other species as described in the data sheet. AAA Biotech's CD34 can be used in a range of immunoassay formats including, but not limited to, IP (Immunoprecipitation), IF (Immunofluorescence), ICC (Immunocytochemistry), FCM/FACS (Flow Cytometry), IHC (Immunohistochemistry), ELISA, ELISA. Researchers should empirically determine the suitability of the CD34 for an application not listed in the data sheet. Researchers commonly develop new applications and it is an integral, important part of the investigative research process. It is sometimes possible for the material contained within the vial of "CD34, Monoclonal Antibody" to become dispersed throughout the inside of the vial, particularly around the seal of said vial, during shipment and storage. We always suggest centrifuging these vials to consolidate all of the liquid away from the lid and to the bottom of the vial prior to opening. Please be advised that certain products may require dry ice for shipping and that, if this is the case, an additional dry ice fee may also be required.Precautions
All products in the AAA Biotech catalog are strictly for research-use only, and are absolutely not suitable for use in any sort of medical, therapeutic, prophylactic, in-vivo, or diagnostic capacity. By purchasing a product from AAA Biotech, you are explicitly certifying that said products will be properly tested and used in line with industry standard. AAA Biotech and its authorized distribution partners reserve the right to refuse to fulfill any order if we have any indication that a purchaser may be intending to use a product outside of our accepted criteria.Disclaimer
Though we do strive to guarantee the information represented in this datasheet, AAA Biotech cannot be held responsible for any oversights or imprecisions. AAA Biotech reserves the right to adjust any aspect of this datasheet at any time and without notice. It is the responsibility of the customer to inform AAA Biotech of any product performance issues observed or experienced within 30 days of receipt of said product. To see additional details on this or any of our other policies, please see our Terms & Conditions page.Item has been added to Shopping Cart
If you are ready to order, navigate to Shopping Cart and get ready to checkout.
