Mouse CD34 Monoclonal Antibody | anti-CD34 antibody
CD34 Monoclonal Antibody [QBEND-10]
Reactivity
Human, Cynomolgus Monkey, Rhesus monkey
Applications
Western Blot, Immunohistochemistry, Immunoprecipitation, Immunohistochemistry, Flow Cytometry, Functional Assay
Purity
Protein A affinity chromatography
Synonyms
CD34, Antibody; CD34 Monoclonal Antibody [QBEND-10]; CD34 antibody; CD34 antigen antibody; CD34 molecule antibody; CD34_HUMAN antibody; Cluster designation 34 antibody; Hematopoietic progenitor cell antigen CD34 antibody; HPCA1 antibody; anti-CD34 antibody
Host
Mouse
Reactivity
Human, Cynomolgus Monkey, Rhesus monkey
Clonality
Monoclonal
Isotype
IgG1
Clone Number
QBEND-10
Purity/Purification
Protein A affinity chromatography
Form/Format
Purified IgG conjugated to Fluorescein using Innova Biosciences Lightning-Link, supplied in Phosphate buffered saline (PBS) containing 0.09% sodium azide
Concentration
1mg/ml (varies by lot)
Applicable Applications for anti-CD34 antibody
WB (Western Blot), IHC (Immunohistochemistry), IP (Immunoprecipitation), IHC (Immunohistochemistry), FCM/FACS (Flow Cytometry)
Immunogen
Human endothelial vesicles
Target Antigen
CD34
Myeloma/Fusion Partners
NSO myeloma cell line
Pubmed ID
32102682, 30643202, 30833656, 30926422, 30820651, 31011231, 31386624, 31839752, 30589415, 30670979, 29719615, 29959804, 29970982, 27685949, 28170170, 28586042, 28540322, 28588682, 28724792, 28806949, 28817576, 28927128, 29340079, 26880204, 27252357, 27535280, 28836831, 26544791, 25923923, 26010009, 26171042, 26730158, 25810463, 24591638, 24704828, 23639003, 24340136, 20824067, 19763724, 18192970, 9679898, 9301680, 2242851
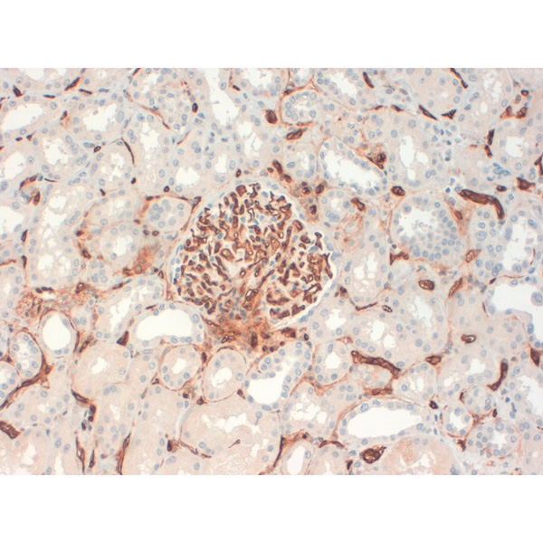
IHC (Immunohiostchemistry)
(Immunohistochemistry FFPE-Anti CD34 [QBEND/10] on Human kidney glomerolus)
NCBI and Uniprot Product Information
NCBI GI #
NCBI GeneID
Molecular Weight
40,716 Da
NCBI Official Full Name
CD34
NCBI Official Synonym Full Names
CD34 molecule
NCBI Official Symbol
CD34
NCBI Protein Information
hematopoietic progenitor cell antigen CD34; CD34 antigen
UniProt Protein Name
Hematopoietic progenitor cell antigen CD34
UniProt Gene Name
CD34
UniProt Entry Name
CD34_HUMAN
Customer Reviews
Loading reviews...
Share Your Experience
Similar Products
Product Notes
The CD34 cd34 (Catalog #AAA59546) is an Antibody produced from Mouse and is intended for research purposes only. The product is available for immediate purchase. The CD34 Monoclonal Antibody [QBEND-10] reacts with Human, Cynomolgus Monkey, Rhesus monkey and may cross-react with other species as described in the data sheet. AAA Biotech's CD34 can be used in a range of immunoassay formats including, but not limited to, WB (Western Blot), IHC (Immunohistochemistry), IP (Immunoprecipitation), IHC (Immunohistochemistry), FCM/FACS (Flow Cytometry). Researchers should empirically determine the suitability of the CD34 cd34 for an application not listed in the data sheet. Researchers commonly develop new applications and it is an integral, important part of the investigative research process. It is sometimes possible for the material contained within the vial of "CD34, Monoclonal Antibody" to become dispersed throughout the inside of the vial, particularly around the seal of said vial, during shipment and storage. We always suggest centrifuging these vials to consolidate all of the liquid away from the lid and to the bottom of the vial prior to opening. Please be advised that certain products may require dry ice for shipping and that, if this is the case, an additional dry ice fee may also be required.Precautions
All products in the AAA Biotech catalog are strictly for research-use only, and are absolutely not suitable for use in any sort of medical, therapeutic, prophylactic, in-vivo, or diagnostic capacity. By purchasing a product from AAA Biotech, you are explicitly certifying that said products will be properly tested and used in line with industry standard. AAA Biotech and its authorized distribution partners reserve the right to refuse to fulfill any order if we have any indication that a purchaser may be intending to use a product outside of our accepted criteria.Disclaimer
Though we do strive to guarantee the information represented in this datasheet, AAA Biotech cannot be held responsible for any oversights or imprecisions. AAA Biotech reserves the right to adjust any aspect of this datasheet at any time and without notice. It is the responsibility of the customer to inform AAA Biotech of any product performance issues observed or experienced within 30 days of receipt of said product. To see additional details on this or any of our other policies, please see our Terms & Conditions page.Item has been added to Shopping Cart
If you are ready to order, navigate to Shopping Cart and get ready to checkout.
