Host
Rabbit
Reactivity
Human
Clonality
Monoclonal
Clone Number
Q19-E
Specificity
Human
Form/Format
20 mM Tris-HCI, pH 8.0
Sequence Length
385
Applicable Applications for anti-CD34 antibody
IHC (Immunohistochemistry)
Immunogen
Peptide derived from the C-terminal sequence of human CD34. Antibody recognizes the epitope between Ala367- Leu385.
Stabilizer
20 mg/ml BSA
Preservative
0.05% NaN3
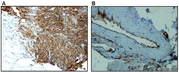
Cellular localization
Membrane
Positive control
Small vessel endothelium of different tissues
Precautions
1. We strongly recommend to use Primary Antibody Diluent (catalog number please inquire), eventually alternative diluent (containing protease free BSA at the concentrations > 1mg/ml) for dilution of concentrated antibodies, otherwise the warranty might be voided.
2. Centrifuge the vial before use.
3. Do not use after expiration date stamped on vial label.
4. Avoid contamination of the reagent.
5. Any discrepancies in the recommended procedures stated in the working protocol may affect the final results.
6. The reagent contains sodium azide (NaN3) which is highly toxic in higher concentrations. The concentration in the reagent (0.05%) is not considered as hazardous.
7. Disposal of waste material must be conducted in accordance with local regulations.
8. Wear appropriate Personal Protective Equipment to avoid contact with eyes and skin.
2. Centrifuge the vial before use.
3. Do not use after expiration date stamped on vial label.
4. Avoid contamination of the reagent.
5. Any discrepancies in the recommended procedures stated in the working protocol may affect the final results.
6. The reagent contains sodium azide (NaN3) which is highly toxic in higher concentrations. The concentration in the reagent (0.05%) is not considered as hazardous.
7. Disposal of waste material must be conducted in accordance with local regulations.
8. Wear appropriate Personal Protective Equipment to avoid contact with eyes and skin.
VENTANA PROTOCOL-INSTRUCTION MANUAL
SHORT APPLICATION PROTOCOL FOR VENTANA BENCHMARK SLIDE STAINING SYSTEM
PROCEDURE: U ultraView DAB
1. Deparafinization
2. Heating (72 degree C) at the medium temperatures. Deparafinization.
3. Cell conditioning
4. ULTRA conditioner #1
5. Heating glass (95 degree C), incubation 8 min. (Cell conditioner #1; buffer CC1).
6. ULTRA CC1 solution application - 20 min.
7. Antibody incubation temperature
8. Heating glass (36 degree C), incubation 4 min.
9. Titration
10. Hand apply - primary antibody 100 ul. Incubation 36 min.
11. ultraWash
12. Nuclear stain
13. Hematoxylin II application - one drop (nuclear stain). Cover and incubate 12 min.
14. After nuclear stain
15. Bluing reagent application, one drop. After nuclear stain, cover and incubate 4 min
PROCEDURE: U ultraView DAB
1. Deparafinization
2. Heating (72 degree C) at the medium temperatures. Deparafinization.
3. Cell conditioning
4. ULTRA conditioner #1
5. Heating glass (95 degree C), incubation 8 min. (Cell conditioner #1; buffer CC1).
6. ULTRA CC1 solution application - 20 min.
7. Antibody incubation temperature
8. Heating glass (36 degree C), incubation 4 min.
9. Titration
10. Hand apply - primary antibody 100 ul. Incubation 36 min.
11. ultraWash
12. Nuclear stain
13. Hematoxylin II application - one drop (nuclear stain). Cover and incubate 12 min.
14. After nuclear stain
15. Bluing reagent application, one drop. After nuclear stain, cover and incubate 4 min
LEICA BOND MAX PROTOCOL-INSTRUCTION MANUAL
SHORT APPLICATION PROTOCOL FOR LEICA BOND MAX SLIDE STAINING SYSTEM
Protocol F:
- Visualization system: BOND Refine DS9800
- Epitope retrieval / heating time / temperature: ER2 / 20 min. / 100 degree C
- Incubation of primary antibody / temperature: 30 min. / 20 degree C
Protocol F:
- Visualization system: BOND Refine DS9800
- Epitope retrieval / heating time / temperature: ER2 / 20 min. / 100 degree C
- Incubation of primary antibody / temperature: 30 min. / 20 degree C
Preparation and Storage
Store at 4 degree C. Do not freeze
NCBI and Uniprot Product Information
NCBI GI #
NCBI GeneID
NCBI Official Full Name
Hematopoietic progenitor cell antigen CD34
NCBI Official Synonym Full Names
CD34 molecule
NCBI Official Symbol
CD34
NCBI Protein Information
hematopoietic progenitor cell antigen CD34; CD34 antigen
UniProt Protein Name
Hematopoietic progenitor cell antigen CD34
UniProt Gene Name
CD34
UniProt Entry Name
CD34_HUMAN
Customer Reviews
Loading reviews...
Share Your Experience
Similar Products
Product Notes
The CD34 cd34 (Catalog #AAA79011) is an Antibody produced from Rabbit and is intended for research purposes only. The product is available for immediate purchase. The Anti - CD34 reacts with Human and may cross-react with other species as described in the data sheet. AAA Biotech's CD34 can be used in a range of immunoassay formats including, but not limited to, IHC (Immunohistochemistry). Researchers should empirically determine the suitability of the CD34 cd34 for an application not listed in the data sheet. Researchers commonly develop new applications and it is an integral, important part of the investigative research process. It is sometimes possible for the material contained within the vial of "CD34, Monoclonal Antibody" to become dispersed throughout the inside of the vial, particularly around the seal of said vial, during shipment and storage. We always suggest centrifuging these vials to consolidate all of the liquid away from the lid and to the bottom of the vial prior to opening. Please be advised that certain products may require dry ice for shipping and that, if this is the case, an additional dry ice fee may also be required.Precautions
All products in the AAA Biotech catalog are strictly for research-use only, and are absolutely not suitable for use in any sort of medical, therapeutic, prophylactic, in-vivo, or diagnostic capacity. By purchasing a product from AAA Biotech, you are explicitly certifying that said products will be properly tested and used in line with industry standard. AAA Biotech and its authorized distribution partners reserve the right to refuse to fulfill any order if we have any indication that a purchaser may be intending to use a product outside of our accepted criteria.Disclaimer
Though we do strive to guarantee the information represented in this datasheet, AAA Biotech cannot be held responsible for any oversights or imprecisions. AAA Biotech reserves the right to adjust any aspect of this datasheet at any time and without notice. It is the responsibility of the customer to inform AAA Biotech of any product performance issues observed or experienced within 30 days of receipt of said product. To see additional details on this or any of our other policies, please see our Terms & Conditions page.Item has been added to Shopping Cart
If you are ready to order, navigate to Shopping Cart and get ready to checkout.
